Skip to main content

PRPF4 Antibody - BSA Free

Novus Biologicals, part of Bio-Techne | Catalog # NBP3-38223

Novus Biologicals, part of Bio-Techne
Catalog #
Availability
Size / Price
Qty
Loading...
NBP3-38223-20ul
NBP3-38223-100ul

Key Product Details

Species Reactivity

Human, Mouse, Rat

Applications

ELISA, Immunohistochemistry, Immunohistochemistry-Paraffin, Western Blot

Label

Unconjugated

Antibody Source

Polyclonal Rabbit IgG

Format

BSA Free

Concentration

Please see the vial label for concentration. If unlisted please contact technical services.

Product Specifications

Immunogen

Recombinant fusion protein containing a sequence corresponding to amino acids 1-260 of human PRPF4 (NP_004688.2).

Sequence:
MASSRASSTQATKTKAPDDLVAPVVKKPHIYYGSLEEKERERLAKGESGILGKDGLKAGIEAGNINITSGEVFEIEEHISERQAEVLAEFERRKRARQINVSTDDSEVKACLRALGEPITLFGEGPAERRERLRNILSVVGTDALKKTKKDDEKSKKSKEEYQQTWYHEGPNSLKVARLWIANYSLPRAMKRLEEARLHKEIPETTRTSQMQELHKSLRSLNNFCSQIGDDRPISYCHFSPNSKMLATACWSGLCKLWSV

Clonality

Polyclonal

Host

Rabbit

Isotype

IgG

Theoretical MW

58 kDa.
Disclaimer note: The observed molecular weight of the protein may vary from the listed predicted molecular weight due to post translational modifications, post translation cleavages, relative charges, and other experimental factors.

Description

Novus Biologicals Rabbit PRPF4 Antibody - BSA Free (NBP3-38223) is a polyclonal antibody validated for use in IHC, WB and ELISA. All Novus Biologicals antibodies are covered by our 100% guarantee.

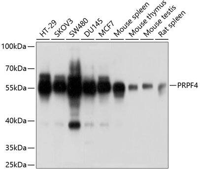
Scientific Data Images for PRPF4 Antibody - BSA Free

PRPF4 Antibody

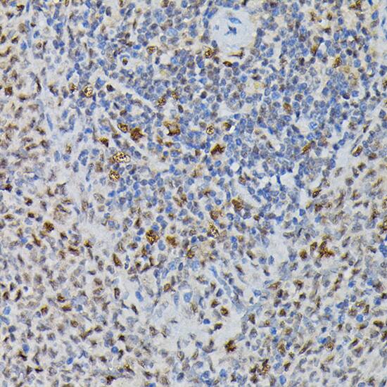
Immunohistochemistry: PRPF4 Antibody [NBP3-38223] -

Immunohistochemistry: PRPF4 Antibody [NBP3-38223] - Immunohistochemistry analysis of paraffin-embedded Mouse spleen using PRPF4 Rabbit pAb at dilution of 1:200 (40x lens). High pressure antigen retrieval performed with 0.01M Citrate Bufferr (pH 6.0) prior to IHC staining.
PRPF4 Antibody

Immunohistochemistry: PRPF4 Antibody [NBP3-38223] -

Immunohistochemistry: PRPF4 Antibody [NBP3-38223] - Immunohistochemistry analysis of paraffin-embedded Human brain using PRPF4 Rabbit pAb at dilution of 1:200 (40x lens). High pressure antigen retrieval performed with 0.01M Citrate Bufferr (pH 6.0) prior to IHC staining.
PRPF4 Antibody

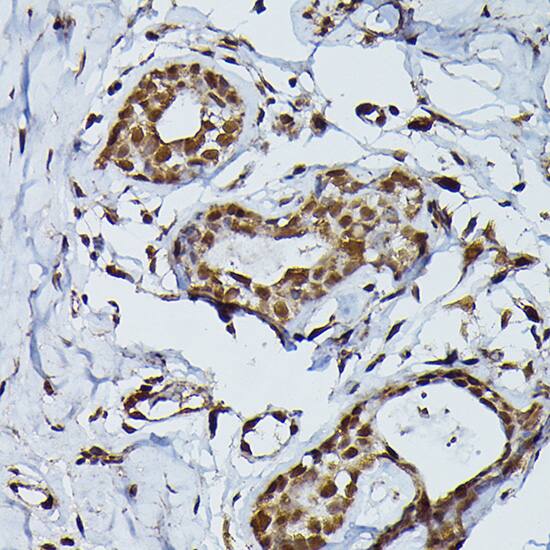
Immunohistochemistry: PRPF4 Antibody [NBP3-38223] -

Immunohistochemistry: PRPF4 Antibody [NBP3-38223] - Immunohistochemistry analysis of paraffin-embedded Human breast cancer using PRPF4 Rabbit pAb at dilution of 1:200 (40x lens). High pressure antigen retrieval performed with 0.01M Citrate Bufferr (pH 6.0) prior to IHC staining.

Applications for PRPF4 Antibody - BSA Free

Application
Recommended Usage

Immunohistochemistry-Paraffin

1:50 - 1:200

Western Blot

1:500 - 1:2000

Formulation, Preparation, and Storage

Purification

Affinity purified

Formulation

PBS (pH 7.3), 50% glycerol

Format

BSA Free

Preservative

0.02% Sodium Azide

Concentration

Please see the vial label for concentration. If unlisted please contact technical services.

Shipping

The product is shipped with polar packs. Upon receipt, store it immediately at the temperature recommended below.

Stability & Storage

Store at -20C. Avoid freeze-thaw cycles.

Background: PRPF4

The removal of introns from nuclear pre-mRNAs occurs on complexes called spliceosomes, which are made up of 4 small nuclear ribonucleoprotein (snRNP) particles and an undefined number of transiently associated splicing factors. PRPF4 is 1 of several proteins that associate with U4 and U6 snRNPs.[supplied by OMIM]

Alternate Names

hPrp4, HPRP4P, HPRP4PRP4/STK/WD splicing factor, PRP4 homolog, PRP4 pre-mRNA processing factor 4 homolog (yeast), Prp4p, PRP4WD splicing factor Prp4, U4/U6 small nuclear ribonucleoprotein Prp4, U4/U6 snRNP 60 kDa protein

Gene Symbol

PRPF4

Additional PRPF4 Products

Product Documents for PRPF4 Antibody - BSA Free

Certificate of Analysis

To download a Certificate of Analysis, please enter a lot number in the search box below.

Product Specific Notices for PRPF4 Antibody - BSA Free

This product is for research use only and is not approved for use in humans or in clinical diagnosis. Primary Antibodies are guaranteed for 1 year from date of receipt.

Loading...
Loading...
Loading...
Loading...