Skip to main content

S100A9 Antibody - BSA Free

Novus Biologicals, part of Bio-Techne | Catalog # NBP1-89360

Novus Biologicals, part of Bio-Techne
Catalog #
Availability
Size / Price
Qty
Loading...
NBP1-89360-25ul
NBP1-89360

Key Product Details

Validated by

Orthogonal Validation

Species Reactivity

Human

Applications

Immunohistochemistry, Immunohistochemistry-Paraffin, Western Blot, Simple Western

Label

Unconjugated

Antibody Source

Polyclonal Rabbit IgG

Format

BSA Free

Concentration

Concentrations vary lot to lot. See vial label for concentration. If unlisted please contact technical services.

Product Specifications

Immunogen

This antibody was developed against Recombinant Protein corresponding to amino acids: CKMSQLERNIETIINTFHQYSVKLGHPDTLNQGEFKELVRKDLQNFLKKENKNEKVIEHIMEDLDTNADKQLSFEEFIMLMARLTWASHEKMHEGDEG

Clonality

Polyclonal

Host

Rabbit

Isotype

IgG

Description

Novus Biologicals Rabbit S100A9 Antibody - BSA Free (NBP1-89360) is a polyclonal antibody validated for use in IHC, WB and Simple Western. All Novus Biologicals antibodies are covered by our 100% guarantee.

Scientific Data Images for S100A9 Antibody - BSA Free

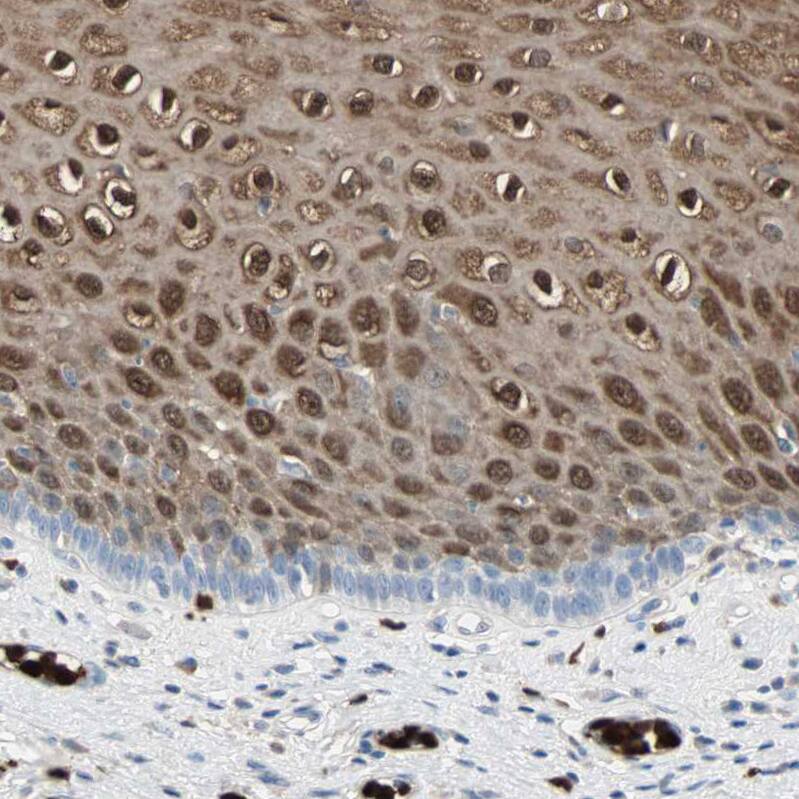
S100A9 Antibody - BSA Free Immunohistochemistry-Paraffin: S100A9 Antibody - BSA Free [NBP1-89360]

Immunohistochemistry-Paraffin: S100A9 Antibody - BSA Free [NBP1-89360]

Analysis in human esophagus and stomach tissues using NBP1-89360 antibody. Corresponding S100A9 RNA-seq data are presented for the same tissues.
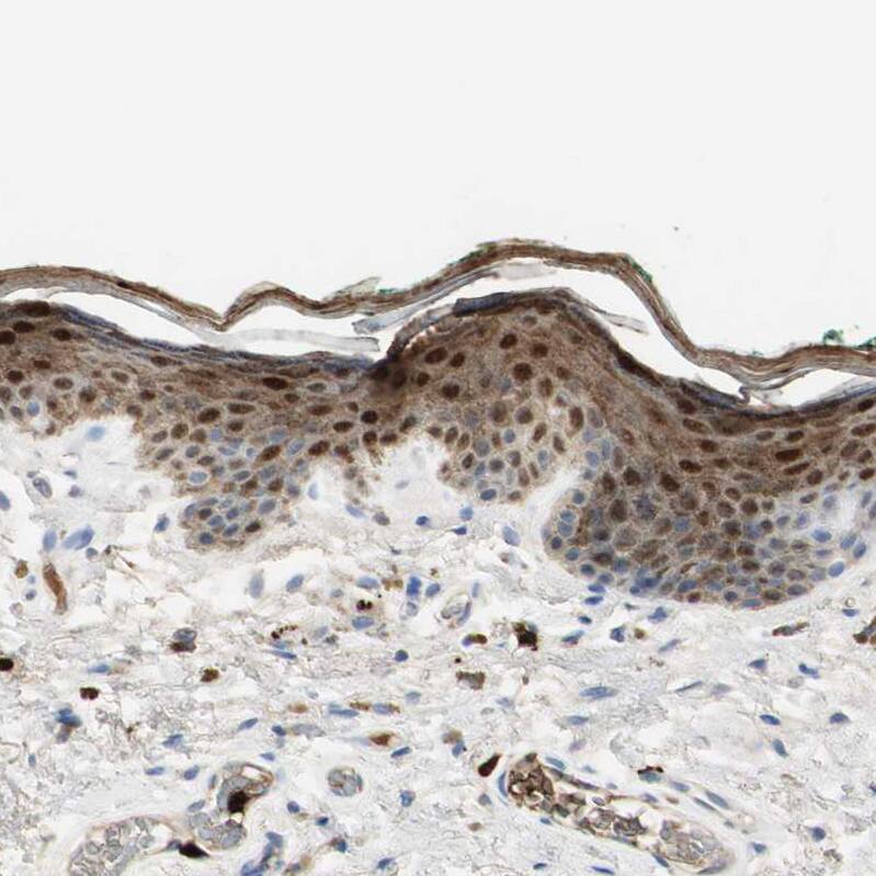
S100A9 Antibody - BSA Free Immunohistochemistry-Paraffin: S100A9 Antibody - BSA Free [NBP1-89360]

Immunohistochemistry-Paraffin: S100A9 Antibody - BSA Free [NBP1-89360]

Staining of human esophagus shows moderate to strong cytoplasmic and nuclear positivity in squamous epithelial cells.
S100A9 Antibody - BSA Free Immunohistochemistry-Paraffin: S100A9 Antibody - BSA Free [NBP1-89360]

Immunohistochemistry-Paraffin: S100A9 Antibody - BSA Free [NBP1-89360]

Staining of human stomach shows no positivity in glandular cells as expected.

Applications for S100A9 Antibody - BSA Free

Application
Recommended Usage

Immunohistochemistry

1:5000 - 1:10000

Immunohistochemistry-Paraffin

1:5000 - 1:10000

Simple Western

1:20

Western Blot

0.04-0.4 ug/ml
Application Notes
For IHC-Paraffin, HIER pH 6 retrieval is recommended.

In Simple Western only 10 - 15 uL of the recommended dilution is used per data point.
See Simple Western Antibody Database for Simple Western validation: Tested in h. Tonsil, separated by Size, antibody dilution of 1:20, apparent MW was 19 kDa. Separated by Size-Wes, Sally Sue/Peggy Sue.

Formulation, Preparation, and Storage

Purification

Affinity purified

Formulation

PBS (pH 7.2) and 40% Glycerol

Format

BSA Free

Preservative

0.02% Sodium Azide

Concentration

Concentrations vary lot to lot. See vial label for concentration. If unlisted please contact technical services.

Shipping

The product is shipped with polar packs. Upon receipt, store it immediately at the temperature recommended below.

Stability & Storage

Store at 4C short term. Aliquot and store at -20C long term. Avoid freeze-thaw cycles.

Background: S100A9

S100A9 is a member of the S100 family of proteins containing 2 EF-hand calcium-binding motifs. S100 proteins are localized in the cytoplasm and/or nucleus of a wide range of cells, and are involved in the regulation of a number of cellular processes such as cell cycle progression and differentiation. S100A9 may function in the inhibition of casein kinase, and altered expression is associated with the disease cystic fibrosis. Overexpression of S100A9 has also recently been linked to a poor prognosis with invasive ductal carcinoma of the breast.

Long Name

S100 Calcium Binding Protein A9

Alternate Names

Calgranulin B, MRP-14

Gene Symbol

S100A9

Additional S100A9 Products

Product Documents for S100A9 Antibody - BSA Free

Certificate of Analysis

To download a Certificate of Analysis, please enter a lot number in the search box below.

Product Specific Notices for S100A9 Antibody - BSA Free

This product is for research use only and is not approved for use in humans or in clinical diagnosis. Primary Antibodies are guaranteed for 1 year from date of receipt.

Loading...
Loading...
Loading...
Loading...
Loading...