Pyruvate Carboxylase Antibody (PSH01-55)
Novus Biologicals, part of Bio-Techne | Catalog # NBP3-32722
Recombinant Monoclonal Antibody
Key Product Details
Species Reactivity
Human, Mouse, Rat
Applications
Immunohistochemistry, Immunohistochemistry-Paraffin, Western Blot, Flow Cytometry, Immunocytochemistry/ Immunofluorescence, Immunoprecipitation
Label
Unconjugated
Antibody Source
Recombinant Monoclonal Rabbit IgG Clone # PSH01-55 expressed in HEK293
Concentration
1 mg/ml
Product Specifications
Immunogen
Recombinant protein within Human Pyruvate Carboxylase aa 450-1178. (Uniprot: P11498)
Localization
Mitochondrion matrix.
Clonality
Monoclonal
Host
Rabbit
Isotype
IgG
Theoretical MW
130 kDa.
Disclaimer note: The observed molecular weight of the protein may vary from the listed predicted molecular weight due to post translational modifications, post translation cleavages, relative charges, and other experimental factors.
Disclaimer note: The observed molecular weight of the protein may vary from the listed predicted molecular weight due to post translational modifications, post translation cleavages, relative charges, and other experimental factors.
Description
Novus Biologicals Rabbit Pyruvate Carboxylase Antibody (PSH01-55) (NBP3-32722) is a recombinant monoclonal antibody validated for use in IHC, WB, Flow, ICC/IF and IP. All Novus Biologicals antibodies are covered by our 100% guarantee.
Scientific Data Images for Pyruvate Carboxylase Antibody (PSH01-55)
Immunoprecipitation: Pyruvate Carboxylase Antibody (PSH01-55) [NBP3-32722]
Immunoprecipitation: Pyruvate Carboxylase Antibody (PSH01-55) [NBP3-32722] - Pyruvate Carboxylase was immunoprecipitated in 0.2mg HeLa cell lysate with NBP3-32722 at 2 ug/25 ul agarose. Western blot was performed from the immunoprecipitate using NBP3-32722 at 1/1,000 dilution. Anti-Rabbit IgG for IP Nano-secondary antibody at 1/5,000 dilution was used for 1 hour at room temperature.Lane 1: HeLa cell lysate (input)
Lane 2: Rabbit IgG instead of NBP3-32722 in HeLa cell lysate
Lane 3: NBP3-32722 IP in HeLa cell lysate
Blocking/Dilution buffer: 5% NFDM/TBST
Exposure time: 24 seconds
Western Blot: Pyruvate Carboxylase Antibody (PSH01-55) [NBP3-32722]
Western Blot: Pyruvate Carboxylase Antibody (PSH01-55) [NBP3-32722] - Western blot analysis of Pyruvate Carboxylase on different lysates with Rabbit anti-Pyruvate Carboxylase antibody (NBP3-32722) at 1/1,000 dilution.Lane 1: HepG2 cell lysate
Lane 2: MCF7 cell lysate
Lane 3: A549 cell lysate
Lane 4: Huh7 cell lysate
Lane 5: Hela cell lysate
Lane 6: NIH/3T3 cell lysate
Lane 7: Rat brain tissue lysate
Lysates/proteins at 30 ug/Lane.
Predicted band size: 130 kDa
Observed band size: 130 kDa
Exposure time: 24 seconds;
4-20% SDS-PAGE gel.
Proteins were transferred to a PVDF membrane and blocked with 5% NFDM/TBST for 1 hour at room temperature. The primary antibody (NBP3-32722) at 1/1,000 dilution was used in 5% NFDM/TBST at room temperature for 2 hours. Goat Anti-Rabbit IgG - HRP Secondary Antibody at 1/50,000 dilution was used for 1 hour at room temperature.
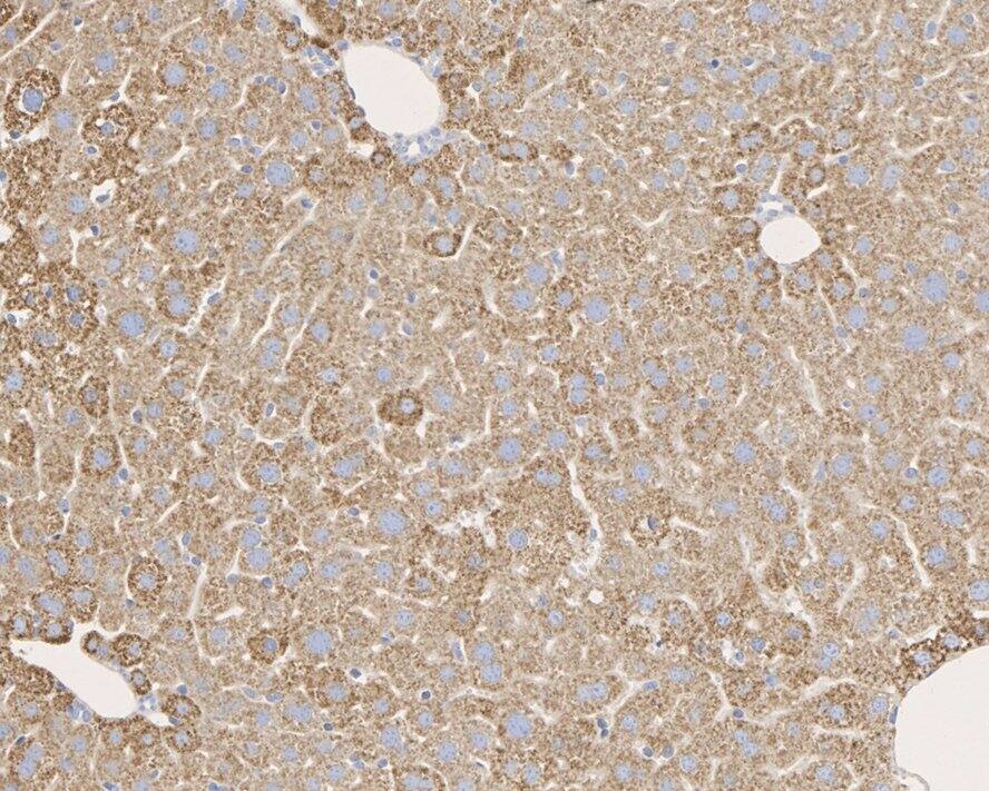
Immunohistochemistry: Pyruvate Carboxylase Antibody (PSH01-55) [NBP3-32722]
Immunohistochemistry: Pyruvate Carboxylase Antibody (PSH01-55) [NBP3-32722] - Immunohistochemical analysis of paraffin-embedded mouse liver tissue with Rabbit anti-Pyruvate Carboxylase antibody (NBP3-32722) at 1/200 dilution.The section was pre-treated using heat mediated antigen retrieval with Tris-EDTA buffer (pH 9.0) for 20 minutes. The tissues were blocked in 1% BSA for 20 minutes at room temperature, washed with ddH2O and PBS, and then probed with the primary antibody (NBP3-32722) at 1/200 dilution for 1 hour at room temperature. The detection was performed using an HRP conjugated compact polymer system. DAB was used as the chromogen. Tissues were counterstained with hematoxylin and mounted with DPX.
Applications for Pyruvate Carboxylase Antibody (PSH01-55)
Application
Recommended Usage
Flow Cytometry
1:1000
Immunocytochemistry/ Immunofluorescence
1:250
Immunohistochemistry-Paraffin
1:200
Immunoprecipitation
1-2ug/sample
Western Blot
1:1000
Formulation, Preparation, and Storage
Purification
Protein A purified
Formulation
PBS (pH7.4), 0.05% BSA and 40% Glycerol
Preservative
0.05% Sodium Azide
Concentration
1 mg/ml
Shipping
The product is shipped with polar packs. Upon receipt, store it immediately at the temperature recommended below.
Stability & Storage
Store at 4C short term. Aliquot and store at -20C long term. Avoid freeze-thaw cycles.
Background: Pyruvate Carboxylase/PC
Long Name
Pyruvate Carboxylase
Alternate Names
PC, PCB
Gene Symbol
PC
Additional Pyruvate Carboxylase/PC Products
Product Documents for Pyruvate Carboxylase Antibody (PSH01-55)
Product Specific Notices for Pyruvate Carboxylase Antibody (PSH01-55)
This product is for research use only and is not approved for use in humans or in clinical diagnosis. Primary Antibodies are guaranteed for 1 year from date of receipt.
Loading...
Loading...
Loading...
Loading...
Loading...