Skip to main content

SCY1 like 3 Antibody (OTI1A5) - Azide and BSA Free

Novus Biologicals, part of Bio-Techne | Catalog # NBP2-74025

Novus Biologicals, part of Bio-Techne
Catalog #
Availability
Size / Price
Qty
Loading...
NBP2-74025
Conjugate
Catalog #

Key Product Details

Species Reactivity

Human

Applications

Immunohistochemistry, Immunohistochemistry-Paraffin, Western Blot

Label

Unconjugated

Antibody Source

Monoclonal Mouse IgG1 Clone # OTI1A5

Format

Azide and BSA Free

Concentration

LYOPH mg/ml

Product Specifications

Immunogen

Full-length protein expressed in 293T cell transfected with human SCYL3 expression vector

Clonality

Monoclonal

Host

Mouse

Isotype

IgG1

Theoretical MW

82.8 kDa.
Disclaimer note: The observed molecular weight of the protein may vary from the listed predicted molecular weight due to post translational modifications, post translation cleavages, relative charges, and other experimental factors.

Scientific Data Images for SCY1 like 3 Antibody (OTI1A5) - Azide and BSA Free

Western Blot: SCY1 like 3 Antibody (OTI1A5)Azide and BSA Free [NBP2-74025]

Western Blot: SCY1 like 3 Antibody (OTI1A5)Azide and BSA Free [NBP2-74025]

Western Blot: SCY1 like 3 Antibody (OTI1A5) - Azide and BSA Free [NBP2-74025] - HEK293T cells were transfected with the pCMV6-ENTRY control (Left lane) or pCMV6-ENTRY SCY1 like 3 (Right lane) cDNA for 48 hrs and lysed. Equivalent amounts of cell lysates (5 ug per lane) were separated by SDS-PAGE and immunoblotted with anti-SCY1 like
Immunohistochemistry: SCY1 like 3 Antibody (OTI1A5) - Azide and BSA Free [NBP2-74025]

Immunohistochemistry: SCY1 like 3 Antibody (OTI1A5) - Azide and BSA Free [NBP2-74025]

Immunohistochemistry: SCY1 like 3 Antibody (OTI1A5) - Azide and BSA Free [NBP2-74025] - Staining of paraffin-embedded endometrium tissue using anti-SCY1 like 3mouse monoclonal antibody.
Immunohistochemistry: SCY1 like 3 Antibody (OTI1A5) - Azide and BSA Free [NBP2-74025]

Immunohistochemistry: SCY1 like 3 Antibody (OTI1A5) - Azide and BSA Free [NBP2-74025]

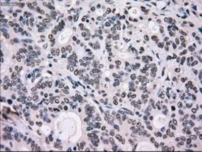
Immunohistochemistry: SCY1 like 3 Antibody (OTI1A5) - Azide and BSA Free [NBP2-74025] - Staining of paraffin-embedded Adenocarcinoma of breast tissue using anti-SCY1 like 3 mouse monoclonal antibody.

Applications for SCY1 like 3 Antibody (OTI1A5) - Azide and BSA Free

Application
Recommended Usage

Immunohistochemistry

1:50

Western Blot

1:2000

Formulation, Preparation, and Storage

Purification

Immunogen affinity purified

Reconstitution

we recommend adding 100uL distilled water to a final antibody concentration of about 1 mg/mL. To use this carrier-free antibody for conjugation experiment, we strongly recommend performing another round of desalting process.

Formulation

Lyophilized from PBS (pH 7.3) with 8% Trehalose

Format

Azide and BSA Free

Preservative

No Preservative

Concentration

LYOPH mg/ml

Shipping

The product is shipped with polar packs. Upon receipt, store it immediately at the temperature recommended below.

Stability & Storage

Store at -20C. Avoid freeze-thaw cycles.

Background: SCY1 like 3

SCY1 like 3 may play a role in regulating cell adhesion/migration complexes in migrating cells

Alternate Names

ezrin-binding partner PACE-1 (PACE-1), Ezrin-binding protein PACE-1, PACE1PACE-1, protein-associating with the carboxyl-terminal domain of ezrin, RP1-97P20.2, SCY1-like 3 (S. cerevisiae), SCY1-like protein 3

Gene Symbol

SCYL3

Additional SCY1 like 3 Products

Product Documents for SCY1 like 3 Antibody (OTI1A5) - Azide and BSA Free

Certificate of Analysis

To download a Certificate of Analysis, please enter a lot number in the search box below.

Product Specific Notices for SCY1 like 3 Antibody (OTI1A5) - Azide and BSA Free

This product is for research use only and is not approved for use in humans or in clinical diagnosis. Primary Antibodies are guaranteed for 1 year from date of receipt.

Loading...
Loading...
Loading...
Loading...
Loading...