Skip to main content

Rad51 Antibody (JM54-26)

Novus Biologicals, part of Bio-Techne | Catalog # NBP2-75640

Recombinant Monoclonal Antibody.
Novus Biologicals, part of Bio-Techne
Catalog #
Availability
Size / Price
Qty
Loading...
NBP2-75640

Key Product Details

Validated by

Biological Validation

Species Reactivity

Human, Mouse, Rat

Applications

Immunohistochemistry, Immunohistochemistry-Paraffin, Western Blot, Flow Cytometry, Immunocytochemistry/ Immunofluorescence, Immunoprecipitation

Label

Unconjugated

Antibody Source

Recombinant Monoclonal Rabbit IgG Clone # JM54-26 expressed in HEK293

Concentration

1 mg/ml

Product Specifications

Immunogen

Synthetic peptide within Human Rad51 aa 1-50 / 339. (SwissProt: Q06609 Human; SwissProt: Q08297 Mouse; SwissProt: B5DF04 Rat)

Localization

Chromosome, Cytoplasm, Cytoskeleton, Mitochondrion, Nucleus.

Clonality

Monoclonal

Host

Rabbit

Isotype

IgG

Theoretical MW

37 kDa.
Disclaimer note: The observed molecular weight of the protein may vary from the listed predicted molecular weight due to post translational modifications, post translation cleavages, relative charges, and other experimental factors.

Description

Novus Biologicals Rabbit Rad51 Antibody (JM54-26) (NBP2-75640) is a recombinant monoclonal antibody validated for use in IHC, WB, Flow, ICC/IF and IP. All Novus Biologicals antibodies are covered by our 100% guarantee.

Scientific Data Images for Rad51 Antibody (JM54-26)

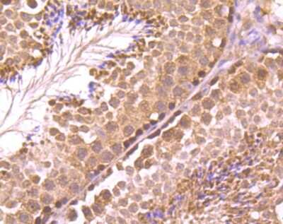
Immunohistochemistry-Paraffin: Rad51 Antibody (JM54-26) [NBP2-75640]

Immunohistochemistry-Paraffin: Rad51 Antibody (JM54-26) [NBP2-75640]

Immunohistochemistry-Paraffin: Rad51 Antibody (JM54-26) [NBP2-75640] - Analysis of paraffin-embedded rat epididymis tissue using anti-Rad51 antibody. Counter stained with hematoxylin.
Flow Cytometry: Rad51 Antibody (JM54-26) [NBP2-75640]

Flow Cytometry: Rad51 Antibody (JM54-26) [NBP2-75640]

Flow Cytometry: Rad51 Antibody (JM54-26) [NBP2-75640] - Analysis of Jurkat cells with Rad51 antibody at 1/100 dilution (red) compared with an unlabelled control (cells without incubation with primary antibody; black).
Immunohistochemistry-Paraffin: Rad51 Antibody (JM54-26) [NBP2-75640]

Immunohistochemistry-Paraffin: Rad51 Antibody (JM54-26) [NBP2-75640]

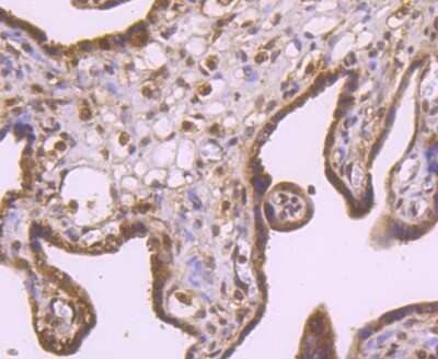
Immunohistochemistry-Paraffin: Rad51 Antibody (JM54-26) [NBP2-75640] - Analysis of paraffin-embedded human placenta tissue using anti-Rad51 antibody. Counter stained with hematoxylin.

Applications for Rad51 Antibody (JM54-26)

Application
Recommended Usage

Flow Cytometry

1:1,000

Immunocytochemistry/ Immunofluorescence

IF-Cell-1:50-1:200, IF-Tissue-1:50-1:100

Immunohistochemistry-Paraffin

1:50-1:1000

Immunoprecipitation

Use at an assay dependent concentration

Western Blot

1:1000

Formulation, Preparation, and Storage

Purification

Protein A purified

Formulation

TBS (pH7.4), 0.05% BSA, 40% Glycerol

Preservative

0.05% Sodium Azide

Concentration

1 mg/ml

Shipping

The product is shipped with polar packs. Upon receipt, store it immediately at the temperature recommended below.

Stability & Storage

Store at 4C short term. Aliquot and store at -20C long term. Avoid freeze-thaw cycles.

Background: Rad51

Rad51 is involved in both the recombination and repair of DNA damage. Its function may be modulated by interaction with other repair proteins including BRCA1 and BRCA2. Alterations in the Rad51 gene have been associated with increased cancer risk. Rad51 is conserved across species and is homologous to prokaryotic RecA.

Alternate Names

BRCC5, hRAD51, HsRad51, HsT16930, RAD51 (S. cerevisiae) homolog (E coli RecA homolog), RAD51 homolog (RecA homolog, E. coli) (S. cerevisiae), RAD51 homolog A, RAD51ABRCA1/BRCA2-containing complex, subunit 5, RAD51L3, RecA, E. coli, homolog of, RECADNA repair protein RAD51 homolog 1, RecA-like protein, recombination protein A

Gene Symbol

RAD51

Additional Rad51 Products

Product Documents for Rad51 Antibody (JM54-26)

Certificate of Analysis

To download a Certificate of Analysis, please enter a lot number in the search box below.

Product Specific Notices for Rad51 Antibody (JM54-26)

This product is for research use only and is not approved for use in humans or in clinical diagnosis. Primary Antibodies are guaranteed for 1 year from date of receipt.

Loading...
Loading...
Loading...
Loading...
Loading...