PPT1 Antibody - BSA Free
Novus Biologicals, part of Bio-Techne | Catalog # NBP2-97410
Conjugate
Catalog #
Key Product Details
Species Reactivity
Human
Applications
Immunohistochemistry-Paraffin
Label
Unconjugated
Antibody Source
Polyclonal Rabbit IgG
Format
BSA Free
Concentration
Please see the vial label for concentration. If unlisted please contact technical services.
Product Specifications
Immunogen
Produced in rabbits immunized with E. coli-derived Human PPT1 fragment.
Clonality
Polyclonal
Host
Rabbit
Isotype
IgG
Description
This antibody can be stored at 2C to 8C for one month without detectable loss of activity. Antibody products are stable for twelve months from date of receipt when stored at -20C to -80C. Avoid repeated freeze-thaw cycles.
Scientific Data Images for PPT1 Antibody - BSA Free
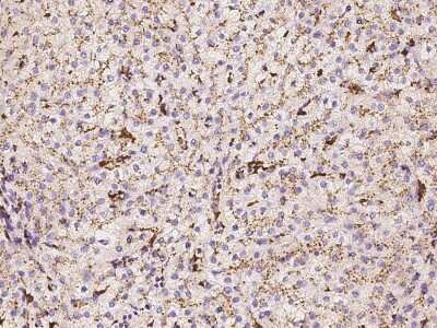
Immunohistochemistry-Paraffin: PPT1 Antibody [NBP2-97410]
Immunohistochemistry-Paraffin: PPT1 Antibody [NBP2-97410] - Immunochemical staining of human PPT1 in human brain with rabbit polyclonal antibody at 1:500 dilution, formalin-fixed paraffin embedded sections.Immunohistochemistry-Paraffin: PPT1 Antibody [NBP2-97410]
Immunohistochemistry-Paraffin: PPT1 Antibody [NBP2-97410] - Immunochemical staining of human PPT1 in human brain with rabbit polyclonal antibody at 1:500 dilution, formalin-fixed paraffin embedded sections.Applications for PPT1 Antibody - BSA Free
Application
Recommended Usage
Immunohistochemistry-Paraffin
1:200-1:1000
Formulation, Preparation, and Storage
Purification
Antigen and protein A Affinity-purified
Formulation
PBS
Format
BSA Free
Preservative
0.03% Proclin 300
Concentration
Please see the vial label for concentration. If unlisted please contact technical services.
Shipping
The product is shipped with polar packs. Upon receipt, store it immediately at the temperature recommended below.
Stability & Storage
Store at 4C short term. Aliquot and store at -20C long term. Avoid freeze-thaw cycles.
Background: PPT1
Long Name
palmitoyl-protein thioesterase 1
Alternate Names
INCL
Gene Symbol
PPT1
Additional PPT1 Products
Product Specific Notices for PPT1 Antibody - BSA Free
This product is for research use only and is not approved for use in humans or in clinical diagnosis. Primary Antibodies are guaranteed for 1 year from date of receipt.
Loading...
Loading...
Loading...
Loading...