Skip to main content

PGLYRP1/PGRP-S Antibody (188C424) - BSA Free

Novus Biologicals, part of Bio-Techne | Catalog # NB100-56719

Novus Biologicals, part of Bio-Techne
Catalog #
Availability
Size / Price
Qty
Loading...
NB100-56719
NB100-56719SS

Key Product Details

Species Reactivity

Validated:

Human, Mouse

Cited:

Human, Mouse

Applications

Validated:

Immunohistochemistry, Immunohistochemistry-Paraffin, Immunohistochemistry-Frozen, Western Blot, Flow Cytometry, Immunocytochemistry/ Immunofluorescence

Cited:

Flow (Cell Surface), Immunocytochemistry/ Immunofluorescence, Flow Cytometry Control

Label

Unconjugated

Antibody Source

Monoclonal Mouse IgG3 Kappa Clone # 188C424

Format

BSA Free

Concentration

1.0 mg/ml

Product Specifications

Immunogen

This antibody was developed against KLH-conjugated synthetic peptide corresponding to amino acids 165-180 (YVLKGHRDVQRTLSPG) of human PGRP-S (NP_005082).

Clonality

Monoclonal

Host

Mouse

Isotype

IgG3 Kappa

Theoretical MW

21.73 kDa.
Disclaimer note: The observed molecular weight of the protein may vary from the listed predicted molecular weight due to post translational modifications, post translation cleavages, relative charges, and other experimental factors.

Description

Novus Biologicals Mouse PGLYRP1/PGRP-S Antibody (188C424) - BSA Free (NB100-56719) is a monoclonal antibody validated for use in IHC, WB, Flow and ICC/IF. Anti-PGLYRP1/PGRP-S Antibody: Cited in 7 publications. All Novus Biologicals antibodies are covered by our 100% guarantee.

Scientific Data Images for PGLYRP1/PGRP-S Antibody (188C424) - BSA Free

Western Blot: PGLYRP1/PGRP-S Antibody (188C424)BSA Free [NB100-56719]

Western Blot: PGLYRP1/PGRP-S Antibody (188C424)BSA Free [NB100-56719]

Western Blot: PGLYRP1/PGRP-S Antibody (188C424) [NB100-56719] - Analysis using PGLYRP1/PGRP-S antibody. Lysate from human Jurkat cells probed with PGRP-S antibody at 2 ug/ml.
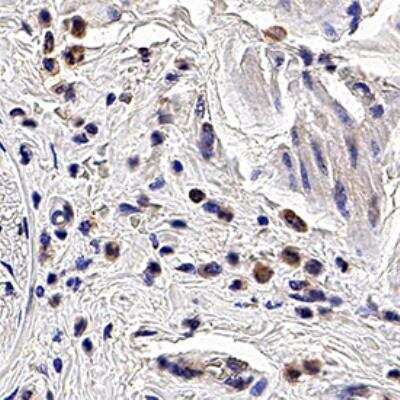
Immunohistochemistry-Paraffin: PGLYRP1/PGRP-S Antibody (188C424) - BSA Free [NB100-56719]

Immunohistochemistry-Paraffin: PGLYRP1/PGRP-S Antibody (188C424) - BSA Free [NB100-56719]

Immunohistochemistry-Paraffin: PGLYRP1/PGRP-S Antibody (188C424) [NB100-56719] - IHC analysis of formalin fixed paraffin-embedded (FFPE) human esophagus using PGLYRPI/PGRP-S antibody at 20 ug/ml on a Bond Rx autostainer (Leica Biosystems). The assay involved 20 minutes of heat induced antigen retrieval (HIER) using 10mM sodium citrate buffer (pH 6.0) and endogenous peroxidase quenching with peroxide block. The sections were incubated with primary antibody for 30 minutes and Bond Polymer Refine Detection (Leica Biosystems) with DAB was used for signal development followed by counterstaining with hematoxylin. Whole slide scanning and capturing of representative images was performed using Aperio AT2 (Leica Biosystems). Staining of peripheral leukocytes and neutrophils was observed. Staining was performed by Histowiz.

Applications for PGLYRP1/PGRP-S Antibody (188C424) - BSA Free

Application
Recommended Usage

Flow Cytometry

1:20-1:2000

Immunocytochemistry/ Immunofluorescence

1:20-1:1000. Use reported in scientific literature (Dukhanina et al (2009))

Immunohistochemistry

1:20-1:1000

Immunohistochemistry-Frozen

reported in scientific literature (Onkelen et al (2012))

Immunohistochemistry-Paraffin

1:20 - 1:1000

Western Blot

2 ug/ml
Application Notes
The observed molecular weight of the protein may vary from the listed predicted molecular weight due to post translational modifications, post translation cleavages, relative charges, and other experimental factors.

Formulation, Preparation, and Storage

Purification

Protein G purified

Formulation

PBS

Format

BSA Free

Preservative

0.05% Sodium Azide

Concentration

1.0 mg/ml

Shipping

The product is shipped with polar packs. Upon receipt, store it immediately at the temperature recommended below.

Stability & Storage

Store at 4C short term. Aliquot and store at -20C long term. Avoid freeze-thaw cycles.

Background: PGLYRP1/PGRP-S

The primary immune recognition is based on structures common among invading pathogens. Bacterial surface molecules, such as lipopolysaccharide (LPS) and peptidoglycan (PGN), are known to elicit immune reactions ranging from cytokine release to fever. Recently, a family of proteins called peptidoglycan recognition protein (PGRP) has been identified in mouse and human that binds to peptidoglycans expressed on Gram-positive bacteria. Peptidoglycan (PGN) is an essential cell wall component of virtually all bacteria and, thus, it is an excellent target for recognition by the eukaryotic innate immune system. The PGRPs (PGRP-L, PGRP-S, PGRP-Ia, and PGRP-Ib) define a new family of human pattern recognition molecules. PGRP-L is primarily expressed in the liver. Although liver is not considered a primary immune organ, liver participates in host defenses by producing acute phase proteins (by hepatocytes) in response to infections and by clearing microorganisms from blood. PGRP-S is present in neutrophils and inhibits growth of Gram-positive bacteria and, therefore, may function as a neutrophil antibacterial protein. However, PGRP-S may have another, as yet unidentified function because in humans it is expressed in the bone marrow 50-100 times higher than in neutrophils.

Long Name

Peptidoglycan Recognition Protein Short/Peptidoglycan Recognition Protein 1

Alternate Names

PGRP-S, PGRPS, TAG7, TNFSF3L

Entrez Gene IDs

8993 (Human); 21946 (Mouse)

Gene Symbol

PGLYRP1

UniProt

Additional PGLYRP1/PGRP-S Products

Product Documents for PGLYRP1/PGRP-S Antibody (188C424) - BSA Free

Certificate of Analysis

To download a Certificate of Analysis, please enter a lot number in the search box below.

Product Specific Notices for PGLYRP1/PGRP-S Antibody (188C424) - BSA Free

This product is for research use only and is not approved for use in humans or in clinical diagnosis. Primary Antibodies are guaranteed for 1 year from date of receipt.

Loading...
Loading...
Loading...
Loading...
Loading...