Skip to main content

Podocin/NPHS2 Antibody - BSA Free

Novus Biologicals, part of Bio-Techne | Catalog # NBP3-18129

Novus Biologicals, part of Bio-Techne

Key Product Details

Species Reactivity

Human, Mouse

Applications

Immunohistochemistry, Immunohistochemistry-Paraffin, Western Blot, Immunocytochemistry/ Immunofluorescence

Label

Unconjugated

Antibody Source

Polyclonal Rabbit IgG

Format

BSA Free

Concentration

1.0 mg/ml

Product Specifications

Immunogen

Partial recombinant protein made to an internal portion of human Podocin/NPHS2 (between amino acids 250-400) [UniProt Q9NP85].

Clonality

Polyclonal

Host

Rabbit

Isotype

IgG

Description

Novus Biologicals Rabbit Podocin/NPHS2 Antibody - BSA Free (NBP3-18129) is a polyclonal antibody validated for use in IHC, WB and ICC/IF. Anti-Podocin/NPHS2 Antibody: Cited in 1 publication. All Novus Biologicals antibodies are covered by our 100% guarantee.

Scientific Data Images for Podocin/NPHS2 Antibody - BSA Free

Immunocytochemistry/ Immunofluorescence: Podocin/NPHS2 Antibody [NBP3-18129]

Immunocytochemistry/ Immunofluorescence: Podocin/NPHS2 Antibody [NBP3-18129]

Immunocytochemistry/Immunofluorescence: Podocin/NPHS2 Antibody [NBP3-18129] - RCC4 cells were fixed in 4% paraformaldehyde for 10 minutes and permeabilized in 0.05% Triton X-100 in PBS for 5 minutes. The cells were incubated with Podocin/NPHS2 Antibody (NBP3-18129) at 1ug/ml overnight at 4C and detected with an anti-rabbit DyLight 488 (Green) at a 1:1000 dilution for 60 minutes. Nuclei were counterstained with DAPI (Blue). Cells were imaged using a 40X objective.
Immunohistochemistry-Paraffin: Podocin/NPHS2 Antibody [NBP3-18129]

Immunohistochemistry-Paraffin: Podocin/NPHS2 Antibody [NBP3-18129]

Immunohistochemistry-Paraffin: Podocin/NPHS2 Antibody [NBP3-18129] - Analysis of a FFPE tissue section of mouse kidney using 1:200 dilution of Podocin/NPHS2 antibody (NBP3-18129). The staining was developed using HRP labeled anti-rabbit secondary antibody and DAB reagent, and nuclei of cells were counter-stained with hematoxylin.
Immunohistochemistry-Paraffin: Podocin/NPHS2 Antibody [NBP3-18129]

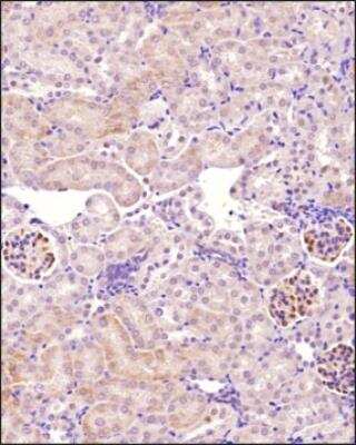
Immunohistochemistry-Paraffin: Podocin/NPHS2 Antibody [NBP3-18129]

Immunohistochemistry-Paraffin: Podocin/NPHS2 Antibody [NBP3-18129] - Analysis of a FFPE tissue section of human kidney using 1:200 dilution of Podocin/NPHS2 antibody (NBP3-18129). The staining was developed using HRP labeled anti-rabbit secondary antibody and DAB reagent, and nuclei of cells were counter-stained with hematoxylin.

Applications for Podocin/NPHS2 Antibody - BSA Free

Application
Recommended Usage

Immunocytochemistry/ Immunofluorescence

1 ug/ml

Immunohistochemistry

1:200

Immunohistochemistry-Paraffin

1:200

Western Blot

1 - 2 ug/ml

Formulation, Preparation, and Storage

Purification

Immunogen affinity purified

Formulation

PBS

Format

BSA Free

Preservative

0.02% Sodium Azide

Concentration

1.0 mg/ml

Stability & Storage

Store at 4C short term. Aliquot and store at -20C long term. Avoid freeze-thaw cycles.

Background: Podocin/NPHS2

NPHS2 is the glomerular protein podocin which plays a role in the regulation of glomerular permeability, and acts as a linker between the plasma membrane and the cytoskeleton. Defects in this gene are the cause of autosomal recessive steroid-resistant nephrotic syndrome (SRN). SRN is characterized by onset between three months and five years, resistance to steroid therapy and rapid progression to end-stage renal disease. This gene encodes the glomerular protein podocin which plays a role in the regulation of glomerular permeability, and acts as a linker between the plasma membrane and the cytoskeleton. Defects in this gene are the cause of autosomal recessive steroid-resistant nephrotic syndrome (SRN). SRN is characterized by onset between three months and five years, resistance to steroid therapy and rapid progression to end-stage renal disease. An alternative splice variant has been described but its full length sequence has not been determined. Publication Note: This RefSeq record includes a subset of the publications that are available for this gene. Please see the Entrez Gene record to access additional publications.

Alternate Names

Nephrosis 2, NPHS2, PDCN, SRN1

Gene Symbol

NPHS2

Additional Podocin/NPHS2 Products

Product Documents for Podocin/NPHS2 Antibody - BSA Free

Certificate of Analysis

To download a Certificate of Analysis, please enter a lot number in the search box below.

Product Specific Notices for Podocin/NPHS2 Antibody - BSA Free

This product is for research use only and is not approved for use in humans or in clinical diagnosis. Primary Antibodies are guaranteed for 1 year from date of receipt.

Loading...
Loading...
Loading...
Loading...