Skip to main content

PARP Antibody (CL2209) - Azide and BSA Free

Novus Biologicals, part of Bio-Techne | Catalog # NBP3-44462

Novus Biologicals, part of Bio-Techne

Key Product Details

Validated by

Knockout/Knockdown

Species Reactivity

Human

Applications

Immunohistochemistry-Paraffin, Western Blot

Label

Unconjugated

Antibody Source

Monoclonal Mouse IgG1 Clone # CL2209

Format

Azide and BSA Free

Concentration

LYOPH mg/ml

Product Specifications

Immunogen

This antibody was generated using a recombinant protein sequence of P09874, with the exact immunogen sequence remaining proprietary.

Clonality

Monoclonal

Host

Mouse

Isotype

IgG1

Description

Novus Biologicals Mouse PARP Antibody (CL2209) - Azide and BSA Free (NBP2-36748) is a monoclonal antibody validated for use in IHC and WB. All Novus Biologicals antibodies are covered by our 100% guarantee.

Scientific Data Images for PARP Antibody (CL2209) - Azide and BSA Free

PARP Antibody (CL2209) - Azide and BSA Free Immunohistochemistry-Paraffin: PARP Antibody [NBP3-44462]

Immunohistochemistry-Paraffin: PARP Antibody [NBP3-44462]

Staining of human cerebellum shows strong nuclear positivity in granular and molecular layer cells, as well as in Purkinje cells.
PARP Antibody (CL2209) - Azide and BSA Free Western Blot: PARP Antibody [NBP3-44462]

Western Blot: PARP Antibody [NBP3-44462]

Lane 1: Marker [kDa]
Lane 2: Human cell line RT-4
PARP Antibody (CL2209) - Azide and BSA Free Immunohistochemistry-Paraffin: PARP Antibody [NBP3-44462]

Immunohistochemistry-Paraffin: PARP Antibody [NBP3-44462]

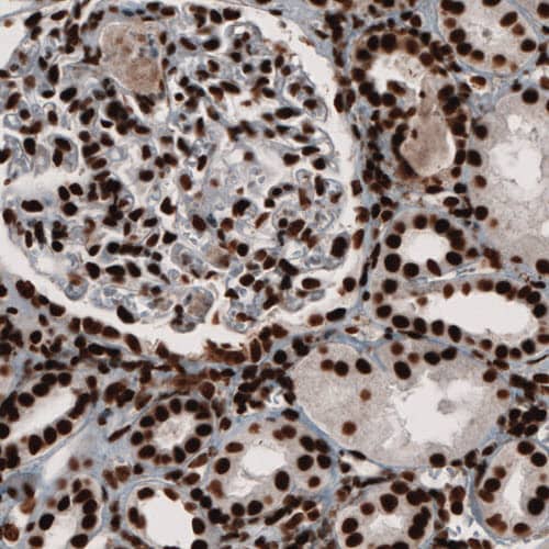
Staining of human kidney shows nuclear positivity in both tubuli and glomeruli.

Applications for PARP Antibody (CL2209) - Azide and BSA Free

Application
Recommended Usage

Immunohistochemistry-Paraffin

1:5000 - 1:10000

Western Blot

1 ug/ml
Application Notes
For IHC-Paraffin, HIER pH 6 retrieval is recommended.

Formulation, Preparation, and Storage

Purification

Protein A purified

Reconstitution

Centrifuge the vial of lyophilized antibody at 12,000 x g for 20 seconds. Reconstitute by adding sterile, distilled water to achieve a final antibody concentration of 1mg/ml.

Formulation

Lyophilized from a 0.2 um filtered solution in PBS with Trehalose

Format

Azide and BSA Free

Preservative

No Preservative

Concentration

LYOPH mg/ml

Shipping

The product is shipped at ambient temperature. Upon receipt, store it immediately at the temperature recommended below.

Stability & Storage

Store at 4C short term. Aliquot and store at -20C long term. Avoid freeze-thaw cycles.

Background: PARP

Poly (ADP-ribose) polymerase (PARP) is protein family primarily invloved in DNA repair and programmed cell death. PARP proteins are activated in response to DNA single strand breaks (SSBs). Upon SSB detection, PARP binds the DNA and synthesizes a PAR chain at the damaged site, which then signals the initiation of DNA repair by other enzymes such as XRCC1, DNA ligase III and DNA polymerase beta. After repair, the PAR chains are degraded via PAR glycohydrolase.

PARP is inactivated by caspase cleavage, leading to a programmed cell death pathway.

Long Name

Poly [ADP-ribose] Polymerase

Alternate Names

ADPRT, PARP1, PPOL

Gene Symbol

PARP1

Additional PARP Products

Product Documents for PARP Antibody (CL2209) - Azide and BSA Free

Certificate of Analysis

To download a Certificate of Analysis, please enter a lot number in the search box below.

Product Specific Notices for PARP Antibody (CL2209) - Azide and BSA Free

This product is for research use only and is not approved for use in humans or in clinical diagnosis. Primary Antibodies are guaranteed for 1 year from date of receipt.

Loading...
Loading...
Loading...
Loading...
Loading...
Loading...