PRPF4 Antibody - BSA Free
Novus Biologicals, part of Bio-Techne | Catalog # NBP1-83218
Key Product Details
Validated by
Independent Antibodies
Species Reactivity
Human, Mouse, Rat
Applications
Immunohistochemistry, Immunohistochemistry-Paraffin, Western Blot, Immunocytochemistry/ Immunofluorescence
Label
Unconjugated
Antibody Source
Polyclonal Rabbit IgG
Format
BSA Free
Concentration
Concentrations vary lot to lot. See vial label for concentration. If unlisted please contact technical services.
Product Specifications
Immunogen
This antibody was developed against Recombinant Protein corresponding to amino acids: QATKTKAPDDLVAPVVKKPHIYYGSLEEKERERLAKGESGILGKDGLKAGIEAGNINITSGEVFEIEEHISERQAEVLAEFERRKRARQINVSTDDS
Clonality
Polyclonal
Host
Rabbit
Isotype
IgG
Scientific Data Images for PRPF4 Antibody - BSA Free
Immunocytochemistry/ Immunofluorescence: PRPF4 Antibody [NBP1-83218]
Immunocytochemistry/Immunofluorescence: PRPF4 Antibody [NBP1-83218] - Staining of human cell line U-2 OS shows localization to nuclear speckles. Antibody staining is shown in green.Immunohistochemistry-Paraffin: PRPF4 Antibody - BSA Free [NBP1-83218]
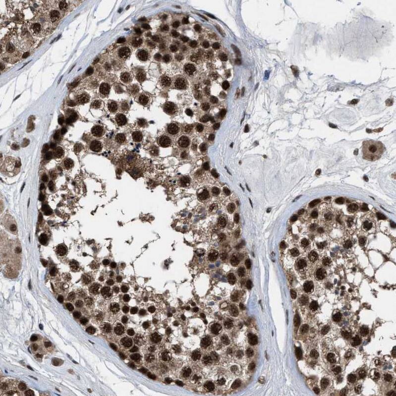
Staining of human testis shows strong nuclear positivity in cells in seminiferous ducts.Applications for PRPF4 Antibody - BSA Free
Application
Recommended Usage
Immunocytochemistry/ Immunofluorescence
0.25-2 ug/ml
Immunohistochemistry
1:50 - 1:200
Immunohistochemistry-Paraffin
1:50 - 1:200
Western Blot
0.04-0.4 ug/ml
Application Notes
For IHC-Paraffin, HIER pH 6 retrieval is recommended. ICC/IF Fixation Permeabilization: Use PFA/Triton X-100.
Formulation, Preparation, and Storage
Purification
Affinity purified
Formulation
PBS (pH 7.2) and 40% Glycerol
Format
BSA Free
Preservative
0.02% Sodium Azide
Concentration
Concentrations vary lot to lot. See vial label for concentration. If unlisted please contact technical services.
Shipping
The product is shipped with polar packs. Upon receipt, store it immediately at the temperature recommended below.
Stability & Storage
Store at 4C short term. Aliquot and store at -20C long term. Avoid freeze-thaw cycles.
Background: PRPF4
Alternate Names
hPrp4, HPRP4P, HPRP4PRP4/STK/WD splicing factor, PRP4 homolog, PRP4 pre-mRNA processing factor 4 homolog (yeast), Prp4p, PRP4WD splicing factor Prp4, U4/U6 small nuclear ribonucleoprotein Prp4, U4/U6 snRNP 60 kDa protein
Gene Symbol
PRPF4
Additional PRPF4 Products
Product Documents for PRPF4 Antibody - BSA Free
Product Specific Notices for PRPF4 Antibody - BSA Free
This product is for research use only and is not approved for use in humans or in clinical diagnosis. Primary Antibodies are guaranteed for 1 year from date of receipt.
Loading...
Loading...
Loading...
Loading...