Skip to main content

Pentraxin 2/SAP Antibody - BSA Free

Novus Biologicals, part of Bio-Techne | Catalog # NBP2-31392

Novus Biologicals, part of Bio-Techne
Catalog #
Availability
Size / Price
Qty
Loading...
NBP2-31392

Key Product Details

Species Reactivity

Human

Applications

Immunohistochemistry, Immunohistochemistry-Paraffin, Western Blot

Label

Unconjugated

Antibody Source

Polyclonal Rabbit IgG

Format

BSA Free

Concentration

Concentrations vary lot to lot. See vial label for concentration. If unlisted please contact technical services.

Product Specifications

Immunogen

This antibody was developed against a recombinant protein corresponding to amino acids: QEQDSYGGKFDRSQSFVGEIGDLYMWDSVLPPENILSAYQGTPLPANILDWQALNYEIRGYVIIKPLVWV

Clonality

Polyclonal

Host

Rabbit

Isotype

IgG

Description

Novus Biologicals Rabbit Pentraxin 2/SAP Antibody - BSA Free (NBP2-31392) is a polyclonal antibody validated for use in IHC and WB. All Novus Biologicals antibodies are covered by our 100% guarantee.

Scientific Data Images for Pentraxin 2/SAP Antibody - BSA Free

Western Blot: Pentraxin 2/SAP Antibody [NBP2-31392]

Western Blot: Pentraxin 2/SAP Antibody [NBP2-31392]

Western Blot: Serum Amyloid P Antibody [NBP2-31392] - Lane 1: Marker [kDa] 250, 130, 95, 72, 55, 36, 28, 17, 10. Lane 2: Human cell line RT-4. Lane 3: Human cell line U-251MG sp. Lane 4: Human plasma (IgG/HSA depleted). Lane 5: Human liver tissue. Lane 6: Human tonsil tissue
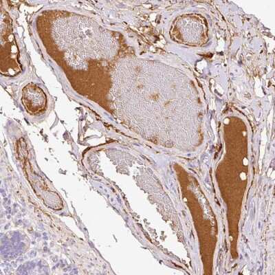
Immunohistochemistry: Pentraxin 2/SAP Antibody [NBP2-31392]

Immunohistochemistry: Pentraxin 2/SAP Antibody [NBP2-31392]

Immunohistochemistry: Serum Amyloid P Antibody [NBP2-31392] - Staining of human duodenum shows positivity in plasma.

Applications for Pentraxin 2/SAP Antibody - BSA Free

Application
Recommended Usage

Immunohistochemistry

1:500 - 1:1000

Immunohistochemistry-Paraffin

1:500 - 1:1000

Western Blot

0.04-0.4 ug/ml
Application Notes
For IHC-Paraffin, HIER pH 6 retrieval is recommended.

Formulation, Preparation, and Storage

Purification

Affinity purified

Formulation

PBS (pH 7.2) and 40% Glycerol

Format

BSA Free

Preservative

0.02% Sodium Azide

Concentration

Concentrations vary lot to lot. See vial label for concentration. If unlisted please contact technical services.

Shipping

The product is shipped with polar packs. Upon receipt, store it immediately at the temperature recommended below.

Stability & Storage

Store at 4C short term. Aliquot and store at -20C long term. Avoid freeze-thaw cycles.

Background: Pentraxin 2/SAP

Serum Amyloid P (SAP) is a non-fibrillar plasma glycoprotein that belongs to the pentraxin family. It is universally found in amyloid deposits and this is probably due to its specific calcium-dependent binding to motifs present on all types of amyloid fibrils. SAP is also found to prevent fibrillar breakdown by enzymes and it is believed that it helps maintains stability of the amyloid deposits (1,2). It has been shown that SAP binds monocytes with high avidity, but does not bind to erythrocytes, NK cells, T lymphocytes or B lymphocytes (3). SAP production can be induced by exposure to IL-1, IL-6 and IFN-beta. The SAP-inducing activity was neutralized by antibodies to each of the recombinant cytokines (4).

Long Name

Serum Amyloid P Component

Alternate Names

APCS, PTX2, SAP

Gene Symbol

APCS

UniProt

Additional Pentraxin 2/SAP Products

Product Documents for Pentraxin 2/SAP Antibody - BSA Free

Certificate of Analysis

To download a Certificate of Analysis, please enter a lot number in the search box below.

Product Specific Notices for Pentraxin 2/SAP Antibody - BSA Free

This product is for research use only and is not approved for use in humans or in clinical diagnosis. Primary Antibodies are guaranteed for 1 year from date of receipt.

Loading...
Loading...
Loading...
Loading...