Skip to main content

PD-L2/B7-DC/PDCD1LG2 Antibody (OTI7B10)

Novus Biologicals, part of Bio-Techne | Catalog # NBP2-46347

Novus Biologicals, part of Bio-Techne

Key Product Details

Species Reactivity

Human

Applications

Immunohistochemistry, Immunohistochemistry-Paraffin, Western Blot, Flow Cytometry

Label

Unconjugated

Antibody Source

Monoclonal Mouse IgG1 Clone # OTI7B10

Concentration

1 mg/ml

Product Specifications

Immunogen

Full length human recombinant protein of human PDCD1LG2 (NP_079515) produced in HEK293T cell.

Clonality

Monoclonal

Host

Mouse

Isotype

IgG1

Theoretical MW

30.8 kDa.
Disclaimer note: The observed molecular weight of the protein may vary from the listed predicted molecular weight due to post translational modifications, post translation cleavages, relative charges, and other experimental factors.

Description

Novus Biologicals Mouse PD-L2/B7-DC/PDCD1LG2 Antibody (OTI7B10) (NBP2-46347) is a monoclonal antibody validated for use in IHC, WB and Flow. All Novus Biologicals antibodies are covered by our 100% guarantee.

Scientific Data Images for PD-L2/B7-DC/PDCD1LG2 Antibody (OTI7B10)

Western Blot: PD-L2/B7-DC/PDCD1LG2 Antibody (OTI7B10) [NBP2-46347]

Western Blot: PD-L2/B7-DC/PDCD1LG2 Antibody (OTI7B10) [NBP2-46347]

Western Blot: PD-L2/B7-DC/PDCD1LG2 Antibody (OTI7B10) [NBP2-46347] - Analysis of HEK293T cells were transfected with the pCMV6-ENTRY control (Left lane) or pCMV6-ENTRY PDCD1LG2.
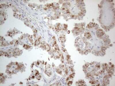
Immunohistochemistry: PD-L2/B7-DC/PDCD1LG2 Antibody (OTI7B10) [NBP2-46347]

Immunohistochemistry: PD-L2/B7-DC/PDCD1LG2 Antibody (OTI7B10) [NBP2-46347]

Immunohistochemistry: PD-L2/B7-DC/PDCD1LG2 Antibody (OTI7B10) [NBP2-46347] - Analysis of Carcinoma of Human liver tissue(Heat-induced epitope retrieval by 1mM EDTA in 10mM Tris buffer (pH8.5) at 120C for 3 min)
Flow Cytometry: PD-L2/B7-DC/PDCD1LG2 Antibody (OTI7B10) [NBP2-46347]

Flow Cytometry: PD-L2/B7-DC/PDCD1LG2 Antibody (OTI7B10) [NBP2-46347]

Flow Cytometry: PD-L2/B7-DC/PDCD1LG2 Antibody (OTI7B10) [NBP2-46347] - analysis of living 293T cells transfected with PDL2 overexpression plasmid .

Applications for PD-L2/B7-DC/PDCD1LG2 Antibody (OTI7B10)

Application
Recommended Usage

Immunohistochemistry

1:150

Immunohistochemistry-Paraffin

1:150

Western Blot

1:2000

Formulation, Preparation, and Storage

Purification

Immunogen affinity purified

Formulation

PBS (pH 7.3), 1.0% BSA and 50% Glycerol

Preservative

0.02% Sodium Azide

Concentration

1 mg/ml

Shipping

The product is shipped with polar packs. Upon receipt, store it immediately at the temperature recommended below.

Stability & Storage

Store at -20C. Avoid freeze-thaw cycles.

Background: PD-L2/B7-DC

B7-DC is also called programmed death ligand 2 (PDL2). It has recently been clustered as CD273. This ligand is a 42 kD member of the immunoglobulin receptor superfamily expressed on a subset of dendritic cells, liver and a small subset of macrophages as well as a few transformed cell lines. B7-DC (CD273) has been reported to be stimulatory on dendritic cells when cross-linked and to inhibit T cell activation upon engaging the PD-1 receptor. B7-DC (CD273) has also been reported to bind to an alternative receptor and to mediate T cell activation through such non-PD1 mediated interactions.

Long Name

Programmed Death-1 Ligand-2

Alternate Names

B7-DC, Butyrophilin-like Protein, CD273, PDCD1LG2, PDL2

Gene Symbol

PDCD1LG2

Additional PD-L2/B7-DC Products

Product Documents for PD-L2/B7-DC/PDCD1LG2 Antibody (OTI7B10)

Certificate of Analysis

To download a Certificate of Analysis, please enter a lot number in the search box below.

Product Specific Notices for PD-L2/B7-DC/PDCD1LG2 Antibody (OTI7B10)

This product is for research use only and is not approved for use in humans or in clinical diagnosis. Primary Antibodies are guaranteed for 1 year from date of receipt.

Loading...
Loading...
Loading...
Loading...
Loading...