Skip to main content

PPOX Antibody - BSA Free

Novus Biologicals, part of Bio-Techne | Catalog # NBP3-38257

Novus Biologicals, part of Bio-Techne
Catalog #
Availability
Size / Price
Qty
Loading...
NBP3-38257-20ul
NBP3-38257-100ul

Key Product Details

Species Reactivity

Human, Mouse

Applications

ELISA, Immunohistochemistry, Immunohistochemistry-Paraffin, Western Blot

Label

Unconjugated

Antibody Source

Polyclonal Rabbit IgG

Format

BSA Free

Concentration

Please see the vial label for concentration. If unlisted please contact technical services.

Product Specifications

Immunogen

Recombinant fusion protein containing a sequence corresponding to amino acids 1-280 of human PPOX (NP_001116236.1).

Sequence:
MGRTVVVLGGGISGLAASYHLSRAPCPPKVVLVESSERLGGWIRSVRGPNGAIFELGPRGIRPAGALGARTLLLVSELGLDSEVLPVRGDHPAAQNRFLYVGGALHALPTGLRGLLRPSPPFSKPLFWAGLRELTKPRGKEPDETVHSFAQRRLGPEVASLAMDSLCRGVFAGNSRELSIRSCFPSLFQAEQTHRSILLGLLLGAGRTPQPDSALIRQALAERWSQWSLRGGLEMLPQALETHLTSRGVSVLRGQPVCGLSLQAEGRWKVSLRDSSLEAD

Clonality

Polyclonal

Host

Rabbit

Isotype

IgG

Theoretical MW

51 kDa.
Disclaimer note: The observed molecular weight of the protein may vary from the listed predicted molecular weight due to post translational modifications, post translation cleavages, relative charges, and other experimental factors.

Description

Novus Biologicals Rabbit PPOX Antibody - BSA Free (NBP3-38257) is a polyclonal antibody validated for use in IHC, WB and ELISA. All Novus Biologicals antibodies are covered by our 100% guarantee.

Scientific Data Images for PPOX Antibody - BSA Free

PPOX Antibody

Western Blot: PPOX Antibody [NBP3-38257] -

Western Blot: PPOX Antibody [NBP3-38257] - Western blot analysis of various lysates using PPOX Rabbit pAb at 1:1000 dilution.
Secondary antibody: HRP-conjugated Goat anti-Rabbit IgG (H+L) at 1:10000 dilution.
Lysates/proteins: 25ug per lane.
Blocking buffer: 3% nonfat dry milk in TBST.
Detection: ECL Enhanced Kit.
Exposure time: 90s.
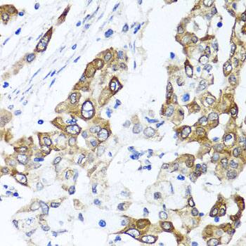
PPOX Antibody

Immunohistochemistry: PPOX Antibody [NBP3-38257] -

Immunohistochemistry: PPOX Antibody [NBP3-38257] - Immunohistochemistry analysis of paraffin-embedded Human colon carcinoma using PPOX Rabbit pAb at dilution of 1:100 (40x lens). Microwave antigen retrieval performed with 0.01M PBS Buffer (pH 7.2) prior to IHC staining.

Applications for PPOX Antibody - BSA Free

Application
Recommended Usage

Immunohistochemistry-Paraffin

1:50 - 1:200

Western Blot

1:500 - 1:2000

Formulation, Preparation, and Storage

Purification

Affinity purified

Formulation

PBS (pH 7.3), 50% glycerol

Format

BSA Free

Preservative

0.02% Sodium Azide

Concentration

Please see the vial label for concentration. If unlisted please contact technical services.

Shipping

The product is shipped with polar packs. Upon receipt, store it immediately at the temperature recommended below.

Stability & Storage

Store at -20C. Avoid freeze-thaw cycles.

Background: PPOX

PPOX encodes the penultimate enzyme of heme biosynthesis, which catalyzes the 6-electron oxidation of protoporphyrinogen IX to form protoporphyrin IX. Mutations in this gene cause variegate porphyria, an autosomal dominant disorder of heme metabolism resulting from a deficiency in protoporphyrinogen oxidase, an enzyme located on the inner mitochondrial membrane. Alternatively spliced transcript variants encoding the same protein have been identified.

Alternate Names

EC 1.3.3.4, MGC8485, PPOVP, protoporphyrinogen oxidase, V290M, variegate porphyria

Gene Symbol

PPOX

Additional PPOX Products

Product Documents for PPOX Antibody - BSA Free

Certificate of Analysis

To download a Certificate of Analysis, please enter a lot number in the search box below.

Product Specific Notices for PPOX Antibody - BSA Free

This product is for research use only and is not approved for use in humans or in clinical diagnosis. Primary Antibodies are guaranteed for 1 year from date of receipt.

Loading...
Loading...
Loading...
Loading...