Skip to main content

SCP3/SYCP3 Antibody (PSH02-24)

Novus Biologicals, part of Bio-Techne | Catalog # NBP3-32934

Recombinant Monoclonal Antibody
Novus Biologicals, part of Bio-Techne
Catalog #
Availability
Size / Price
Qty
Loading...
NBP3-32934

Key Product Details

Species Reactivity

Human

Applications

Immunohistochemistry, Immunohistochemistry-Paraffin, Western Blot

Label

Unconjugated

Antibody Source

Recombinant Monoclonal Rabbit IgG Clone # PSH02-24 expressed in HEK293

Concentration

1 mg/ml

Product Specifications

Immunogen

Recombinant protein within human SCP3/SYCP3 aa 35-236 / 236 (Q8IZU3). (Uniprot: Q8IZU3)

Localization

Nucleus, Chromosome, centromere.

Clonality

Monoclonal

Host

Rabbit

Isotype

IgG

Theoretical MW

28 kDa.
Disclaimer note: The observed molecular weight of the protein may vary from the listed predicted molecular weight due to post translational modifications, post translation cleavages, relative charges, and other experimental factors.

Description

Novus Biologicals Rabbit SCP3/SYCP3 Antibody (PSH02-24) (NBP3-32934) is a recombinant monoclonal antibody validated for use in IHC and WB. All Novus Biologicals antibodies are covered by our 100% guarantee.

Scientific Data Images for SCP3/SYCP3 Antibody (PSH02-24)

SCP3/SYCP3 Antibody (PSH02-24)

Western Blot: SCP3/SYCP3 Antibody (PSH02-24) [NBP3-32934]

Western Blot: SCP3/SYCP3 Antibody (PSH02-24) [NBP3-32934] - Western blot analysis of SCP3/SYCP3 on SCP3 recombinant protein with Rabbit anti-SCP3/SYCP3 antibody (NBP3-32934) at 1/1,000 dilution.

Lysates/proteins at 30 ng/Lane.

Exposure time: 3 minutes;

4-20% SDS-PAGE gel.

Proteins were transferred to a PVDF membrane and blocked with 5% NFDM/TBST for 1 hour at room temperature. The primary antibody (NBP3-32934) at 1/1,000 dilution was used in 5% NFDM/TBST at 4C overnight. Goat Anti-Rabbit IgG - HRP Secondary Antibody at 1/50,000 dilution was used for 1 hour at room temperature.
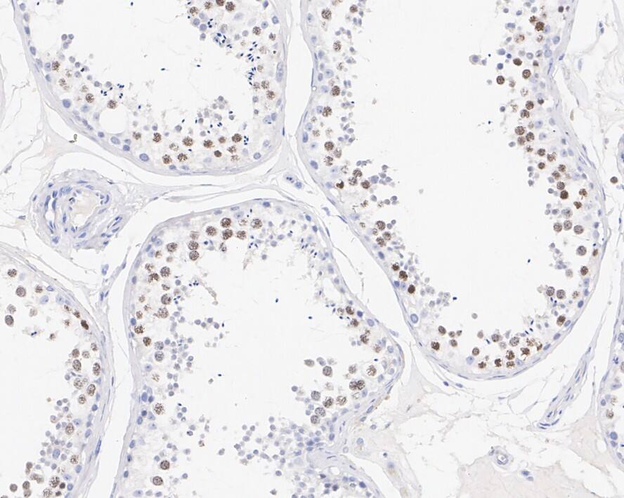
SCP3/SYCP3 Antibody (PSH02-24)

Immunohistochemistry: SCP3/SYCP3 Antibody (PSH02-24) [NBP3-32934]

Immunohistochemistry: SCP3/SYCP3 Antibody (PSH02-24) [NBP3-32934] - Immunohistochemical analysis of paraffin-embedded human testis tissue with Rabbit anti-SCP3/SYCP3 antibody (NBP3-32934) at 1/1,000 dilution.

The section was pre-treated using heat mediated antigen retrieval with Tris-EDTA buffer (pH 9.0) for 20 minutes. The tissues were blocked in 1% BSA for 20 minutes at room temperature, washed with ddH2O and PBS, and then probed with the primary antibody (NBP3-32934) at 1/1,000 dilution for 1 hour at room temperature. The detection was performed using an HRP conjugated compact polymer system. DAB was used as the chromogen. Tissues were counterstained with hematoxylin and mounted with DPX.

Applications for SCP3/SYCP3 Antibody (PSH02-24)

Application
Recommended Usage

Immunohistochemistry-Paraffin

1:1000

Western Blot

1:1000

Formulation, Preparation, and Storage

Purification

Protein A purified

Formulation

PBS (pH7.4), 0.1% BSA and 40% Glycerol

Preservative

0.05% Sodium Azide

Concentration

1 mg/ml

Shipping

The product is shipped with polar packs. Upon receipt, store it immediately at the temperature recommended below.

Stability & Storage

Store at 4C short term. Aliquot and store at -20C long term. Avoid freeze-thaw cycles.

Background: SCP3/SYCP3

SCP3 is a major component of the transverse filaments of the synaptonemal complexes that mediate synapses during the zygotene stage. SCP-3 is formed between homologus chromosomes during meiotic prophase, and plays an essential role in the meiotic function of spermatogenesis. Therefore, this protein is necessary for proper testis development and defects in the SYCP3 gene can lead to azoospermia.

Long Name

Synaptonemal Complex Protein 3

Alternate Names

COR1, SYCP3

Gene Symbol

SYCP3

Additional SCP3/SYCP3 Products

Product Documents for SCP3/SYCP3 Antibody (PSH02-24)

Certificate of Analysis

To download a Certificate of Analysis, please enter a lot number in the search box below.

Product Specific Notices for SCP3/SYCP3 Antibody (PSH02-24)

This product is for research use only and is not approved for use in humans or in clinical diagnosis. Primary Antibodies are guaranteed for 1 year from date of receipt.

Loading...
Loading...
Loading...
Loading...