Skip to main content

PRPS2 Antibody - BSA Free

Novus Biologicals, part of Bio-Techne | Catalog # NBP1-57669

Novus Biologicals, part of Bio-Techne
Catalog #
Availability
Size / Price
Qty
Loading...
NBP1-57669

Key Product Details

Species Reactivity

Validated:

Human

Cited:

Human

Applications

Validated:

Immunohistochemistry, Immunohistochemistry-Paraffin, Western Blot

Cited:

Western Blot

Label

Unconjugated

Antibody Source

Polyclonal Rabbit IgG

Format

BSA Free

Concentration

0.5 mg/ml

Product Specifications

Immunogen

Synthetic peptides corresponding to PRPS2(phosphoribosyl pyrophosphate synthetase 2) The peptide sequence was selected from the middle region of PRPS2. Peptide sequence VSPDAGGAKRVTSIADRLNVEFALIHKERKKANEVDRMVLVGDVKDRVAI. The peptide sequence for this immunogen was taken from within the described region.

Clonality

Polyclonal

Host

Rabbit

Isotype

IgG

Description

The addition of 50% glycerol is optional for those storing this antibody at -20C and not aliquoting smaller units. However, please note that glycerol may interrupt some downstream antibody applications and should be added with caution.

Scientific Data Images for PRPS2 Antibody - BSA Free

Western Blot: PRPS2 Antibody [NBP1-57669]

Western Blot: PRPS2 Antibody [NBP1-57669]

Western Blot: PRPS2 Antibody [NBP1-57669] - Titration: 0.2-1 ug/ml Positive Control: HepG2 cell lysate.
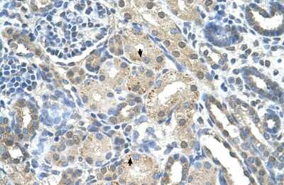
Immunohistochemistry-Paraffin: PRPS2 Antibody [NBP1-57669]

Immunohistochemistry-Paraffin: PRPS2 Antibody [NBP1-57669]

Immunohistochemistry-Paraffin: PRPS2 Antibody [NBP1-57669] - Human kidney Tissue, antibody concentration 4-8ug/ml. Cells with positive label: renal corpuscle cells (indicated with arrows) 400X magnification.

Applications for PRPS2 Antibody - BSA Free

Application
Recommended Usage

Immunohistochemistry

1:10-1:500

Immunohistochemistry-Paraffin

1:10-1:500

Western Blot

1.0 ug/ml

Formulation, Preparation, and Storage

Purification

Affinity purified

Formulation

PBS, 2% Sucrose

Format

BSA Free

Preservative

0.09% Sodium Azide

Concentration

0.5 mg/ml

Shipping

The product is shipped with polar packs. Upon receipt, store it immediately at the temperature recommended below.

Stability & Storage

Store at 4C short term. Aliquot and store at -20C long term. Avoid freeze-thaw cycles.

Background: PRPS2

The function remains unknown.

Alternate Names

EC 2.7.6.1, Phosphoribosyl pyrophosphate synthase II, phosphoribosyl pyrophosphate synthetase 2, PPRibP, PPRibP synthetase, PRSII, PRS-II, ribose-phosphate diphosphokinase 2, ribose-phosphate pyrophosphokinase 2

Gene Symbol

PRPS2

UniProt

Additional PRPS2 Products

Product Documents for PRPS2 Antibody - BSA Free

Certificate of Analysis

To download a Certificate of Analysis, please enter a lot number in the search box below.

Product Specific Notices for PRPS2 Antibody - BSA Free

This product is for research use only and is not approved for use in humans or in clinical diagnosis. Primary Antibodies are guaranteed for 1 year from date of receipt.

Loading...
Loading...
Loading...
Loading...