Skip to main content

PITRM1 Antibody - BSA Free

Novus Biologicals, part of Bio-Techne | Catalog # NBP1-81728

Novus Biologicals, part of Bio-Techne
Catalog #
Availability
Size / Price
Qty
Loading...
NBP1-81728
NBP1-81728-25ul

Key Product Details

Validated by

Independent Antibodies

Species Reactivity

Human, Mouse, Rat

Applications

Immunohistochemistry, Immunohistochemistry-Paraffin, Western Blot

Label

Unconjugated

Antibody Source

Polyclonal Rabbit IgG

Format

BSA Free

Concentration

Concentrations vary lot to lot. See vial label for concentration. If unlisted please contact technical services.

Product Specifications

Immunogen

This antibody was developed against Recombinant Protein corresponding to amino acids: LEHTVLCGSQKYPCRDPFFKMLNRSLSTFMNAFTASDYTLYPFSTQNPKDFQNLLSVYLDATFFPCLRELDFWQEGWRLEHENPSDPQTPLVFKGVVFNEMKGAFTDNERIFSQHLQNRLLPDHTYSVVS

Clonality

Polyclonal

Host

Rabbit

Isotype

IgG

Description

Novus Biologicals Rabbit PITRM1 Antibody - BSA Free (NBP1-81728) is a polyclonal antibody validated for use in IHC and WB. All Novus Biologicals antibodies are covered by our 100% guarantee.

Scientific Data Images for PITRM1 Antibody - BSA Free

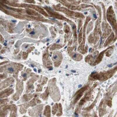
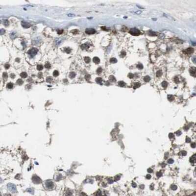
Immunohistochemistry-Paraffin: PITRM1 Antibody [NBP1-81728]

Immunohistochemistry-Paraffin: PITRM1 Antibody [NBP1-81728]

Immunohistochemistry-Paraffin: PITRM1 Antibody [NBP1-81728] - Staining of human cerebral cortex, colon, heart muscle and testis using Anti-PITRM1 antibody NBP1-81728 (A) shows similar protein distribution across tissues to independent antibody NBP1-81729 (B).
Western Blot: PITRM1 Antibody [NBP1-81728]

Western Blot: PITRM1 Antibody [NBP1-81728]

Western Blot: PITRM1 Antibody [NBP1-81728] - Analysis using Anti-PITRM1 antibody NBP1-81728 (A) shows similar pattern to independent antibody NBP1-81729 (B).
Immunohistochemistry-Paraffin: PITRM1 Antibody [NBP1-81728]

Immunohistochemistry-Paraffin: PITRM1 Antibody [NBP1-81728]

Immunohistochemistry-Paraffin: PITRM1 Antibody [NBP1-81728] - Staining of human heart muscle.

Applications for PITRM1 Antibody - BSA Free

Application
Recommended Usage

Immunohistochemistry

1:20 - 1:50

Immunohistochemistry-Paraffin

1:20 - 1:50

Western Blot

0.04-0.4 ug/ml
Application Notes
For IHC-Paraffin, HIER pH 6 retrieval is recommended.

Formulation, Preparation, and Storage

Purification

Immunogen affinity purified

Formulation

PBS (pH 7.2) and 40% Glycerol

Format

BSA Free

Preservative

0.02% Sodium Azide

Concentration

Concentrations vary lot to lot. See vial label for concentration. If unlisted please contact technical services.

Shipping

The product is shipped with polar packs. Upon receipt, store it immediately at the temperature recommended below.

Stability & Storage

Store at 4C short term. Aliquot and store at -20C long term. Avoid freeze-thaw cycles.

Background: PITRM1

ATP-independent protease that degrades mitochondrial transit peptides after their cleavage. Also degrades other unstructured peptides. Specific for peptides in the range of 10 to 65 residues. Able to degrade amyloid beta A4 (APP) protein when it accumulates in mitochondrion, suggesting a link with Alzheimer disease. Shows a preference for cleavage after small polar residues and before basic residues, but without any positional preference

Alternate Names

EC 3.4.24, EC 3.4.24.-, hPreP, Metalloprotease 1, MGC138192, MGC141929, pitrilysin metallopeptidase 1, Pitrilysin metalloproteinase 1mitochondrial, PreP

Gene Symbol

PITRM1

Additional PITRM1 Products

Product Documents for PITRM1 Antibody - BSA Free

Certificate of Analysis

To download a Certificate of Analysis, please enter a lot number in the search box below.

Product Specific Notices for PITRM1 Antibody - BSA Free

This product is for research use only and is not approved for use in humans or in clinical diagnosis. Primary Antibodies are guaranteed for 1 year from date of receipt.

Loading...
Loading...
Loading...
Loading...