Skip to main content

Pericentrin Antibody - BSA Free

Novus Biologicals, part of Bio-Techne | Catalog # NBP1-87772

Novus Biologicals, part of Bio-Techne
Catalog #
Availability
Size / Price
Qty
Loading...
NBP1-87772
NBP1-87772-25ul

Key Product Details

Validated by

Orthogonal Validation, Independent Antibodies

Species Reactivity

Validated:

Human, Mouse

Cited:

Human

Applications

Validated:

Immunohistochemistry, Immunohistochemistry-Paraffin, Immunocytochemistry/ Immunofluorescence

Cited:

Immunocytochemistry/ Immunofluorescence

Label

Unconjugated

Antibody Source

Polyclonal Rabbit IgG

Format

BSA Free

Concentration

Concentrations vary lot to lot. See vial label for concentration. If unlisted please contact technical services.

Product Specifications

Immunogen

This antibody was developed against Recombinant Protein corresponding to amino acids: MEDLQNQFQKELAEQRAELEKIFQDKNQAERALRNLESHHQAAIEKLREDLQSEHGRCLEDLEFKFKESEKEKQLELENLQASYEDLKAQSQEEIRRLWSQLDSARTSRQELSELHEQLLARTSRVEDLEQLKQREKTQHESELE

Reactivity Notes

Mouse reactivity reported from a verified customer review.

Marker

Centrosome Marker

Clonality

Polyclonal

Host

Rabbit

Isotype

IgG

Description

Novus Biologicals Rabbit Pericentrin Antibody - BSA Free (NBP1-87772) is a polyclonal antibody validated for use in IHC and ICC/IF. Anti-Pericentrin Antibody: Cited in 3 publications. All Novus Biologicals antibodies are covered by our 100% guarantee.

Scientific Data Images for Pericentrin Antibody - BSA Free

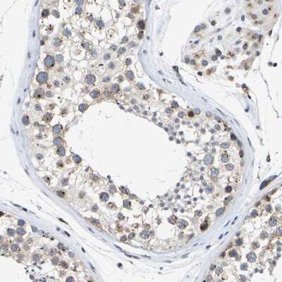
Immunohistochemistry-Paraffin: Pericentrin Antibody [NBP1-87772]

Immunohistochemistry-Paraffin: Pericentrin Antibody [NBP1-87772]

Immunohistochemistry-Paraffin: Pericentrin Antibody [NBP1-87772] - Staining of human cerebral cortex, liver, placenta and testis using Anti-Pericentrin antibody NBP1-87772 (A) shows similar protein distribution across tissues to independent antibody NBP1-87771 (B).
Immunocytochemistry/ Immunofluorescence: Pericentrin Antibody [NBP1-87772]

Immunocytochemistry/ Immunofluorescence: Pericentrin Antibody [NBP1-87772]

Immunocytochemistry/Immunofluorescence: Pericentrin Antibody [NBP1-87772] - Smear of -20C methanol-fixed mouse small intestinal epithelial cells stained for ZO-1 (red) and pericentrin (green). ICC/IF image submitted by a verified customer review.
Immunohistochemistry-Paraffin: Pericentrin Antibody [NBP1-87772]

Immunohistochemistry-Paraffin: Pericentrin Antibody [NBP1-87772]

Immunohistochemistry-Paraffin: Pericentrin Antibody [NBP1-87772] - Staining of human liver shows no positivity in hepatocytes as expected.

Applications for Pericentrin Antibody - BSA Free

Application
Recommended Usage

Immunocytochemistry/ Immunofluorescence

0.25 - 2 ug/mL

Immunohistochemistry

1:200 - 1:500

Immunohistochemistry-Paraffin

1:200 - 1:500
Application Notes
For IHC-Paraffin, HIER pH 6 retrieval is recommended. ICC/IF Fixation Permeabilization: Use PFA/Triton X-100.

Reviewed Applications

Read 1 review rated 5 using NBP1-87772 in the following applications:

Formulation, Preparation, and Storage

Purification

Immunogen affinity purified

Formulation

PBS (pH 7.2) and 40% Glycerol

Format

BSA Free

Preservative

0.02% Sodium Azide

Concentration

Concentrations vary lot to lot. See vial label for concentration. If unlisted please contact technical services.

Shipping

The product is shipped with polar packs. Upon receipt, store it immediately at the temperature recommended below.

Stability & Storage

Store at 4C short term. Aliquot and store at -20C long term. Avoid freeze-thaw cycles.

Background: Pericentrin

Pericentrin is encoded by this gene binds to calmodulin and is expressed in the centrosome. It is an integral component of the pericentriolar material (PCM). The protein contains a series of coiled-coil domains and a highly conserved PCM targeting motif called the PACT domain near its C-terminus. The protein interacts with the microtubule nucleation component gamma-tubulin and is likely important to normal functioning of the centrosomes, cytoskeleton, and cell-cycle progression.

Alternate Names

Kendrin, KIAA0402, MOPD2, PCN, PCNT2pericentrin B, PCNTB, pericentrin, pericentrin 2 (kendrin), pericentrin, kendrin (KIAA0402)10KENPCTN2, pericentrin-2, pericentrin-380, Pericentrin-B, SCKL4kendrin

Gene Symbol

PCNT

Additional Pericentrin Products

Product Documents for Pericentrin Antibody - BSA Free

Certificate of Analysis

To download a Certificate of Analysis, please enter a lot number in the search box below.

Product Specific Notices for Pericentrin Antibody - BSA Free

This product is for research use only and is not approved for use in humans or in clinical diagnosis. Primary Antibodies are guaranteed for 1 year from date of receipt.

Loading...
Loading...
Loading...
Loading...