Skip to main content

Pyruvate Dehydrogenase Kinase 1/PDK1 Antibody (4A11)

Novus Biologicals, part of Bio-Techne | Catalog # NBP2-22171

Novus Biologicals, part of Bio-Techne
Catalog #
Availability
Size / Price
Qty
Loading...
NBP2-22171
NBP2-22171-0.025ml

Key Product Details

Species Reactivity

Validated:

Human, Rat, Monkey

Cited:

Human

Applications

Validated:

Immunohistochemistry, Immunohistochemistry-Paraffin, Western Blot, ELISA, Flow Cytometry, Immunocytochemistry/ Immunofluorescence

Cited:

Western Blot

Label

Unconjugated

Antibody Source

Monoclonal Mouse IgG1 Clone # 4A11

Concentration

This product is unpurified. The exact concentration of antibody is not quantifiable.

Product Specifications

Immunogen

Purified recombinant fragment of human Pyruvate Dehydrogenase Kinase 1/PDK1 expressed in E. Coli.

Clonality

Monoclonal

Host

Mouse

Isotype

IgG1

Theoretical MW

44 kDa.
Disclaimer note: The observed molecular weight of the protein may vary from the listed predicted molecular weight due to post translational modifications, post translation cleavages, relative charges, and other experimental factors.

Description

Novus Biologicals Mouse Pyruvate Dehydrogenase Kinase 1/PDK1 Antibody (4A11) (NBP2-22171) is a monoclonal antibody validated for use in IHC, WB, ELISA, Flow and ICC/IF. Anti-Pyruvate Dehydrogenase Kinase 1/PDK1 Antibody: Cited in 1 publication. All Novus Biologicals antibodies are covered by our 100% guarantee.

Scientific Data Images for Pyruvate Dehydrogenase Kinase 1/PDK1 Antibody (4A11)

Western Blot: Pyruvate Dehydrogenase Kinase 1/PDK1 Antibody (4A11)BSA Free [NBP2-22171]

Western Blot: Pyruvate Dehydrogenase Kinase 1/PDK1 Antibody (4A11)BSA Free [NBP2-22171]

Western Blot: Pyruvate Dehydrogenase Kinase 1/PDK1 Antibody (4A11) [NBP2-22171] - Analysis using PDK1 mouse mAb against NIH/3T3 (1), Hela (2), Jurkat (3), HepG2 (4), PC-12 (5), and Cos7 (6) cell lysate.
Immunocytochemistry/ Immunofluorescence: Pyruvate Dehydrogenase Kinase 1/PDK1 Antibody (4A11) - BSA Free [NBP2-22171]

Immunocytochemistry/ Immunofluorescence: Pyruvate Dehydrogenase Kinase 1/PDK1 Antibody (4A11) - BSA Free [NBP2-22171]

Immunocytochemistry/Immunofluorescence: Pyruvate Dehydrogenase Kinase 1/PDK1 Antibody (4A11) [NBP2-22171] - Immunofluorescence analysis of HELA cells using PDK1 mouse mAb (green). Blue: DRAQ5 fluorescent DNA dye. Red: Actin filaments have been labeled with Alexa Fluor-555 phalloidin.
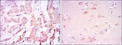
Immunohistochemistry-Paraffin: Pyruvate Dehydrogenase Kinase 1/PDK1 Antibody (4A11) - BSA Free [NBP2-22171]

Immunohistochemistry-Paraffin: Pyruvate Dehydrogenase Kinase 1/PDK1 Antibody (4A11) - BSA Free [NBP2-22171]

Immunohistochemistry-Paraffin: Pyruvate Dehydrogenase Kinase 1/PDK1 Antibody (4A11) [NBP2-22171] - Analysis of breast cancer tissues (left) and brain tissues (right) using PDK1 mouse mAb with DAB staining.

Applications for Pyruvate Dehydrogenase Kinase 1/PDK1 Antibody (4A11)

Application
Recommended Usage

ELISA

1:10000

Flow Cytometry

1:200-1:400

Immunocytochemistry/ Immunofluorescence

1:200-1:1000

Immunohistochemistry

1:10-1:500

Immunohistochemistry-Paraffin

1:200-1:1000

Western Blot

1:500-1:2000

Reviewed Applications

Read 1 review rated 3 using NBP2-22171 in the following applications:

Formulation, Preparation, and Storage

Purification

Unpurified

Formulation

Ascites

Preservative

0.03% Sodium Azide

Concentration

This product is unpurified. The exact concentration of antibody is not quantifiable.

Shipping

The product is shipped with polar packs. Upon receipt, store it immediately at the temperature recommended below.

Stability & Storage

Store at 4C short term. Aliquot and store at -20C long term. Avoid freeze-thaw cycles.

Background: Pyruvate Dehydrogenase Kinase 1/PDK1

Pyruvate dehydrogenase kinase isoform 1 (PDK1) is a component of the mitochondrial multienzyme complex (PHD) which is responsible for carbohydrate fuel regulation. PDK1 inhbits the mitochondrial pyruvate dehydrogenase complex by phosphorylation of the E1 alpha subunit, thus contributing to the regulation of glucose metabolism.
PDK1 antibodies are useful tools for glucose metabolism research and mitochondrial metabolism studies.

Alternate Names

EC 2.7.11, EC 2.7.11.2, mitochondrial pyruvate dehydrogenase, lipoamide, kinase isoenzyme 1, PDH kinase 1, PDK1, PDK-1, PKB kinase, Pyruvate dehydrogenase kinase isoform 1, pyruvate dehydrogenase kinase, isoenzyme 1, pyruvate dehydrogenase kinase, isozyme 1, Pyruvate dehydrogenase lipoamide kinase isozyme 1, mitochondrial

Gene Symbol

PDK1

Additional Pyruvate Dehydrogenase Kinase 1/PDK1 Products

Product Documents for Pyruvate Dehydrogenase Kinase 1/PDK1 Antibody (4A11)

Certificate of Analysis

To download a Certificate of Analysis, please enter a lot number in the search box below.

Product Specific Notices for Pyruvate Dehydrogenase Kinase 1/PDK1 Antibody (4A11)

This product is for research use only and is not approved for use in humans or in clinical diagnosis. Primary Antibodies are guaranteed for 1 year from date of receipt.

Loading...
Loading...
Loading...
Loading...
Loading...