Skip to main content

Profilin 1 Antibody - BSA Free

Novus Biologicals, part of Bio-Techne | Catalog # NBP2-99538

Novus Biologicals, part of Bio-Techne

Key Product Details

Species Reactivity

Validated:

Mouse, Rat

Predicted:

Bovine (100%), Rat (100%). Backed by our 100% Guarantee.

Applications

Immunohistochemistry, Immunohistochemistry-Paraffin, Western Blot

Label

Unconjugated

Antibody Source

Polyclonal Rabbit IgG

Format

BSA Free

Concentration

Please see the vial label for concentration. If unlisted please contact technical services.

Product Specifications

Immunogen

Produced in rabbits immunized with a synthetic peptide corresponding to the center region of the Human Profilin 1

Clonality

Polyclonal

Host

Rabbit

Isotype

IgG

Description

This antibody can be stored at 2C to 8C for one month without detectable loss of activity. Antibody products are stable for twelve months from date of receipt when stored at -20C to -80C. Avoid repeated freeze-thaw cycles.

Scientific Data Images for Profilin 1 Antibody - BSA Free

Western Blot: Profilin 1 Antibody [NBP2-99538]

Western Blot: Profilin 1 Antibody [NBP2-99538]

Western Blot: Profilin 1 Antibody [NBP2-99538] - Anti-Profilin 1 rabbit polyclonal antibody at 1:500 dilution. Lane A: Mouse spleen tissue lysate. Lysates/proteins at 30 ug per lane. Secondary Goat Anti-Rabbit IgG (H+L)/HRP at 1/10000 dilution. Developed using the ECL technique. Performed under reducing conditions. Predicted band size: 15 kDa. Observed band size: 15 kDa
Immunohistochemistry-Paraffin: Profilin 1 Antibody [NBP2-99538]

Immunohistochemistry-Paraffin: Profilin 1 Antibody [NBP2-99538]

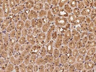
Immunohistochemistry-Paraffin: Profilin 1 Antibody [NBP2-99538] - Immunochemical staining Profilin 1 in rat kidney with rabbit polyclonal antibody at 1:500 dilution, formalin-fixed paraffin embedded sections.
Immunohistochemistry-Paraffin: Profilin 1 Antibody [NBP2-99538]

Immunohistochemistry-Paraffin: Profilin 1 Antibody [NBP2-99538]

Immunohistochemistry-Paraffin: Profilin 1 Antibody [NBP2-99538] - Immunochemical staining Profilin 1 in mouse colon with rabbit polyclonal antibody at 1:500 dilution, formalin-fixed paraffin embedded sections.

Applications for Profilin 1 Antibody - BSA Free

Application
Recommended Usage

Immunohistochemistry-Paraffin

1:200-1:1000

Western Blot

1:500-1:2000

Formulation, Preparation, and Storage

Purification

Antigen and protein A Affinity-purified

Formulation

PBS

Format

BSA Free

Preservative

0.03% Proclin 300

Concentration

Please see the vial label for concentration. If unlisted please contact technical services.

Shipping

The product is shipped with polar packs. Upon receipt, store it immediately at the temperature recommended below.

Stability & Storage

Store at 4C short term. Aliquot and store at -20C long term. Avoid freeze-thaw cycles.

Background: Profilin 1

Profilin is an ubiquitous small (12-15 kDa) phosphoinositides and poly-L-proline binding protein that plays a role both in signal transduction pathways and actin filament dynamics. There are two mammalian profilins with similar biochemical properties but different expression patterns. Whereas profilin I appears to be highly expressed in most tissues except for skeletal muscle, profilin II is predominantly expressed in brain and at lower levels. It is also in expressed in skeletal muscle, the uterus and kidneys. Profilin is a mainly cytosolic protein with higher concentrations in dynamic membrane areas like the leading edge and ruffling membranes.

Alternate Names

PFN1, PROF1, Profilin I

Gene Symbol

PFN1

Additional Profilin 1 Products

Product Documents for Profilin 1 Antibody - BSA Free

Certificate of Analysis

To download a Certificate of Analysis, please enter a lot number in the search box below.

Product Specific Notices for Profilin 1 Antibody - BSA Free

This product is for research use only and is not approved for use in humans or in clinical diagnosis. Primary Antibodies are guaranteed for 1 year from date of receipt.

Loading...
Loading...
Loading...
Loading...