Skip to main content

PERK [p Thr982] Antibody (0A1E6)

Novus Biologicals, part of Bio-Techne | Catalog # NBP3-33575

Novus Biologicals, part of Bio-Techne
Catalog #
Availability
Size / Price
Qty
Loading...
NBP3-33575-100ul
NBP3-33575-20ul

Key Product Details

Species Reactivity

Human, Mouse, Rat

Applications

Immunohistochemistry, Immunohistochemistry-Paraffin, ELISA

Label

Unconjugated

Antibody Source

Monoclonal Rabbit IgG Clone # 0A1E6

Concentration

Please see the vial label for concentration. If unlisted please contact technical services.

Product Specifications

Immunogen

A synthetic phosphorylated peptide around T982 of human PERK.

Modification

p Thr982

Clonality

Monoclonal

Host

Rabbit

Isotype

IgG

Theoretical MW

125 kDa.
Disclaimer note: The observed molecular weight of the protein may vary from the listed predicted molecular weight due to post translational modifications, post translation cleavages, relative charges, and other experimental factors.

Scientific Data Images for PERK [p Thr982] Antibody (0A1E6)

PERK [p Thr982] Antibody (0A1E6)

Immunohistochemistry: PERK [p Thr982] Antibody (0A1E6) [NBP3-33575] -

Immunohistochemistry: PERK [p Thr982] Antibody (0A1E6) [NBP3-33575] - Immunohistochemistry analysis of paraffin-embedded Mouse kidney using PERK Rabbit mAb at dilution of 1:200 (40x lens). High pressure antigen retrieval performed with 0.01M Citrate Bufferr (pH 6.0) prior to IHC staining.
PERK [p Thr982] Antibody (0A1E6)

Immunohistochemistry: PERK [p Thr982] Antibody (0A1E6) [NBP3-33575] -

Immunohistochemistry: PERK [p Thr982] Antibody (0A1E6) [NBP3-33575] - Immunohistochemistry analysis of paraffin-embedded Human tonsil using PERK Rabbit mAb at dilution of 1:200 (40x lens). High pressure antigen retrieval performed with 0.01M Citrate Bufferr (pH 6.0) prior to IHC staining.
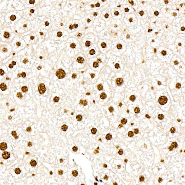
PERK [p Thr982] Antibody (0A1E6)

Immunohistochemistry: PERK [p Thr982] Antibody (0A1E6) [NBP3-33575] -

Immunohistochemistry: PERK [p Thr982] Antibody (0A1E6) [NBP3-33575] - Immunohistochemistry analysis of paraffin-embedded Mouse liver using PERK Rabbit mAb at dilution of 1:200 (40x lens). High pressure antigen retrieval performed with 0.01M Citrate Bufferr (pH 6.0) prior to IHC staining.

Applications for PERK [p Thr982] Antibody (0A1E6)

Application
Recommended Usage

ELISA

Recommended starting concentration is 1 ug/mL

Immunohistochemistry-Paraffin

1:50 - 1:200

Formulation, Preparation, and Storage

Purification

Affinity purified

Formulation

PBS (pH 7.3), 50% glycerol, 0.05% BSA

Preservative

0.05% Proclin 300

Concentration

Please see the vial label for concentration. If unlisted please contact technical services.

Shipping

The product is shipped with polar packs. Upon receipt, store it immediately at the temperature recommended below.

Stability & Storage

Store at -20C. Avoid freeze-thaw cycles.

Background: PERK

The activation of signal transduction pathways by growth factors, hormones and neurotransmitters is mediated through two closely related MAP kinases, p44 and p42, designated extracellular-signal related kinase 1 (ERK 1) and ERK 2, respectively. ERK proteins are regulated by dual phosphorylation at Tyrosine 204 and 187 and Threonine 177 and 160 residues mapping within a characteristic Thr-Glu-Tyr motif. Phosphorylation at both the Threonine 202 and Tyrosine 204 residues of ERK 1 and Threonine 185 and Tyrosine 187 residues of ERK 2 is required for full enzymatic activation. The structural consequences of dual phosphorylation in ERK 2 include active site closure, alignment of key catalytic residues that interact with ATP, and remodeling of the activation loop. In response to activation, MAP kinases phosphorylate downstream components on serine and threonine. Upstream MAP kinase regulators include MAP kinase kinase (MEK), MEK kinase and Raf-1. The ERK family has three additional members: ERK 3, ERK 5 and ERK 6.

Long Name

Eukaryotic Translation Initiation Factor 4B

Alternate Names

EIF2AK3, PEK, WRS

Gene Symbol

EIF2AK3

Additional PERK Products

Product Documents for PERK [p Thr982] Antibody (0A1E6)

Certificate of Analysis

To download a Certificate of Analysis, please enter a lot number in the search box below.

Product Specific Notices for PERK [p Thr982] Antibody (0A1E6)

This product is for research use only and is not approved for use in humans or in clinical diagnosis. Primary Antibodies are guaranteed for 1 year from date of receipt.

Loading...
Loading...
Loading...
Loading...