RAP80 Antibody - BSA Free
Novus Biologicals, part of Bio-Techne | Catalog # NBP1-87157
Key Product Details
Validated by
Independent Antibodies
Species Reactivity
Human
Applications
Immunohistochemistry, Immunohistochemistry-Paraffin, Western Blot, Immunocytochemistry/ Immunofluorescence
Label
Unconjugated
Antibody Source
Polyclonal Rabbit IgG
Format
BSA Free
Concentration
Concentrations vary lot to lot. See vial label for concentration. If unlisted please contact technical services.
Product Specifications
Immunogen
This antibody was developed against Recombinant Protein corresponding to amino acids: PVFENVNVKSFDRCTGHSAEHTQCGKPQESTGRGSAFLKAVQGSGDTSRHCLPTLADAKGLQDTGGTVNYFWGIPFCPDGVDPNQYTKVILCQLE
Reactivity Notes
Immunogen displays the following percentage of sequence identity for non-tested species: Mouse (84%), Rat (81%)
Clonality
Polyclonal
Host
Rabbit
Isotype
IgG
Description
Novus Biologicals Rabbit RAP80 Antibody - BSA Free (NBP1-87157) is a polyclonal antibody validated for use in IHC, WB and ICC/IF. All Novus Biologicals antibodies are covered by our 100% guarantee.
Scientific Data Images for RAP80 Antibody - BSA Free
Western Blot: RAP80 Antibody [NBP1-87157]
Western Blot: RAP80 Antibody [NBP1-87157] - Analysis in control (vector only transfected HEK293T lysate) and UIMC1 over-expression lysate (Co-expressed with a C-terminal myc-DDK tag (3.1 kDa) in mammalian HEK293T cells).Immunocytochemistry/ Immunofluorescence: RAP80 Antibody [NBP1-87157]
Immunocytochemistry/Immunofluorescence: RAP80 Antibody [NBP1-87157] - Staining of human cell line U-2 OS shows localization to nuclear bodies.Immunohistochemistry-Paraffin: RAP80 Antibody [NBP1-87157]
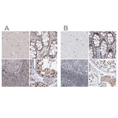
Immunohistochemistry-Paraffin: RAP80 Antibody [NBP1-87157] - Staining of human colon.Applications for RAP80 Antibody - BSA Free
Application
Recommended Usage
Immunocytochemistry/ Immunofluorescence
0.25-2 ug/ml
Immunohistochemistry
1:20 - 1:50
Immunohistochemistry-Paraffin
1:20 - 1:50
Western Blot
0.04-0.4 ug/ml
Application Notes
For IHC-Paraffin, HIER pH 6 retrieval is recommended. Immunocytochemistry/Immunofluorescence Fixation Permeabilization: Use PFA/Triton X-100.
Formulation, Preparation, and Storage
Purification
Immunogen affinity purified
Formulation
PBS (pH 7.2) and 40% Glycerol
Format
BSA Free
Preservative
0.02% Sodium Azide
Concentration
Concentrations vary lot to lot. See vial label for concentration. If unlisted please contact technical services.
Shipping
The product is shipped with polar packs. Upon receipt, store it immediately at the temperature recommended below.
Stability & Storage
Store at 4C short term. Aliquot and store at -20C long term. Avoid freeze-thaw cycles.
Background: RAP80
Long Name
Receptor Associated Protein 80
Alternate Names
RXRIP110, UIMC1, X2HRIP110
Gene Symbol
UIMC1
Additional RAP80 Products
Product Documents for RAP80 Antibody - BSA Free
Product Specific Notices for RAP80 Antibody - BSA Free
This product is for research use only and is not approved for use in humans or in clinical diagnosis. Primary Antibodies are guaranteed for 1 year from date of receipt.
Loading...
Loading...
Loading...
Loading...