Skip to main content

Ribophorin I Antibody - BSA Free

Novus Biologicals, part of Bio-Techne | Catalog # NBP2-55523

Novus Biologicals, part of Bio-Techne
Catalog #
Availability
Size / Price
Qty
Loading...
NBP2-55523

Key Product Details

Validated by

Independent Antibodies

Species Reactivity

Validated:

Human, Rat

Cited:

Rat

Predicted:

Mouse (93%). Backed by our 100% Guarantee.

Applications

Validated:

Immunohistochemistry, Immunohistochemistry-Paraffin, Western Blot, Immunocytochemistry/ Immunofluorescence

Cited:

Western Blot

Label

Unconjugated

Antibody Source

Polyclonal Rabbit IgG

Format

BSA Free

Concentration

Concentrations vary lot to lot. See vial label for concentration. If unlisted please contact technical services.

Product Specifications

Immunogen

This antibody was developed against a recombinant protein corresponding to the following amino acid sequence: DVKRTVDLSSHLAKVTAEVVLAHLGGGSTSRATSFLLALEPELEARLAHLGVQVKGEDEEENNLEVRETKIKGKSGRFFTVKLPVALDPGAKISVIVETVYTHVLHPYPTQITQSEKQFVVFEGNHYFYSPYPTKTQ

Reactivity Notes

Use in Rat reported in scientific literature (PMID:34923175) .

Clonality

Polyclonal

Host

Rabbit

Isotype

IgG

Description

Novus Biologicals Rabbit Ribophorin I Antibody - BSA Free (NBP2-55523) is a polyclonal antibody validated for use in IHC, WB and ICC/IF. Anti-Ribophorin I Antibody: Cited in 1 publication. All Novus Biologicals antibodies are covered by our 100% guarantee.

Scientific Data Images for Ribophorin I Antibody - BSA Free

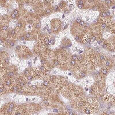
Immunohistochemistry-Paraffin: Ribophorin I Antibody [NBP2-55523]

Immunohistochemistry-Paraffin: Ribophorin I Antibody [NBP2-55523]

Immunohistochemistry-Paraffin: Ribophorin I Antibody [NBP2-55523] - Staining of human cerebral cortex, colon, liver and tonsil using Anti-RPN1 antibody NBP2-55523 (A) shows similar protein distribution across tissues to independent antibody NBP1-82467 (B).
Western Blot: Ribophorin I Antibody [NBP2-55523]

Western Blot: Ribophorin I Antibody [NBP2-55523]

Western Blot: Ribophorin I Antibody [NBP2-55523] - Analysis in human cell line RT-4, human cell line U-251 MG, human plasma, human liver tissue and human tonsil tissue.
Immunocytochemistry/ Immunofluorescence: Ribophorin I Antibody [NBP2-55523]

Immunocytochemistry/ Immunofluorescence: Ribophorin I Antibody [NBP2-55523]

Immunocytochemistry/Immunofluorescence: Ribophorin I Antibody [NBP2-55523] - Staining of human cell line A-431 shows localization to endoplasmic reticulum. Antibody staining is shown in green.

Applications for Ribophorin I Antibody - BSA Free

Application
Recommended Usage

Immunocytochemistry/ Immunofluorescence

0.25-2 ug/ml

Immunohistochemistry

1:500 - 1:1000

Immunohistochemistry-Paraffin

1:500 - 1:1000

Western Blot

0.04-0.4 ug/ml
Application Notes
ICC/IF Fixation Permeabilization: Use PFA/Triton X-100. IHC Retrieval method: HIER pH6.

Formulation, Preparation, and Storage

Purification

Affinity purified

Formulation

PBS (pH 7.2) and 40% Glycerol

Format

BSA Free

Preservative

0.02% Sodium Azide

Concentration

Concentrations vary lot to lot. See vial label for concentration. If unlisted please contact technical services.

Shipping

The product is shipped with polar packs. Upon receipt, store it immediately at the temperature recommended below.

Stability & Storage

Store at 4C short term. Aliquot and store at -20C long term. Avoid freeze-thaw cycles.

Background: Ribophorin I

The Ribophorin I gene encodes a type I integral membrane protein found only in the rough endoplasmic reticulum. The encoded protein is part of an N-oligosaccharyl transferase complex that links high mannose oligosaccharides to asparagine residues found in the Asn-X-S

Alternate Names

DKFZp686B16177, dolichyl-diphosphooligosaccharide-protein glycosyltransferase 67 kDa subunit, Dolichyl-diphosphooligosaccharide--protein glycosyltransferase 67 kDa subunit, dolichyl-diphosphooligosaccharide--protein glycosyltransferase subunit 1, EC 2.4.1.119, oligosaccharyltransferase 1 homolog, OST1, ribophorin IRBPH1, Ribophorin-1, RPN-I

Gene Symbol

RPN1

Additional Ribophorin I Products

Product Documents for Ribophorin I Antibody - BSA Free

Certificate of Analysis

To download a Certificate of Analysis, please enter a lot number in the search box below.

Product Specific Notices for Ribophorin I Antibody - BSA Free

This product is for research use only and is not approved for use in humans or in clinical diagnosis. Primary Antibodies are guaranteed for 1 year from date of receipt.

Loading...
Loading...
Loading...
Loading...