Pyruvate Carboxylase Antibody - BSA Free
Novus Biologicals, part of Bio-Techne | Catalog # NBP1-49536
Conjugate
Catalog #
Key Product Details
Validated by
Knockout/Knockdown, Biological Validation
Species Reactivity
Validated:
Human, Mouse, Rat
Cited:
Human, Mouse, Rat
Predicted:
Bovine (96%), Porcine (96%). Backed by our 100% Guarantee.
Applications
Validated:
Immunohistochemistry, Immunohistochemistry-Paraffin, Western Blot, Immunocytochemistry/ Immunofluorescence, Knockdown Validated
Cited:
Western Blot, Immunofluorescence, Immunocytochemistry, IF/IHC
Label
Unconjugated
Antibody Source
Polyclonal Rabbit IgG
Format
BSA Free
Concentration
1.0 mg/ml
Product Specifications
Immunogen
Partial recombinant protein made to an internal region of the human Pyruvate Carboxylase protein (within residues 930-1050). [Swiss-Prot P11498]
Reactivity Notes
Immunogen has 96% identity to bovine and porcine. Rat reactivity reported in scientific literature (PMID: 24333689)
Localization
Mitochondrion matrix.
Clonality
Polyclonal
Host
Rabbit
Isotype
IgG
Theoretical MW
126 kDa.
Disclaimer note: The observed molecular weight of the protein may vary from the listed predicted molecular weight due to post translational modifications, post translation cleavages, relative charges, and other experimental factors.
Disclaimer note: The observed molecular weight of the protein may vary from the listed predicted molecular weight due to post translational modifications, post translation cleavages, relative charges, and other experimental factors.
Scientific Data Images for Pyruvate Carboxylase Antibody - BSA Free
Immunocytochemistry/ Immunofluorescence: Pyruvate Carboxylase Antibody - BSA Free [NBP1-49536]
Immunocytochemistry/Immunofluorescence: Pyruvate Carboxylase Antibody [NBP1-49536] - HeLa cells were fixed in 4% paraformaldehyde for 10 min and permeabilized in 0.05% Triton X-100 in PBS for 5 minutes. The cells were incubated with anti- (NBP1-49536) at 10 ug/ml overnight at 4C and detected with an anti-rabbit Dylight 488 (Green) at a 1:500 dilution for 60 minutes. Nuclei were counterstained with DAPI (Blue). Cells were imaged using a 100X objective and digitally deconvolved.Western Blot: Pyruvate Carboxylase AntibodyBSA Free [NBP1-49536]
Western Blot: Pyruvate Carboxylase Antibody [NBP1-49536] - Analysis of Pyruvate Carboxylase in A. Human liver extracts and B. Mouse liver extractsImmunohistochemistry-Paraffin: Pyruvate Carboxylase Antibody - BSA Free [NBP1-49536]
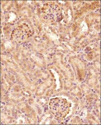
Immunohistochemistry-Paraffin: Pyruvate Carboxylase Antibody [NBP1-49536] - IHC analysis of a formalin fixed and paraffin embedded tissue section of mouse kidney using rabbit anti-Pyruvate Carboxylase antibody at 1:200 dilution. The signal was developed using HRP conjugated anti-rabbit secondary antibody and DAB reagent. The nuclei were counterstained using hematoxylin. This Pyruvate Carboxylase antibody generated a diffused cytoplasmic staining in all the tubules and a subset of cells in glomerular cells.Applications for Pyruvate Carboxylase Antibody - BSA Free
Application
Recommended Usage
Immunocytochemistry/ Immunofluorescence
1:50-1:100
Immunohistochemistry
1:200
Immunohistochemistry-Paraffin
1:200
Western Blot
1:1000. Use reported in scientific literature (PMID 29937374)
Application Notes
In Western blot, a band is seen at ~129 kDa. The observed molecular weight of the protein may vary from the listed predicted molecular weight due to post translational modifications, post translation cleavages, relative charges, and other experimental factors.
Formulation, Preparation, and Storage
Purification
Immunogen affinity purified
Formulation
PBS
Format
BSA Free
Preservative
0.02% Sodium Azide
Concentration
1.0 mg/ml
Shipping
The product is shipped with polar packs. Upon receipt, store it immediately at the temperature recommended below.
Stability & Storage
Store at 4C short term. Aliquot and store at -20C long term. Avoid freeze-thaw cycles.
Background: Pyruvate Carboxylase/PC
Long Name
Pyruvate Carboxylase
Alternate Names
PC, PCB
Entrez Gene IDs
5091 (Human)
Gene Symbol
PC
UniProt
Additional Pyruvate Carboxylase/PC Products
Product Documents for Pyruvate Carboxylase Antibody - BSA Free
Product Specific Notices for Pyruvate Carboxylase Antibody - BSA Free
This product is for research use only and is not approved for use in humans or in clinical diagnosis. Primary Antibodies are guaranteed for 1 year from date of receipt.
Loading...
Loading...
Loading...
Loading...