Skip to main content

Perforin Antibody (PRF1/8662R)

Novus Biologicals, part of Bio-Techne | Catalog # NBP3-20315

Recombinant Monoclonal Antibody
Novus Biologicals, part of Bio-Techne
Catalog #
Availability
Size / Price
Qty
Loading...
NBP3-20315-100ug
NBP3-20315-20ug

Key Product Details

Species Reactivity

Human

Applications

Immunohistochemistry-Paraffin

Label

Unconjugated

Antibody Source

Recombinant Monoclonal Rabbit IgG Kappa Clone # PRF1/8662R

Concentration

0.2 mg/ml

Product Specifications

Immunogen

Recombinant human Perforin protein fragment (around aa 413-552) (exact sequence is proprietary)

Localization

Cytoplasm.

Clonality

Monoclonal

Host

Rabbit

Isotype

IgG Kappa

Description

Positive Controls: HDLM-2 cells. Human spleen.

Antibody with azide - store at 2 to 8C. Antibody without azide - store at -20 to -80C. Non-hazardous. No MSDS required.

Scientific Data Images for Perforin Antibody (PRF1/8662R)

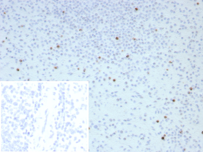
Perforin Antibody (PRF1/8662R)

Perforin Antibody (PRF1/8662R)

Formalin-fixed, paraffin-embedded human spleen stained with Perforin antibody (PRF1/8662R). Inset: PBS instead of primary antibody; secondary only negative control.

Applications for Perforin Antibody (PRF1/8662R)

Application
Recommended Usage

Immunohistochemistry-Paraffin

1-2 ug/ml
Application Notes
Immunohistochemistry (Formalin-fixed): 1-2ug/ml for 30 minutes. at RT. Staining of formalin-fixed tissues requires heating tissue sections in 10mM Tris with 1mM EDTA, pH 9.0, for 45 min at 95C followed by cooling at RT for 20 minutes.

Optimal dilution for a specific application should be determined.

Formulation, Preparation, and Storage

Purification

Protein A or G purified

Formulation

10mM PBS with 0.05% BSA

Preservative

0.05% Sodium Azide

Concentration

0.2 mg/ml

Shipping

The product is shipped with polar packs. Upon receipt, store it immediately at the temperature recommended below.

Stability & Storage

Store at 4C. Do not freeze.

Background: Perforin

Perforin (PRF1) is a 70 kD cytolytic protein that is the major protein constituent of cytoplasmic granules of cytotoxic T lymphocytes (CTLs) and natural killer (NK) cells. Specifically, perforin enters the target cell's plasma membrand and creates a intercellular pore to mediate targeted cell lysis. PRF1 antibodies are useful tools for lysis research on both CTLs and NK cells.

Long Name

Perforin 1 (Pore Forming Protein)

Alternate Names

Cytolysin, FLH2, HPLH2, P1, PFP, PRF1

Gene Symbol

PRF1

UniProt

Additional Perforin Products

Product Documents for Perforin Antibody (PRF1/8662R)

Certificate of Analysis

To download a Certificate of Analysis, please enter a lot number in the search box below.

Product Specific Notices for Perforin Antibody (PRF1/8662R)

This product is for research use only and is not approved for use in humans or in clinical diagnosis. Primary Antibodies are guaranteed for 1 year from date of receipt.

Loading...
Loading...
Loading...
Loading...