Skip to main content

Pax5/BSAP Antibody (PAX5/3977R)

Novus Biologicals, part of Bio-Techne | Catalog # NBP3-07756

Recombinant Monoclonal Antibody
Novus Biologicals, part of Bio-Techne
Catalog #
Availability
Size / Price
Qty
Loading...
NBP3-07756-100ug
NBP3-07756-20ug

Key Product Details

Species Reactivity

Human, Canine

Applications

Immunohistochemistry-Paraffin

Label

Unconjugated

Antibody Source

Recombinant Monoclonal Rabbit IgG Clone # PAX5/3977R

Concentration

0.2 mg/ml

Product Specifications

Immunogen

A recombinant fragment (around aa 235-382) of human PAX5 protein (exact sequence is proprietary) (Uniprot: Q02548)

Localization

Nuclear

Specificity

The specificity of this monoclonal antibody to its intended target was validated by HuProtTM Array, containing more than 21,000, full-length human proteins. The PAX5 gene is a member of the paired box (PAX)family of transcription factors. The central feature of this gene family is a novel, highly conservedDNA-binding domain, known as the paired box. The PAX proteins are important regulators in early development, and alterations in the expression of their genes are thought to contribute toneoplastic transformation. The PAX5 gene encodes theB-celllineage specific activator protein (BSAP) that is expressed at early, but not late stages of B-cell differentiation. Its expression has also been detected in developing CNS and testis; therefore, PAX5 gene product may not only play an important role in B-cell differentiation, but also in neural development and spermatogenesis.

Marker

Early B-Cell Marker

Clonality

Monoclonal

Host

Rabbit

Isotype

IgG

Theoretical MW

42 kDa.
Disclaimer note: The observed molecular weight of the protein may vary from the listed predicted molecular weight due to post translational modifications, post translation cleavages, relative charges, and other experimental factors.

Description

200ug/ml of antibody purified from Bioreactor Concentrate by Protein A or G. Prepared in 10 mM PBS with 0.05% BSA & 0.05% azide. Also available WITHOUT BSA & azide at 1.0 mg/ml. (NBP3-08310)

Antibody with azide - store at 2 to 8C. Antibody without azide - store at -20 to -80 C.

Scientific Data Images for Pax5/BSAP Antibody (PAX5/3977R)

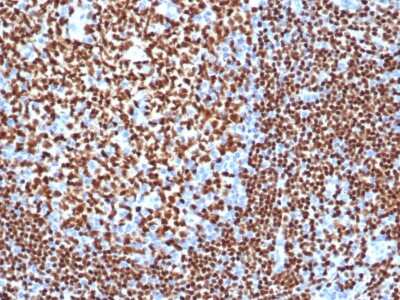
Immunohistochemistry-Paraffin: Pax5/BSAP Antibody (PAX5/3977R) [NBP3-07756]

Immunohistochemistry-Paraffin: Pax5/BSAP Antibody (PAX5/3977R) [NBP3-07756]

Immunohistochemistry-Paraffin: Pax5/BSAP Antibody (PAX5/3977R) [NBP3-07756] - Formalin-fixed, paraffin-embedded human tonsil stained with Pax5/BSAP Recombinant Rabbit Monoclonal Antibody (Pax5/BSAP/3977R).
Immunohistochemistry-Paraffin: Pax5/BSAP Antibody (PAX5/3977R) [NBP3-07756]

Immunohistochemistry-Paraffin: Pax5/BSAP Antibody (PAX5/3977R) [NBP3-07756]

Immunohistochemistry-Paraffin: Pax5/BSAP Antibody (PAX5/3977R) [NBP3-07756] - Formalin-fixed, paraffin-embedded human tonsil stained with Pax5/BSAP Recombinant Rabbit Monoclonal Antibody (Pax5/BSAP/3977R).

Applications for Pax5/BSAP Antibody (PAX5/3977R)

Application
Recommended Usage

Immunohistochemistry-Paraffin

1-2 ug/ml
Application Notes
Immunohistochemistry (Formalin-fixed): 1-2ug/ml for 30 minutes at RT. Staining of formalin-fixed tissues requires heating tissue sections in 10mM Tris with 1mM EDTA, pH 9.0, for 45 min at 95C followed by cooling at RT for 20 minutes.
Optimal dilution for a specific application should be determined.

Formulation, Preparation, and Storage

Purification

Protein A or G purified

Formulation

10 mM PBS with 0.05% BSA

Preservative

0.05% Sodium Azide

Concentration

0.2 mg/ml

Shipping

The product is shipped with polar packs. Upon receipt, store it immediately at the temperature recommended below.

Stability & Storage

Store at 4C.

Background: Pax5/BSAP

PAX5 encodes a member of the paired box (PAX) family of transcription factors. The central feature of this gene family is a novel, highly conserved DNA-binding motif, known as the paired box. PAX proteins are important regulators in early development, and alterations in the expression of their genes are thought to contribute to neoplastic transformation. This gene encodes the B-cell lineage specific activator protein that is expressed at early, but not late stages of B-cell differentiation. Its expression has also been detected in developing CNS and testis and so the encoded protein may also play a role in neural development and spermatogenesis. This gene is located at 9p13, which is involved in t(9;14)(p13;q32) translocations recurring in small lymphocytic lymphomas of the plasmacytoid subtype, and in derived large-cell lymphomas. This translocation brings the potent E-mu enhancer of the IgH gene into close proximity of the PAX5 promoter, suggesting that the deregulation of transcription of this gene contributes to the pathogenesis of these lymphomas. Alternatively spliced transcript variants encoding different isoforms have been described but their biological validity has not been determined. [provided by RefSeq]

Long Name

Paired Box Gene 5/B-cell Specific Activator Protein

Alternate Names

BSAP

Gene Symbol

PAX5

UniProt

Additional Pax5/BSAP Products

Product Documents for Pax5/BSAP Antibody (PAX5/3977R)

Certificate of Analysis

To download a Certificate of Analysis, please enter a lot number in the search box below.

Product Specific Notices for Pax5/BSAP Antibody (PAX5/3977R)

This product is for research use only and is not approved for use in humans or in clinical diagnosis. Primary Antibodies are guaranteed for 1 year from date of receipt.

Loading...
Loading...
Loading...
Loading...