Skip to main content

PGAM5 Antibody (CL0624) - Azide and BSA Free

Novus Biologicals, part of Bio-Techne | Catalog # NBP3-44002

Novus Biologicals, part of Bio-Techne

Key Product Details

Validated by

Knockout/Knockdown

Species Reactivity

Human

Applications

Immunohistochemistry-Paraffin, Western Blot

Label

Unconjugated

Antibody Source

Monoclonal Mouse IgG1 Clone # CL0624

Format

Azide and BSA Free

Concentration

LYOPH mg/ml

Product Specifications

Immunogen

This antibody was generated using a recombinant protein sequence of Q96HS1, with the exact immunogen sequence remaining proprietary.

Clonality

Monoclonal

Host

Mouse

Isotype

IgG1

Description

Novus Biologicals Mouse PGAM5 Antibody (CL0624) - Azide and BSA Free (NBP2-52947) is a monoclonal antibody validated for use in IHC and WB. All Novus Biologicals antibodies are covered by our 100% guarantee.

Scientific Data Images for PGAM5 Antibody (CL0624) - Azide and BSA Free

PGAM5 Antibody (CL0624) - Azide and BSA Free Immunohistochemistry-Paraffin: PGAM5 Antibody [NBP3-44002]

Immunohistochemistry-Paraffin: PGAM5 Antibody [NBP3-44002]

Staining of human kidney shows strong granular cytoplasmic positivity in cells in tubules.
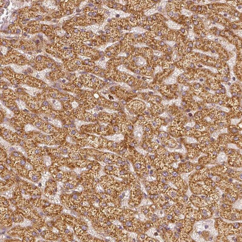
PGAM5 Antibody (CL0624) - Azide and BSA Free Immunohistochemistry-Paraffin: PGAM5 Antibody [NBP3-44002]

Immunohistochemistry-Paraffin: PGAM5 Antibody [NBP3-44002]

Staining of human liver shows strong granular cytoplasmic positivity in hepatocytes.
PGAM5 Antibody (CL0624) - Azide and BSA Free Immunohistochemistry-Paraffin: PGAM5 Antibody [NBP3-44002]

Immunohistochemistry-Paraffin: PGAM5 Antibody [NBP3-44002]

Staining of human tonsil shows strong granular cytoplasmic positivity in germinal center cells.

Applications for PGAM5 Antibody (CL0624) - Azide and BSA Free

Application
Recommended Usage

Immunohistochemistry-Paraffin

1:200 - 1:500

Western Blot

1 ug/ml
Application Notes
For IHC-Paraffin, HIER pH 6 retrieval is recommended.

Formulation, Preparation, and Storage

Purification

Protein A purified

Reconstitution

Centrifuge the vial of lyophilized antibody at 12,000 x g for 20 seconds. Reconstitute by adding sterile, distilled water to achieve a final antibody concentration of 1mg/ml.

Formulation

Lyophilized from a 0.2 um filtered solution in PBS with Trehalose

Format

Azide and BSA Free

Preservative

No Preservative

Concentration

LYOPH mg/ml

Shipping

The product is shipped at ambient temperature. Upon receipt, store it immediately at the temperature recommended below.

Stability & Storage

Store at 4C short term. Aliquot and store at -20C long term. Avoid freeze-thaw cycles.

Background: PGAM5

Displays phosphatase activity for serine/threonine residues, and, dephosphorylates and activates MAP3K5kinase. Has apparently no phosphoglycerate mutase activity. May be regulator of mitochondrial dynamics. Substrate fora Keap1-dependent ubiquitin ligase complex. Contributes to the repression of NFE2L2-dependent gene expression

Alternate Names

Bcl-XL-binding protein v68, BXLBv68, EC 3.1.3.16, MGC5352, phosphoglycerate mutase family member 5BXLBV68, serine/threonine-protein phosphatase PGAM5, mitochondrial

Gene Symbol

PGAM5

Additional PGAM5 Products

Product Documents for PGAM5 Antibody (CL0624) - Azide and BSA Free

Certificate of Analysis

To download a Certificate of Analysis, please enter a lot number in the search box below.

Product Specific Notices for PGAM5 Antibody (CL0624) - Azide and BSA Free

This product is for research use only and is not approved for use in humans or in clinical diagnosis. Primary Antibodies are guaranteed for 1 year from date of receipt.

Loading...
Loading...
Loading...
Loading...
Loading...