Skip to main content

PCNA Antibody (OTI3D6) - Azide and BSA Free

Novus Biologicals, part of Bio-Techne | Catalog # NBP2-73271

Novus Biologicals, part of Bio-Techne

Key Product Details

Species Reactivity

Human, Mouse, Rat, Canine, Monkey

Applications

Immunohistochemistry, Immunohistochemistry-Paraffin, Western Blot

Label

Unconjugated

Antibody Source

Monoclonal Mouse IgG2A Clone # OTI3D6

Format

Azide and BSA Free

Concentration

LYOPH mg/ml

Product Specifications

Immunogen

Full length human recombinant protein of human PCNA (NP_002583) produced in E.coli.

Reactivity Notes

Please note that this antibody is reactive to Mouse and derived from the same host, Mouse. Mouse-On-Mouse blocking reagent may be needed for IHC and ICC experiments to reduce high background signal. You can find these reagents under catalog numbers PK-2200-NB and MP-2400-NB. Please contact Technical Support if you have any questions.

Clonality

Monoclonal

Host

Mouse

Isotype

IgG2A

Theoretical MW

28.6 kDa.
Disclaimer note: The observed molecular weight of the protein may vary from the listed predicted molecular weight due to post translational modifications, post translation cleavages, relative charges, and other experimental factors.

Description

Novus Biologicals Mouse PCNA Antibody (OTI3D6) - Azide and BSA Free (NBP2-46342) is a monoclonal antibody validated for use in IHC and WB. All Novus Biologicals antibodies are covered by our 100% guarantee.

Scientific Data Images for PCNA Antibody (OTI3D6) - Azide and BSA Free

Western Blot: PCNA Antibody (OTI3D6)Azide and BSA Free [NBP2-73271]

Western Blot: PCNA Antibody (OTI3D6)Azide and BSA Free [NBP2-73271]

Western Blot: PCNA Antibody (OTI3D6) - Azide and BSA Free [NBP2-73271] - Analysis of HEK293T cells were transfected with the pCMV6-ENTRY control (Left lane) or pCMV6-ENTRY PCNA.
Western Blot: PCNA Antibody (OTI3D6)Azide and BSA Free [NBP2-73271]

Western Blot: PCNA Antibody (OTI3D6)Azide and BSA Free [NBP2-73271]

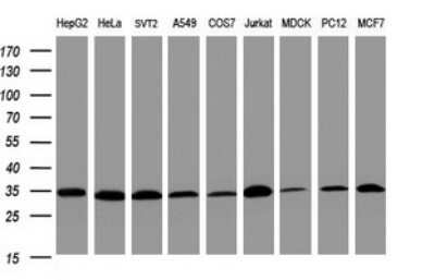
Western Blot: PCNA Antibody (OTI3D6) - Azide and BSA Free [NBP2-73271] - Analysis of extracts (35ug) from 9 different cell lines by using PCNA monoclonal antibody (HepG2: human; HeLa: human; SVT2: mouse; A549: human; COS7: monkey; Jurkat: human; MDCK: canine; PC12: rat; MCF7: human). Dilution: 1:2000

Applications for PCNA Antibody (OTI3D6) - Azide and BSA Free

Application
Recommended Usage

Immunohistochemistry

1:150

Western Blot

1:2000

Formulation, Preparation, and Storage

Purification

Immunogen affinity purified

Reconstitution

we recommend adding 100uL distilled water to a final antibody concentration of about 1 mg/mL. To use this carrier-free antibody for conjugation experiment, we strongly recommend performing another round of desalting process.

Formulation

Lyophilized from PBS (pH 7.3) with 8% Trehalose

Format

Azide and BSA Free

Preservative

No Preservative

Concentration

LYOPH mg/ml

Shipping

The product is shipped with polar packs. Upon receipt, store it immediately at the temperature recommended below.

Stability & Storage

Store at -20C. Avoid freeze-thaw cycles.

Background: PCNA

Proliferating Cell Nuclear Antigen (PCNA) is a DNA polymerase that is essential for DNA replication, excision and mismatch repair pathways. PCNA is a "DNA clamp" which binds to the CDK inhibitor p21, the structure-specific endonucleases Fen1 and XPG, and DNA cytosine 5-methyltransferase (MCMT). PCNA is a potentially useful marker of cells with proliferative potential and for identifying the proliferation status of tumor tissue (i.e. relevant to prognosis). PCNA antibodies are also useful tools for DNA repair and cancer research.

Long Name

Proliferating Cell Nuclear Antigen

Alternate Names

cyclin, DNA polymerase delta auxiliary protein, MGC8367, proliferating cell nuclear antigen

Gene Symbol

PCNA

Additional PCNA Products

Product Documents for PCNA Antibody (OTI3D6) - Azide and BSA Free

Certificate of Analysis

To download a Certificate of Analysis, please enter a lot number in the search box below.

Product Specific Notices for PCNA Antibody (OTI3D6) - Azide and BSA Free

This product is for research use only and is not approved for use in humans or in clinical diagnosis. Primary Antibodies are guaranteed for 1 year from date of receipt.

Loading...
Loading...
Loading...
Loading...
Loading...