Skip to main content

RUNX1/CBFA2 Antibody - BSA Free

Novus Biologicals, part of Bio-Techne | Catalog # NBP1-89105

Novus Biologicals, part of Bio-Techne
Catalog #
Availability
Size / Price
Qty
Loading...
NBP1-89105
NBP1-89105-25ul

Key Product Details

Validated by

Orthogonal Validation

Species Reactivity

Validated:

Human

Cited:

Human, Mouse

Predicted:

Mouse (93%), Rat (93%). Backed by our 100% Guarantee.

Applications

Validated:

Immunohistochemistry, Immunohistochemistry-Paraffin, Western Blot, Immunocytochemistry/ Immunofluorescence

Cited:

Immunohistochemistry-Frozen, Western Blot, IF/IHC

Label

Unconjugated

Antibody Source

Polyclonal Rabbit IgG

Format

BSA Free

Concentration

Concentrations vary lot to lot. See vial label for concentration. If unlisted please contact technical services.

Product Specifications

Immunogen

This antibody was developed against Recombinant Protein corresponding to amino acids: PQPQSQMQDTRQIQPSPPWSYDQSYQYLGSIASPSVHPATPISPGRASGMTTLSAELSSRLSTAPDLTAFSDPRQFPALPSISDPRMHYPGAFTYSPTPVTSGI

Localization

Nucleus

Clonality

Polyclonal

Host

Rabbit

Isotype

IgG

Theoretical MW

49 kDa.
Disclaimer note: The observed molecular weight of the protein may vary from the listed predicted molecular weight due to post translational modifications, post translation cleavages, relative charges, and other experimental factors.

Description

Novus Biologicals Rabbit RUNX1/CBFA2 Antibody - BSA Free (NBP1-89105) is a polyclonal antibody validated for use in IHC, WB and ICC/IF. Anti-RUNX1/CBFA2 Antibody: Cited in 3 publications. All Novus Biologicals antibodies are covered by our 100% guarantee.

Scientific Data Images for RUNX1/CBFA2 Antibody - BSA Free

Immunohistochemistry-Paraffin: RUNX1/CBFA2 Antibody [NBP1-89105]

Immunohistochemistry-Paraffin: RUNX1/CBFA2 Antibody [NBP1-89105]

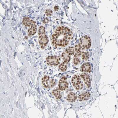
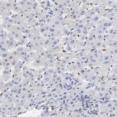
Immunohistochemistry-Paraffin: RUNX1/CBFA2 Antibody [NBP1-89105] - Staining in human breast and liver tissues using NBP1-89105 antibody. Corresponding RUNX1 RNA-seq data are presented for the same tissues.
Immunocytochemistry/ Immunofluorescence: RUNX1/CBFA2 Antibody [NBP1-89105]

Immunocytochemistry/ Immunofluorescence: RUNX1/CBFA2 Antibody [NBP1-89105]

Immunocytochemistry/Immunofluorescence: RUNX1/CBFA2 Antibody [NBP1-89105] - Staining human cell line A-431 shows localization to nucleoplasm & vesicles. Antibody staining is shown in green.
Immunohistochemistry-Paraffin: RUNX1/CBFA2 Antibody [NBP1-89105]

Immunohistochemistry-Paraffin: RUNX1/CBFA2 Antibody [NBP1-89105]

Immunohistochemistry-Paraffin: RUNX1/CBFA2 Antibody [NBP1-89105] - Staining of human breast shows moderate to strong nuclear positivity in glandular cells.

Applications for RUNX1/CBFA2 Antibody - BSA Free

Application
Recommended Usage

Immunocytochemistry/ Immunofluorescence

0.25-2 ug/ml

Immunohistochemistry

1:50 - 1:200

Immunohistochemistry-Paraffin

1:50 - 1:200

Western Blot

Reported in (PMID: 24967588).
Application Notes
For IHC-Paraffin, HIER pH 6 retrieval is recommended. ICC/IF fixation permeabilization: PFA/Triton X-100.

Reviewed Applications

Read 1 review rated 3 using NBP1-89105 in the following applications:

Formulation, Preparation, and Storage

Purification

Immunogen affinity purified

Formulation

PBS (pH 7.2) and 40% Glycerol

Format

BSA Free

Preservative

0.02% Sodium Azide

Concentration

Concentrations vary lot to lot. See vial label for concentration. If unlisted please contact technical services.

Shipping

The product is shipped with polar packs. Upon receipt, store it immediately at the temperature recommended below.

Stability & Storage

Store at 4C short term. Aliquot and store at -20C long term. Avoid freeze-thaw cycles.

Background: RUNX1/CBFA2

Core binding factor (CBF) is a heterodimeric transcription factor that binds to the core element of many enhancers and promoters. The protein encoded by this gene represents the alpha subunit of CBF and is thought to be involved in the development of normal hematopoiesis. Chromosomal translocations involving this gene are well-documented and have been associated with several types of leukemia. Three transcript variants encoding different isoforms have been found for this gene.

Long Name

Runt-related Transcription Factor 1

Alternate Names

AML1, CBFA2

Entrez Gene IDs

861 (Human)

Gene Symbol

RUNX1

Additional RUNX1/CBFA2 Products

Product Documents for RUNX1/CBFA2 Antibody - BSA Free

Certificate of Analysis

To download a Certificate of Analysis, please enter a lot number in the search box below.

Product Specific Notices for RUNX1/CBFA2 Antibody - BSA Free

This product is for research use only and is not approved for use in humans or in clinical diagnosis. Primary Antibodies are guaranteed for 1 year from date of receipt.

Loading...
Loading...
Loading...
Loading...