Skip to main content

Perilipin Antibody - BSA Free

Novus Biologicals, part of Bio-Techne | Catalog # NB110-40760

Novus Biologicals, part of Bio-Techne

Key Product Details

Species Reactivity

Validated:

Human, Mouse, Rat, Porcine, Fish

Cited:

Human, Mouse, Rat

Predicted:

Bovine (92%), Sheep (92%). Backed by our 100% Guarantee.

Applications

Validated:

Immunohistochemistry, Immunohistochemistry-Paraffin, Western Blot, Flow Cytometry, Immunocytochemistry/ Immunofluorescence, Imaging Mass Cytometry

Cited:

Immunohistochemistry, Immunohistochemistry-Paraffin, Western Blot, Immunocytochemistry/ Immunofluorescence, IF/IHC

Label

Unconjugated

Antibody Source

Polyclonal Rabbit IgG

Format

BSA Free

Concentration

1.0 mg/ml

Product Specifications

Immunogen

This Perilipin Antibody was developed against a synthetic peptide made to a region between residues 450-522 (C-terminus) of the human Perilipin protein. [Swiss-Prot# O60240]

Reactivity Notes

Fish reactivity reported in scientific literature (PMID: 27012897).

Localization

Endoplasmic reticulum, Lipid droplet (surface-associated).

Clonality

Polyclonal

Host

Rabbit

Isotype

IgG

Theoretical MW

60 kDa.
Disclaimer note: The observed molecular weight of the protein may vary from the listed predicted molecular weight due to post translational modifications, post translation cleavages, relative charges, and other experimental factors.

Description

Novus Biologicals Rabbit Perilipin Antibody - BSA Free (NB110-40760) is a polyclonal antibody validated for use in IHC, WB, Flow and ICC/IF. Anti-Perilipin Antibody: Cited in 16 publications. All Novus Biologicals antibodies are covered by our 100% guarantee.

Scientific Data Images for Perilipin Antibody - BSA Free

Western Blot: Perilipin Antibody [NB110-40760]

Western Blot: Perilipin Antibody [NB110-40760]

Western Blot: Perilipin Antibody [NB110-40760] - Total protein from Human breast (lane 1), Human adipose membrane fraction (lane 2) and Human adipose tissue (lane 3) were separated on a 12% gel by SDS-PAGE. Protein was transferred to PVDF membrane, probed with 2 ug/mL anti-perilipin antibody followed by anti-rabbit HRP conjugated secondary antibody and detected with chemiluminescence.
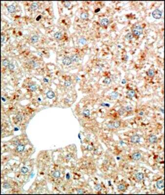
Immunohistochemistry-Paraffin: Perilipin Antibody [NB110-40760]

Immunohistochemistry-Paraffin: Perilipin Antibody [NB110-40760]

Immunohistochemistry-Paraffin: Perilipin Antibody [NB110-40760] - IHC analysis of formalin fixed paraffin embedded section of liver tissue from mouse with Perilipin antibody at 1:200 dilution. The hepatocytes developed specific staining in the cytoplasm and around the nuclei of some cells, the immunostaining reflected a punctate appearance which is potentially the ER of the cells.
Flow Cytometry: Perilipin Antibody [NB110-40760]

Flow Cytometry: Perilipin Antibody [NB110-40760]

Flow Cytometry: Perilipin Antibody [NB110-40760] - An intracellular stain was performed on U2OS cells with Perilipin Antibody NB110-40760AF488 (blue) and a matched isotype control (orange). Cells were fixed with 4% PFA and then permeabilized with 0.1% saponin. Cells were incubated in an antibody dilution of 5 ug/mL for 30 minutes at room temperature. Both antibodies were conjugated to Alexa Fluor 488.

Applications for Perilipin Antibody - BSA Free

Application
Recommended Usage

Flow Cytometry

5 - 10 ug/mL

Immunocytochemistry/ Immunofluorescence

reported in scientific literature

Immunohistochemistry

1:200

Immunohistochemistry-Paraffin

1:200

Western Blot

2 ug/mL
Application Notes
This Perilipin antibody is useful for Western blot anlaysis where a band at ~60 kDa is seen. This Perilipin Antibody is validated for Imaging Mass Cytometry from a verified customer review.

Reviewed Applications

Read 1 review rated 5 using NB110-40760 in the following applications:

Formulation, Preparation, and Storage

Purification

Immunogen affinity purified

Formulation

PBS

Format

BSA Free

Preservative

0.02% Sodium Azide

Concentration

1.0 mg/ml

Shipping

The product is shipped with polar packs. Upon receipt, store it immediately at the temperature recommended below.

Stability & Storage

Store at 4C short term. Aliquot and store at -20C long term. Avoid freeze-thaw cycles.

Background: Perilipin

Perilipin is a member of the perilipin or PAT family which includes perilipin or perilipin 1 (PLIN1), ADRP/perilipin 2, TIP47/perilipin 3, S3-12/perilipin 4, and LSDP5/perilipin 5 (also called OXPAT). PLIN1 is localized on lipid droplet surfaces in adipocytes and steroidogenic cells wherein it plays a key role in basal/stimulated lipid storage as well as breakdown. Under basal conditions, perilipin protects the lipid core from lipases (e.g. hormone-sensitive lipase and adipocyte TAG lipase) and co-activator CGI-58 by sequestering the enzymes from the lipid droplet surfaces. However, upon beta-adrenergic stimulation, PKA phosphorylates PLIN1 and causes the release of CGI-58 so it can bind and stimulate ATGL and also allows/recruits HSL to translocate to the lipid droplet surface. PLIN1 knockout increases basal lipolysis and decreases LD size in adipocytes and causes resistance to diet induced obesity in mice. In humans, lower PLIN1 expression is associated with higher rates of lipolysis and mutation in PLIN1 or its expression in obese human adipose tissue, correlates positively with insulin sensitivity, and have been established as the cause of familial partial lipodystrophy type 4 (FPLD4).

Alternate Names

PERI, PLIN, PLIN1

Gene Symbol

PLIN1

Additional Perilipin Products

Product Documents for Perilipin Antibody - BSA Free

Certificate of Analysis

To download a Certificate of Analysis, please enter a lot number in the search box below.

Product Specific Notices for Perilipin Antibody - BSA Free

This product is for research use only and is not approved for use in humans or in clinical diagnosis. Primary Antibodies are guaranteed for 1 year from date of receipt.

Loading...
Loading...
Loading...
Loading...
Loading...