Skip to main content

Proteasome 20S alpha 6 Antibody (OTI4C9)

Novus Biologicals, part of Bio-Techne | Catalog # NBP2-03836

Novus Biologicals, part of Bio-Techne
Catalog #
Availability
Size / Price
Qty
Loading...
NBP2-03836

Key Product Details

Species Reactivity

Human, Mouse, Rat, Canine, Monkey, Primate

Applications

Flow Cytometry, Immunohistochemistry, Immunohistochemistry-Paraffin, Western Blot

Label

Unconjugated

Antibody Source

Monoclonal Mouse IgG2B Clone # OTI4C9

Concentration

1 mg/ml

Product Specifications

Immunogen

Full length human recombinant protein of human PSMA6 (NP_002782) produced in E.coli.

Reactivity Notes

Please note that this antibody is reactive to Mouse and derived from the same host, Mouse. Mouse-On-Mouse blocking reagent may be needed for IHC and ICC experiments to reduce high background signal. You can find these reagents under catalog numbers PK-2200-NB and MP-2400-NB. Please contact Technical Support if you have any questions.

Clonality

Monoclonal

Host

Mouse

Isotype

IgG2B

Theoretical MW

27.2 kDa.
Disclaimer note: The observed molecular weight of the protein may vary from the listed predicted molecular weight due to post translational modifications, post translation cleavages, relative charges, and other experimental factors.

Description

Novus Biologicals Mouse Proteasome 20S alpha 6 Antibody (OTI4C9) (NBP2-03836) is a monoclonal antibody validated for use in IHC, WB and Flow. All Novus Biologicals antibodies are covered by our 100% guarantee.

Scientific Data Images for Proteasome 20S alpha 6 Antibody (OTI4C9)

Western Blot: Proteasome 20S alpha 6 Antibody (4C9) [NBP2-03836] Analysis of extracts (35ug) from 9 different cell lines by usin g anti-Proteasome 20S alpha 6 monoclonal antibody (HepG2: human; HeLa: human; SVT2: mouse; A549: human; COS7: monkey; Jurkat: human; MDCK: canine; PC12: rat; MCF7: human).
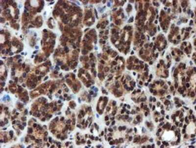
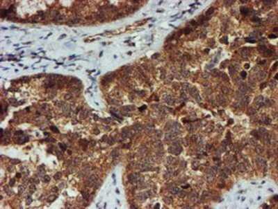
Immunohistochemistry-Paraffin: Proteasome 20S alpha 6 Antibody (OTI4C9) [NBP2-03836]

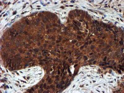
Immunohistochemistry-Paraffin: Proteasome 20S alpha 6 Antibody (OTI4C9) [NBP2-03836]

Immunohistochemistry-Paraffin: Proteasome 20S alpha 6 Antibody (4C9) [NBP2-03836] - Staining of paraffin-embedded Human pancreas tissue using anti-Proteasome 20S alpha 6 mouse monoclonal antibody.
Flow Cytometry: Proteasome 20S alpha 6 Antibody (OTI4C9) [NBP2-03836]

Flow Cytometry: Proteasome 20S alpha 6 Antibody (OTI4C9) [NBP2-03836]

Flow Cytometry: Proteasome 20S alpha 6 Antibody (4C9) [NBP2-03836] - HEK293T cells transfected with either overexpression plasmid (Red) or empty vector control plasmid (Blue) were immunostained by anti-Proteasome 20S alpha 6 antibody, and then analyzed by flow cytometry.

Applications for Proteasome 20S alpha 6 Antibody (OTI4C9)

Application
Recommended Usage

Flow Cytometry

1:100

Immunohistochemistry

1:150

Immunohistochemistry-Paraffin

1:150

Western Blot

1:500-2000

Formulation, Preparation, and Storage

Purification

Immunogen affinity purified

Formulation

PBS (pH 7.3), 1.0% BSA and 50% Glycerol

Preservative

0.02% Sodium Azide

Concentration

1 mg/ml

Shipping

The product is shipped with polar packs. Upon receipt, store it immediately at the temperature recommended below.

Stability & Storage

Store at -20C. Avoid freeze-thaw cycles.

Background: Proteasome 20S alpha 6

The proteasome is a multicatalytic proteinase complex with a highly ordered ring-shaped 20S core structure. The core structure is composed of 4 rings of 28 non-identical subunits; 2 rings are composed of 7 alpha subunits and 2 rings are composed of 7 beta subunits. Proteasomes are distributed throughout eukaryotic cells at a high concentration and cleave peptides in an ATP/ubiquitin-dependent process in a non-lysosomal pathway. An essential function of a modified proteasome, the immunoproteasome, is the processing of class I MHC peptides. This gene encodes a member of the peptidase T1A family, that is a 20S core alpha subunit. A pseudogene has been identified on the Y chromosome. [provided by RefSeq].

Long Name

Proteasome subunit alpha type-6

Alternate Names

p27K, PROS-27, PROS27, PSMA6

Entrez Gene IDs

5687 (Human)

Gene Symbol

PSMA6

Additional Proteasome 20S alpha 6 Products

Product Documents for Proteasome 20S alpha 6 Antibody (OTI4C9)

Certificate of Analysis

To download a Certificate of Analysis, please enter a lot number in the search box below.

Product Specific Notices for Proteasome 20S alpha 6 Antibody (OTI4C9)

This product is for research use only and is not approved for use in humans or in clinical diagnosis. Primary Antibodies are guaranteed for 1 year from date of receipt.

Loading...
Loading...
Loading...
Loading...
Loading...