Skip to main content

PITRM1 Antibody - BSA Free

Novus Biologicals, part of Bio-Techne | Catalog # NBP2-19843

Novus Biologicals, part of Bio-Techne
Catalog #
Availability
Size / Price
Qty
Loading...
NBP2-19843

Key Product Details

Species Reactivity

Human

Applications

Immunohistochemistry, Immunohistochemistry-Paraffin, Western Blot, Immunocytochemistry/ Immunofluorescence

Label

Unconjugated

Antibody Source

Polyclonal Rabbit IgG

Format

BSA Free

Concentration

Concentrations vary lot to lot. See vial label for concentration. If unlisted please contact technical services.

Product Specifications

Immunogen

Recombinant protein encompassing a sequence within the center region of human PITRM1. The exact sequence is proprietary.

Reactivity Notes

Immunogen displays the following percentage of sequence identity for non-tested species: Mouse (84%), Rat (81%).

Localization

Mitochondrion matrix

Clonality

Polyclonal

Host

Rabbit

Isotype

IgG

Theoretical MW

60 kDa.
Disclaimer note: The observed molecular weight of the protein may vary from the listed predicted molecular weight due to post translational modifications, post translation cleavages, relative charges, and other experimental factors.

Description

Novus Biologicals Rabbit PITRM1 Antibody - BSA Free (NBP2-19843) is a polyclonal antibody validated for use in IHC, WB and ICC/IF. All Novus Biologicals antibodies are covered by our 100% guarantee.

Scientific Data Images for PITRM1 Antibody - BSA Free

Western Blot: PITRM1 Antibody [NBP2-19843]

Western Blot: PITRM1 Antibody [NBP2-19843]

Western Blot: PITRM1 Antibody [NBP2-19843] - Sample (30 ug of whole cell lysate) A: A549 5% SDS PAGE gel, diluted at 1:1000.
Immunocytochemistry/ Immunofluorescence: PITRM1 Antibody [NBP2-19843]

Immunocytochemistry/ Immunofluorescence: PITRM1 Antibody [NBP2-19843]

Immunocytochemistry/Immunofluorescence: PITRM1 Antibody [NBP2-19843] - Immunofluorescence analysis of methanol-fixed HeLa, using antibody at 1:200 dilution.
PITRM1 Antibody

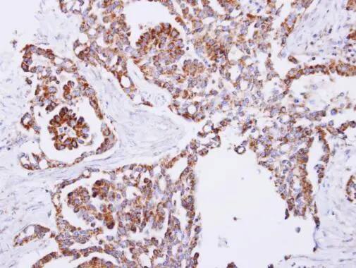
Immunohistochemistry: PITRM1 Antibody [NBP2-19843] -

Immunohistochemistry: PITRM1 Antibody [NBP2-19843] - PITRM1 antibody detects PITRM1 protein at cytosol on human breast carcinoma by immunohistochemical analysis.
Sample: PITRM1 antibody (NBP2-19843) dilution: 1:250.

Antigen Retrieval: Trilogy™ (EDTA based, pH 8.0) buffer, 15min

Applications for PITRM1 Antibody - BSA Free

Application
Recommended Usage

Immunocytochemistry/ Immunofluorescence

1:100-1:1000

Immunohistochemistry

10 - 1:500

Immunohistochemistry-Paraffin

1:100-1:1000

Western Blot

1:500-1:3000

Formulation, Preparation, and Storage

Purification

Antigen Affinity-purified

Formulation

0.1M Tris, 0.1M Glycine, 20% Glycerol

Format

BSA Free

Preservative

0.01% Thimerosal

Concentration

Concentrations vary lot to lot. See vial label for concentration. If unlisted please contact technical services.

Shipping

The product is shipped with polar packs. Upon receipt, store it immediately at the temperature recommended below.

Stability & Storage

Aliquot and store at -20C or -80C. Avoid freeze-thaw cycles.

Background: PITRM1

ATP-independent protease that degrades mitochondrial transit peptides after their cleavage. Also degrades other unstructured peptides. Specific for peptides in the range of 10 to 65 residues. Able to degrade amyloid beta A4 (APP) protein when it accumulates in mitochondrion, suggesting a link with Alzheimer disease. Shows a preference for cleavage after small polar residues and before basic residues, but without any positional preference

Alternate Names

EC 3.4.24, EC 3.4.24.-, hPreP, Metalloprotease 1, MGC138192, MGC141929, pitrilysin metallopeptidase 1, Pitrilysin metalloproteinase 1mitochondrial, PreP

Gene Symbol

PITRM1

Additional PITRM1 Products

Product Documents for PITRM1 Antibody - BSA Free

Certificate of Analysis

To download a Certificate of Analysis, please enter a lot number in the search box below.

Product Specific Notices for PITRM1 Antibody - BSA Free

This product is for research use only and is not approved for use in humans or in clinical diagnosis. Primary Antibodies are guaranteed for 1 year from date of receipt.

Loading...
Loading...
Loading...
Loading...

⚠ WARNING: This product can expose you to chemicals including mercury, which is known to the State of California to cause reproductive toxicity with developmental effects.  For more information go to www.P65Warnings.ca.gov.