Skip to main content

PCYT1A Antibody - BSA Free

Novus Biologicals, part of Bio-Techne | Catalog # NBP3-30266

Novus Biologicals, part of Bio-Techne
Catalog #
Availability
Size / Price
Qty
Loading...
NBP3-30266

Key Product Details

Species Reactivity

Human, Mouse

Applications

Immunohistochemistry, Western Blot, Immunoprecipitation

Label

Unconjugated

Antibody Source

Polyclonal Rabbit IgG

Format

BSA Free

Concentration

Please see the vial label for concentration. If unlisted please contact technical services.

Product Specifications

Immunogen

Between 317 and 367

Clonality

Polyclonal

Host

Rabbit

Isotype

IgG

Description

Novus Biologicals Rabbit PCYT1A Antibody - BSA Free (NBP3-30266) is a polyclonal antibody validated for use in IHC, WB and IP. All Novus Biologicals antibodies are covered by our 100% guarantee.

Scientific Data Images for PCYT1A Antibody - BSA Free

PCYT1A Antibody

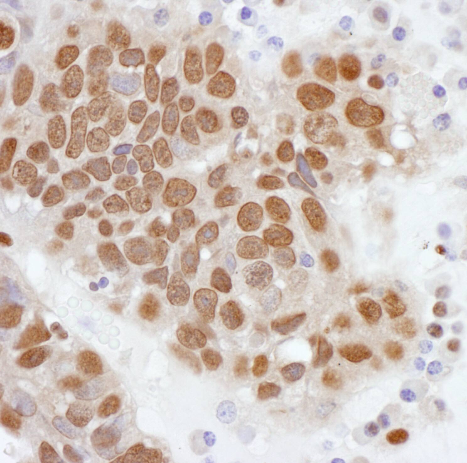
Immunohistochemistry;PCYT1A Antibody[NBP3-30266]

Immunohistochemistry;PCYT1A Antibody[NBP3-30266]Detection of mouse PCYT1A by immunohistochemistry. Sample: FFPE section of mouse renal cell carcinoma. Antibody: Affinity purified rabbit anti-PCYT1A used at a dilution of 1:1,000 . Detection: DAB
PCYT1A Antibody

Immunohistochemistry;PCYT1A Antibody[NBP3-30244]

Immunohistochemistry;PCYT1A Antibody[NBP3-30244]Detection of human PCYT1A by immunohistochemistry. Sample: FFPE section of human ovarian carcinoma. Antibody: Affinity purified rabbit anti-PCYT1A used at a dilution of 1:1,000 . Detection: DAB
PCYT1A Antibody

Immunoprecipitation:PCYT1A AntibodyNBP3-30266] -

Immunoprecipitation:PCYT1A AntibodyNBP3-30266] -Detection of human PCYT1A by western blot of immunoprecipitates. Samples: Whole cell lysate (0.5 or 1.0 mg per IP reaction; 20% of IP loaded) from 293T cells prepared using NETN lysis buffer. Antibodies: Affinity purified rabbit anti-PCYT1A antibody NBP3-30266 (lot NBP3-30266-1) used for IP at 6 µg per reaction. PCYT1A was also immunoprecipitated by rabbit anti-PCYT1A.. For blotting immunoprecipitated PCYT1A, NBP3-30266 was used at 1 µg/ml. Detection: Chemiluminescence with an exposure time of 30 seconds.

Applications for PCYT1A Antibody - BSA Free

Application
Recommended Usage

Immunohistochemistry

Optimal dilutions of this antibody should be experimentally determined.

Immunoprecipitation

Optimal dilutions of this antibody should be experimentally determined.

Western Blot

Optimal dilutions of this antibody should be experimentally determined.

Formulation, Preparation, and Storage

Purification

Affinity purified

Formulation

Tris-citrate/phosphate buffer, pH 7 to 8

Format

BSA Free

Preservative

0.09% Sodium Azide

Concentration

Please see the vial label for concentration. If unlisted please contact technical services.

Shipping

The product is shipped with polar packs. Upon receipt, store it immediately at the temperature recommended below.

Stability & Storage

Store at 4C. Do not freeze.

Background: PCYT1A

Controls phosphatidylcholine synthesis

Long Name

Phosphate Cytidylyltransferase 1, Choline, Alpha

Alternate Names

CCT-alpha, CTPCT, PCYT1, SMDCRD

Gene Symbol

PCYT1A

Additional PCYT1A Products

Product Documents for PCYT1A Antibody - BSA Free

Certificate of Analysis

To download a Certificate of Analysis, please enter a lot number in the search box below.

Product Specific Notices for PCYT1A Antibody - BSA Free

This product is for research use only and is not approved for use in humans or in clinical diagnosis. Primary Antibodies are guaranteed for 1 year from date of receipt.

Loading...
Loading...
Loading...
Loading...