Skip to main content

PCM1 Antibody (CL0206) - Azide and BSA Free

Novus Biologicals, part of Bio-Techne | Catalog # NBP3-44065

Novus Biologicals, part of Bio-Techne
Catalog #
Availability
Size / Price
Qty
Loading...
NBP3-44065

Key Product Details

Validated by

Orthogonal Validation

Species Reactivity

Human

Applications

Immunohistochemistry-Paraffin, Western Blot

Label

Unconjugated

Antibody Source

Monoclonal Mouse IgG1 Clone # CL0206

Format

Azide and BSA Free

Concentration

LYOPH mg/ml

Product Specifications

Immunogen

This antibody was generated using a recombinant protein sequence of Q15154, with the exact immunogen sequence remaining proprietary.

Clonality

Monoclonal

Host

Mouse

Isotype

IgG1

Description

Novus Biologicals Mouse PCM1 Antibody (CL0206) - Azide and BSA Free (NBP2-52878) is a monoclonal antibody validated for use in IHC and WB. All Novus Biologicals antibodies are covered by our 100% guarantee.

Scientific Data Images for PCM1 Antibody (CL0206) - Azide and BSA Free

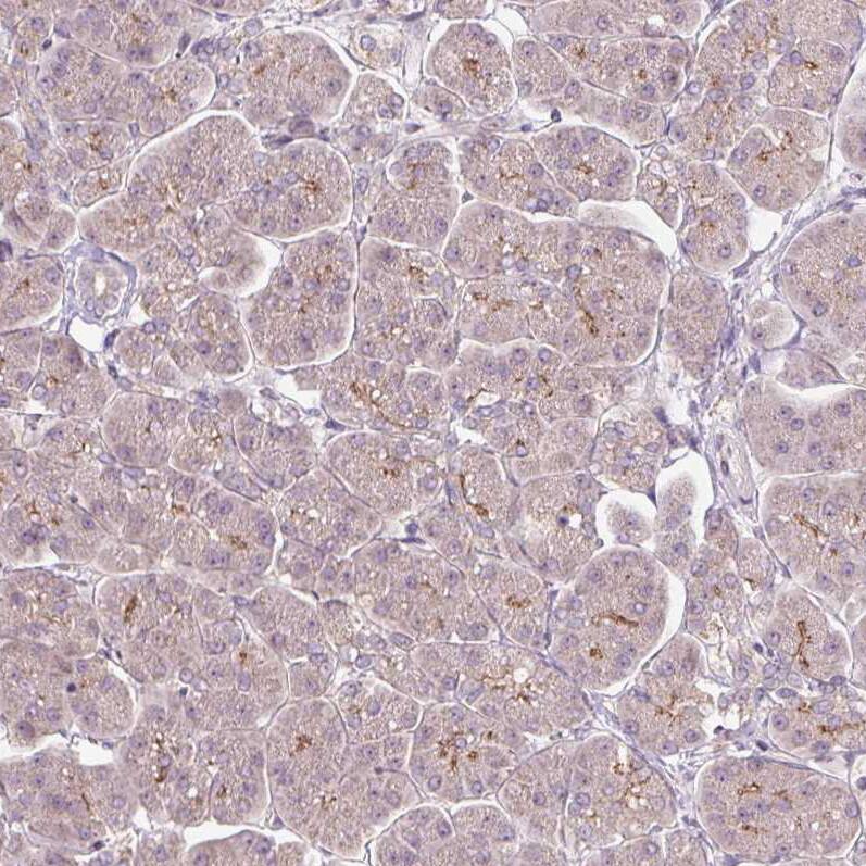
PCM1 Antibody (CL0206) - Azide and BSA Free Immunohistochemistry-Paraffin: PCM1 Antibody [NBP3-44065]

Immunohistochemistry-Paraffin: PCM1 Antibody [NBP3-44065]

Analysis in human testis and pancreas tissues using NBP3-44065 antibody. Corresponding PCM1 RNA-seq data are presented for the same tissues.
PCM1 Antibody (CL0206) - Azide and BSA Free Western Blot: PCM1 Antibody [NBP3-44065]

Western Blot: PCM1 Antibody [NBP3-44065]

Lane 1: Marker [kDa]
Lane 2: Human cell line U-251
PCM1 Antibody (CL0206) - Azide and BSA Free Immunohistochemistry-Paraffin: PCM1 Antibody [NBP3-44065]

Immunohistochemistry-Paraffin: PCM1 Antibody [NBP3-44065]

Staining of human fallopian tube shows moderate to strong positivity in the apical cytoplasm of glandular cells.

Applications for PCM1 Antibody (CL0206) - Azide and BSA Free

Application
Recommended Usage

Immunohistochemistry-Paraffin

1:200 - 1:500

Western Blot

1 ug/ml
Application Notes
For IHC-Paraffin, HIER pH 6 retrieval is recommended.

Formulation, Preparation, and Storage

Purification

Protein A purified

Reconstitution

Centrifuge the vial of lyophilized antibody at 12,000 x g for 20 seconds. Reconstitute by adding sterile, distilled water to achieve a final antibody concentration of 1mg/ml.

Formulation

Lyophilized from a 0.2 um filtered solution in PBS with Trehalose

Format

Azide and BSA Free

Preservative

No Preservative

Concentration

LYOPH mg/ml

Shipping

The product is shipped at ambient temperature. Upon receipt, store it immediately at the temperature recommended below.

Stability & Storage

Store at 4C short term. Aliquot and store at -20C long term. Avoid freeze-thaw cycles.

Background: PCM1

DNA methylation, or the addition of methyl groups to cytosine bases in the dinucleotide CpG, is imperative to proper development and regulates gene expression. The methylation pattern involves the enzymatic processes of methylation and demethylation. The demethylation enzyme was recently found to be a mammalian protein, which exhibits demethylase activity associated to a methyl-CpG-binding domain (MBD). The enzyme is able to revert methylated cytosine bases to cytosines within the particular dinucleotide sequence mdCpdG by catalyzing the cleaving of the methyl group as methanol. MeCP2 and MBD1 (PCM1) are first found to repress transcription by binding specifically to methylated DNA. MBD2 and MBD4 (also known as MED1) were later found to colocalize with foci of heavily methylated satellite DNA and believed to mediate the biological functions of the methylation signal. Surprisingly, MBD3 does not bind methylated DNA both in vivo and in vitro. MBD1, MBD2, MBD3, and MBD4 are found to be expressed in somatic tissues, but the expression of MBD1 and MBD2 is reduced or absent in embryonic stem cells, which are known to be deficient in MeCP1 activity. MBD4 have homology to bacterial base excision repair DNA N-glycosylases/lyases. In some microsatellite unstable tumors MBD4 is mutated at an exonic polynucleotide tract.

Alternate Names

hPCM-1, pericentriolar material 1, pericentriolar material 1 protein, PTC4PCM-1

Gene Symbol

PCM1

Additional PCM1 Products

Product Documents for PCM1 Antibody (CL0206) - Azide and BSA Free

Certificate of Analysis

To download a Certificate of Analysis, please enter a lot number in the search box below.

Product Specific Notices for PCM1 Antibody (CL0206) - Azide and BSA Free

This product is for research use only and is not approved for use in humans or in clinical diagnosis. Primary Antibodies are guaranteed for 1 year from date of receipt.

Loading...
Loading...
Loading...
Loading...
Loading...