Skip to main content

PMS2 Antibody (OTI2G5)

Novus Biologicals, part of Bio-Techne | Catalog # NBP2-46459

Novus Biologicals, part of Bio-Techne

Key Product Details

Species Reactivity

Validated:

Human

Cited:

Human

Applications

Immunohistochemistry, Immunohistochemistry-Paraffin, Western Blot, Immunocytochemistry/ Immunofluorescence

Label

Unconjugated

Antibody Source

Monoclonal Mouse IgG2B Clone # OTI2G5

Concentration

1 mg/ml

Product Specifications

Immunogen

Full length human recombinant protein of human PMS2(NP_000526) produced in HEK293T cell.

Clonality

Monoclonal

Host

Mouse

Isotype

IgG2B

Theoretical MW

95.6 kDa.
Disclaimer note: The observed molecular weight of the protein may vary from the listed predicted molecular weight due to post translational modifications, post translation cleavages, relative charges, and other experimental factors.

Description

Novus Biologicals Mouse PMS2 Antibody (OTI2G5) (NBP2-46459) is a monoclonal antibody validated for use in IHC, WB and ICC/IF. Anti-PMS2 Antibody: Cited in 1 publication. All Novus Biologicals antibodies are covered by our 100% guarantee.

Scientific Data Images for PMS2 Antibody (OTI2G5)

Western Blot: PMS2 Antibody (OTI2G5) [NBP2-46459]

Western Blot: PMS2 Antibody (OTI2G5) [NBP2-46459]

Western Blot: PMS2 Antibody (OTI2G5) [NBP2-46459] - Analysis of HEK293T cells were transfected with the pCMV6-ENTRY control (Left lane) or pCMV6-ENTRY PMS2.
Immunohistochemistry: PMS2 Antibody (OTI2G5) [NBP2-46459]

Immunohistochemistry: PMS2 Antibody (OTI2G5) [NBP2-46459]

Immunohistochemistry: PMS2 Antibody (OTI2G5) [NBP2-46459] - Analysis of Carcinoma of Human pancreas tissue. (Heat-induced epitope retrieval by 10mM citric buffer, pH6.0, 120C for 3min)
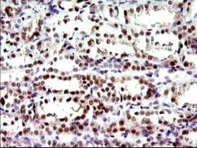
Immunohistochemistry: PMS2 Antibody (OTI2G5) [NBP2-46459]

Immunohistochemistry: PMS2 Antibody (OTI2G5) [NBP2-46459]

Immunohistochemistry: PMS2 Antibody (OTI2G5) [NBP2-46459] - Analysis of Adenocarcinoma of Human breast tissue. (Heat-induced epitope retrieval by 10mM citric buffer, pH6.0, 120C for 3min)

Applications for PMS2 Antibody (OTI2G5)

Application
Recommended Usage

Immunocytochemistry/ Immunofluorescence

1:100

Immunohistochemistry

1:150

Immunohistochemistry-Paraffin

1:150

Western Blot

1:500

Formulation, Preparation, and Storage

Purification

Immunogen affinity purified

Formulation

PBS (pH 7.3), 1.0% BSA and 50% Glycerol

Preservative

0.02% Sodium Azide

Concentration

1 mg/ml

Shipping

The product is shipped with polar packs. Upon receipt, store it immediately at the temperature recommended below.

Stability & Storage

Store at -20C. Avoid freeze-thaw cycles.

Background: PMS2

PMS2 is one of the PMS2 gene family members found in clusters on chromosome 7. The product of this gene is involved in DNA mismatch repair. It forms a heterodimer with MLH1 and this complex interacts with other complexes bound to mismatched bases. Mutations in this gene are associated with hereditary nonpolyposis colorectal cancer, Turcot syndrome, and are a cause of supratentorial primitive neuroectodermal tumors. Alternatively spliced transcript variants have been observed for this gene.

Alternate Names

DNA mismatch repair protein PMS2, EC 3.1, H_DJ0042M02.9, HNPCC4postmeiotic segregation increased (S. cerevisiae) 2, mismatch repair endonuclease PMS2, PMS1 protein homolog 2, PMS2 postmeiotic segregation increased 2 (S. cerevisiae), PMSL2PMS2CL

Gene Symbol

PMS2

Additional PMS2 Products

Product Documents for PMS2 Antibody (OTI2G5)

Certificate of Analysis

To download a Certificate of Analysis, please enter a lot number in the search box below.

Product Specific Notices for PMS2 Antibody (OTI2G5)

This product is for research use only and is not approved for use in humans or in clinical diagnosis. Primary Antibodies are guaranteed for 1 year from date of receipt.

Loading...
Loading...
Loading...
Loading...