Skip to main content

pan Cadherin Antibody

Novus Biologicals, part of Bio-Techne | Catalog # NB200-592

Novus Biologicals, part of Bio-Techne
Catalog #
Availability
Size / Price
Qty
Loading...
NB200-592
NB200-592SS

Key Product Details

Validated by

Biological Validation

Species Reactivity

Validated:

Human, Mouse, Rat, Amphibian, Avian, Bovine, Canine, Chicken, Fish, Rabbit, Xenopus

Cited:

Human, Mouse

Applications

Validated:

Immunohistochemistry, Immunohistochemistry-Paraffin, Immunohistochemistry-Frozen, Western Blot, Immunocytochemistry/ Immunofluorescence

Cited:

Immunohistochemistry-Paraffin, Western Blot, Immunocytochemistry/ Immunofluorescence, IF/IHC

Label

Unconjugated

Antibody Source

Polyclonal Rabbit IgG

Concentration

This product is unpurified. The exact concentration of antibody is not quantifiable.

Product Specifications

Immunogen

Synthetic peptide: DYDYLNDWGPRFKKLADMYGGGDD conjugated to KLH by a Glutaraldehyde linker. Sequence corrresponds to the C-terminal amino acids of N-Cadherin (Chicken), with an extra N-terminal lysine residue (24 amino acids).

Localization

Cell membrane

Specificity

Recognizes all cadherin members. Rabbit Anti-Pan Cadherin shows specific reactivity with a distinct 135 kDa band on chicken or rabbit heart extract blots using indirect immunoblotting.

Marker

Mesenchymal Cells Marker

Clonality

Polyclonal

Host

Rabbit

Isotype

IgG

Description

Novus Biologicals Rabbit pan Cadherin Antibody (NB200-592) is a polyclonal antibody validated for use in IHC, WB and ICC/IF. Anti-pan Cadherin Antibody: Cited in 9 publications. All Novus Biologicals antibodies are covered by our 100% guarantee.

Scientific Data Images for pan Cadherin Antibody

Immunohistochemistry-Paraffin: pan Cadherin Antibody [NB200-592]

Immunohistochemistry-Paraffin: pan Cadherin Antibody [NB200-592]

Immunohistochemistry-Paraffin: pan Cadherin Antibody [NB200-592] - Mouse cervical cancer tissue stained with N-Cadherin antibody (green). Nuclei were counterstained with DAPI (Blue). Antigen retrieval was done with pepsin treatment. Image from verified customer review.
Western Blot: pan Cadherin Antibody [NB200-592]

Western Blot: pan Cadherin Antibody [NB200-592]

Western Blot: pan Cadherin Antibody [NB200-592] - Whole extract of Chicken Cardiac Muscle were separated on SDS-PAGE and probed with Anti-Pan Cadherin antibody produced in Rabbit. The antibody was developed using 1:1000 Anti-Rabbit IgG (whole molecule)-Peroxidase antibody produced in Goat.Lanes:1. 1:200 antibody2. 1:400 antibody3. Negative Control
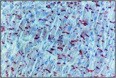
Immunohistochemistry: pan Cadherin Antibody [NB200-592]

Immunohistochemistry: pan Cadherin Antibody [NB200-592]

Immunohistochemistry: pan Cadherin Antibody [NB200-592] - Immunoperoxidase staining of a formalin-fixed, paraffin-embedded section of human heart using Rabbit Anti-Pan Cadherin.

Applications for pan Cadherin Antibody

Application
Recommended Usage

Immunocytochemistry/ Immunofluorescence

1:100

Immunohistochemistry

1:10-1:500

Immunohistochemistry-Frozen

1:10-1:500

Immunohistochemistry-Paraffin

1:1000

Western Blot

1:200
Application Notes
This antibody is useful for: Western Blot. IHC-P: Perform enzymatic antigen retrieval before commencing with IHC staining protocol. WB: On chicken and rabbit heart extract this antibody detects a single band at 135 kD.

Reviewed Applications

Read 1 review rated 5 using NB200-592 in the following applications:

Formulation, Preparation, and Storage

Purification

Unpurified

Formulation

Whole antisera

Preservative

0.09% Sodium Azide

Concentration

This product is unpurified. The exact concentration of antibody is not quantifiable.

Shipping

The product is shipped with polar packs. Upon receipt, store it immediately at the temperature recommended below.

Stability & Storage

Store at -20C. Avoid freeze-thaw cycles.

Background: Cadherin

Cadherins are members of a multigene family of single chain glycoprotein receptors mediating Ca++-dependent cell-cell adhesion.1,2,3 The N-terminal part of these molecules is exposed on the external cell surface and contains the putative homophilic binding sites. This is followed by a typical single transmembrane sequence and usually, a cytoplasmic C-terminal tail4 which mediates interaction with the microfilament system through molecules such as catenins, plakoglobin, vinculin, and a-actinin. Cadherins which are primarily located in areas of cell-cell contacts, are involved in selective cell sorting and in the mechanical cytoplasmic response. They are implicated in morphogenetic processes, intercellular signalling and tumor invasiveness and metastasis. Multiple cadherins were characterized from diverse species and tissues including E-Cadherin, N-Cadherin (A-CAM), P-Cadherin, V-Cadherin, R-Cadherin and T-Cadherin. Specific antibodies against a highly conserved sequence from the cytoplasmic C-terminal of N-Cadherin have been prepared.5,6

Long Name

Cadherin Pan Specific

Alternate Names

Arc-1, cadherin 1, E-cadherin (epithelial), cadherin 1, type 1, E-cadherin (epithelial), cadherin-1, calcium-dependent adhesion protein, epithelial, CAM 120/80, CD324, CD324 antigen, CDHE, cell-CAM 120/80, ECAD, E-cadherin, Epithelial cadherin, LCAM, UVOE-Cadherin, uvomorulin

Gene Symbol

CDH1

Additional Cadherin Products

Product Documents for pan Cadherin Antibody

Certificate of Analysis

To download a Certificate of Analysis, please enter a lot number in the search box below.

Product Specific Notices for pan Cadherin Antibody

This product is for research use only and is not approved for use in humans or in clinical diagnosis. Primary Antibodies are guaranteed for 1 year from date of receipt.

Loading...
Loading...
Loading...
Loading...