Skip to main content

PCNA Antibody (rPCNA/8858) - Azide and BSA Free

Novus Biologicals, part of Bio-Techne | Catalog # NBP3-24069

Recombinant Monoclonal Antibody
Novus Biologicals, part of Bio-Techne

Key Product Details

Species Reactivity

Human

Applications

Immunohistochemistry-Paraffin

Label

Unconjugated

Antibody Source

Monoclonal Mouse IgG1 kappa Clone # rPCNA/8858

Format

Azide and BSA Free

Concentration

1 mg/ml

Product Specifications

Immunogen

Recombinant full-length human PCNA protein

Localization

Nucleus. Cytoplasm.

Marker

G1- & S-phase Marker

Clonality

Monoclonal

Host

Mouse

Isotype

IgG1 kappa

Description

Antibody without azide - store at -20 to -80C.

Scientific Data Images for PCNA Antibody (rPCNA/8858) - Azide and BSA Free

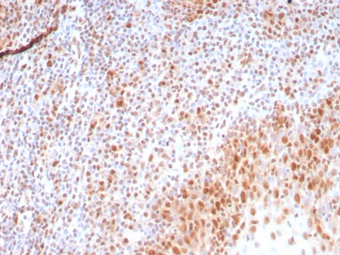
Immunohistochemistry-Paraffin: PCNA Antibody (rPCNA/8858) - Azide and BSA Free [NBP3-24069] -

Formalin-fixed, paraffin-embedded human tonsil stained with PCNA antibody (rPCNA/8858) - Azide and BSA Free at 2ug/ml. Inset: PBS instead of primary antibody; secondary only negative control.

Immunohistochemistry-Paraffin: PCNA Antibody (rPCNA/8858) - Azide and BSA Free [NBP3-24069] -

Formalin-fixed, paraffin-embedded human tonsil stained with PCNA antibody (rPCNA/8858) - Azide and BSA Free at 2ug/ml. HIER: Tris/EDTA, pH9.0, 45min. Secondary: HRP-polymer, 30min. DAB, 5min.

Applications for PCNA Antibody (rPCNA/8858) - Azide and BSA Free

Application
Recommended Usage

Immunohistochemistry-Paraffin

1-2ug/ml
Application Notes
Immunohistochemistry-Paraffin: 1-2ug/ml for 30 minutes at RT. Staining of formalin-fixed tissues requires heating tissue sections in 10mM Tris with 1mM EDTA, pH 9.0, for 45 min at 95C followed by cooling at RT for 20 minutes. Optimal dilution for a specific application should be determined.

Formulation, Preparation, and Storage

Purification

Protein A or G purified

Formulation

10mM PBS

Format

Azide and BSA Free

Preservative

No Preservative

Concentration

1 mg/ml

Shipping

The product is shipped with polar packs. Upon receipt, store it immediately at the temperature recommended below.

Stability & Storage

Store at -20 to -80C. Avoid freeze-thaw cycles.

Background: PCNA

Proliferating Cell Nuclear Antigen (PCNA) is a DNA polymerase that is essential for DNA replication, excision and mismatch repair pathways. PCNA is a "DNA clamp" which binds to the CDK inhibitor p21, the structure-specific endonucleases Fen1 and XPG, and DNA cytosine 5-methyltransferase (MCMT). PCNA is a potentially useful marker of cells with proliferative potential and for identifying the proliferation status of tumor tissue (i.e. relevant to prognosis). PCNA antibodies are also useful tools for DNA repair and cancer research.

Long Name

Proliferating Cell Nuclear Antigen

Alternate Names

cyclin, DNA polymerase delta auxiliary protein, MGC8367, proliferating cell nuclear antigen

Gene Symbol

PCNA

Additional PCNA Products

Product Documents for PCNA Antibody (rPCNA/8858) - Azide and BSA Free

Certificate of Analysis

To download a Certificate of Analysis, please enter a lot number in the search box below.

Product Specific Notices for PCNA Antibody (rPCNA/8858) - Azide and BSA Free

This product is for research use only and is not approved for use in humans or in clinical diagnosis. Primary Antibodies are guaranteed for 1 year from date of receipt.

Loading...
Loading...
Loading...
Loading...