Skip to main content

PPT1 Antibody - BSA Free

Novus Biologicals, part of Bio-Techne | Catalog # NBP1-85563

Novus Biologicals, part of Bio-Techne
Catalog #
Availability
Size / Price
Qty
Loading...
NBP1-85563
NBP1-85563-25ul

Key Product Details

Species Reactivity

Validated:

Human

Cited:

Human

Applications

Validated:

Immunohistochemistry, Immunohistochemistry-Paraffin, Western Blot, Immunocytochemistry/ Immunofluorescence

Cited:

Western Blot, Immunocytochemistry/ Immunofluorescence

Label

Unconjugated

Antibody Source

Polyclonal Rabbit IgG

Format

BSA Free

Concentration

Concentrations vary lot to lot. See vial label for concentration. If unlisted please contact technical services.

Product Specifications

Immunogen

This antibody was developed against Recombinant Protein corresponding to amino acids: KFVMVKFLNDSIVDPVDSEWFGFYRSGQAKETIPLQETSLYTQDRLGLKEMDNAGQLVFLATEGDHLQLSEEWFY

Reactivity Notes

Immunogen displays the following percentage of sequence identity for non-tested species: Mouse (85%), Rat (87%).

Clonality

Polyclonal

Host

Rabbit

Isotype

IgG

Description

Novus Biologicals Rabbit PPT1 Antibody - BSA Free (NBP1-85563) is a polyclonal antibody validated for use in IHC, WB and ICC/IF. Anti-PPT1 Antibody: Cited in 1 publication. All Novus Biologicals antibodies are covered by our 100% guarantee.

Scientific Data Images for PPT1 Antibody - BSA Free

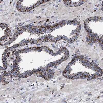
Immunohistochemistry-Paraffin: PPT1 Antibody [NBP1-85563]

Immunohistochemistry-Paraffin: PPT1 Antibody [NBP1-85563]

Immunohistochemistry-Paraffin: PPT1 Antibody [NBP1-85563] - Staining of human skeletal muscle shows no positivity in myocytes as expected.
Immunohistochemistry-Paraffin: PPT1 Antibody [NBP1-85563]

Immunohistochemistry-Paraffin: PPT1 Antibody [NBP1-85563]

Immunohistochemistry-Paraffin: PPT1 Antibody [NBP1-85563] - Staining of human cerebral cortex shows very strong granular positivity in cytoplasm in neurons.
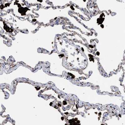
Immunohistochemistry-Paraffin: PPT1 Antibody [NBP1-85563]

Immunohistochemistry-Paraffin: PPT1 Antibody [NBP1-85563]

Immunohistochemistry-Paraffin: PPT1 Antibody [NBP1-85563] - Staining of human lung shows very strong granular positivity in cytoplasm in macrophages.

Applications for PPT1 Antibody - BSA Free

Application
Recommended Usage

Immunocytochemistry/ Immunofluorescence

Reported in scientific literature (PMID: 26217791).

Immunohistochemistry

1:200 - 1:500

Immunohistochemistry-Paraffin

1:200 - 1:500

Western Blot

Reported in scientific literature (PMID: 26217791).
Application Notes
For IHC-Paraffin, HIER pH 6 retrieval is recommended.

Formulation, Preparation, and Storage

Purification

Immunogen affinity purified

Formulation

PBS (pH 7.2) and 40% Glycerol

Format

BSA Free

Preservative

0.02% Sodium Azide

Concentration

Concentrations vary lot to lot. See vial label for concentration. If unlisted please contact technical services.

Shipping

The product is shipped with polar packs. Upon receipt, store it immediately at the temperature recommended below.

Stability & Storage

Store at 4C short term. Aliquot and store at -20C long term. Avoid freeze-thaw cycles.

Background: PPT1

Palmitoyl-protein thioesterase (PPT) is a small glycoprotein that removes palmitate groups from cysteine residues in lipid-modified proteins. PPT is thought to be involved in the catabolism of lipid-modified proteins (Camp et al., 1994 [PubMed 7916016]).[supplied by OMIM]

Long Name

palmitoyl-protein thioesterase 1

Alternate Names

INCL

Gene Symbol

PPT1

Additional PPT1 Products

Product Documents for PPT1 Antibody - BSA Free

Certificate of Analysis

To download a Certificate of Analysis, please enter a lot number in the search box below.

Product Specific Notices for PPT1 Antibody - BSA Free

This product is for research use only and is not approved for use in humans or in clinical diagnosis. Primary Antibodies are guaranteed for 1 year from date of receipt.

Loading...
Loading...
Loading...
Loading...