Skip to main content

p62/SQSTM1 Antibody

Novus Biologicals, part of Bio-Techne | Catalog # NBP1-49956

Novus Biologicals, part of Bio-Techne
Catalog #
Availability
Size / Price
Qty
Loading...
NBP1-49956

Key Product Details

Validated by

Independent Antibodies, Biological Validation

Species Reactivity

Validated:

Human, Mouse

Cited:

Human, Mouse

Predicted:

Orangutan (100%), Rat (100%). Backed by our 100% Guarantee.

Applications

Validated:

Knockout Validated, Immunohistochemistry, Immunohistochemistry-Paraffin, Western Blot, Immunoprecipitation

Cited:

Knockout Validated, Immunohistochemistry-Paraffin, Western Blot, IF/IHC

Label

Unconjugated

Antibody Source

Polyclonal Rabbit IgG

Concentration

0.2 mg/ml

Product Specifications

Immunogen

The immunogen for this product maps to a region between residue 425 and 440 of human p62/SQSTM1 using the numbering given in entry NP_003891.1 (GeneID 8878).

Clonality

Polyclonal

Host

Rabbit

Isotype

IgG

Theoretical MW

47.7 kDa.
Disclaimer note: The observed molecular weight of the protein may vary from the listed predicted molecular weight due to post translational modifications, post translation cleavages, relative charges, and other experimental factors.

Description

Novus Biologicals Knockout (KO) Validated Rabbit p62/SQSTM1 Antibody (NBP1-49956) is a polyclonal antibody validated for use in IHC, WB and IP. Anti-p62/SQSTM1 Antibody: Cited in 17 publications. All Novus Biologicals antibodies are covered by our 100% guarantee.

Scientific Data Images for p62/SQSTM1 Antibody

Western Blot: p62/SQSTM1 Antibody [NBP1-49956]

Western Blot: p62/SQSTM1 Antibody [NBP1-49956]

p62-SQSTM1-Antibody-Western-Blot-NBP1-49956-img0006.jpg
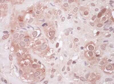
Immunohistochemistry-Paraffin: p62/SQSTM1 Antibody [NBP1-49956]

Immunohistochemistry-Paraffin: p62/SQSTM1 Antibody [NBP1-49956]

Immunohistochemistry-Paraffin: p62/SQSTM1 Antibody [NBP1-49956] - Section of human breast carcinoma. Antibody: Affinity purified rabbit anti- Sequestosome-1 used at a dilution of 1:200 (1ug/ml). Detection: Vector Laboratories ImmPACT NovaRED Peroxidase Substrate
Western Blot: p62/SQSTM1 Antibody [NBP1-49956]

Western Blot: p62/SQSTM1 Antibody [NBP1-49956]

Western Blot: p62/SQSTM1 Antibody [NBP1-49956] - Detection of Human and Mouse Sequestosome-1 by Western Blot (h&m) and Immunoprecipitation (h). Samples: Whole cell lysate from HeLa (5, 15 and 50 mcg for WB; 1 mg for IP, 20% of IP loaded), 293T (T; 50 mcg), and mouse NIH3T3 (M; 50 mcg) cells. Antibodies: Affinity purified rabbit anti-Sequestosome-1 antibody used for WB at 0.04 mcg/ml (A) and 0.4 mcg/ml (B) and used for IP at 3 mcg/mg lysate. Sequestosome-1 was also immunoprecipitated by rabbit anti-Sequestosome-1 antibodies which recognize upstream epitopes. For blotting immunoprecipitated Sequestosome-1 was used. Detection: Chemiluminescence with exposure times of 30 seconds (A) and 3 seconds (B).

Applications for p62/SQSTM1 Antibody

Application
Recommended Usage

Immunohistochemistry

1:100 - 1:500

Immunohistochemistry-Paraffin

1:100-1:500

Immunoprecipitation

2-5 ug/mg lysate

Knockout Validated

Reactivity reported in (PMID: 31961433)

Western Blot

1:2000-1:10000
Application Notes
Epitope retrieval with citrate buffer pH6.0 is recommended for FFPE tissue sections.

Formulation, Preparation, and Storage

Purification

Immunogen affinity purified

Formulation

TBS and 0.1% BSA

Preservative

0.09% Sodium Azide

Concentration

0.2 mg/ml

Shipping

The product is shipped with polar packs. Upon receipt, store it immediately at the temperature recommended below.

Stability & Storage

Store at 4C. Do not freeze.

Background: p62/SQSTM1

p62/SQSTM1 (ubiquitin-binding protein p62/Sequestrosome-1) is an intracellular protein (theoretical molecular weight 47.7 kDa) which localizes to the cytoplasm, nucleus, autophagosomes and lysosomes in all tissues (1). Structurally, p62/SQSTM1 consists of multiple domains (e.g., Phox1 and Bem1p-PB1, zinc finger-ZZ, TRAF6 binding domain-TB, Keap1-interacting region-KIR, LC3 interacting region-LIR and ubiquitin-associated domain-UBA) for interaction with various protein targets. Additional domains include nuclear export (NES) and nuclear localization signals (NLS1 and NLS2). p62/SQSTM1 is a multifunctional scaffold protein which forms oligomers with itself or with other proteins through interactions with PB1 domains.

Abnormal function of p62/SQSTM1 is associated with a range of disease states such as neurodegeneration, cancer, and metabolic disorders (2). Mutations in the p62/SQSTM1 sequence have been linked to Paget's disease of the bone, amyotrophic lateral sclerosis, and frontotemporal lobar degeneration. In Parkinson's disease, p62/SQSTM1 has been linked to microglia activation and subsequent neuroinflammation (3). Functionally, p62/SQSTM1 is involved in a broad range of cellular processes such as amino acid sensing by interaction with mTORC1, oxidative stress response through interaction with Keap1, and targeting cargo for autophagy by interacting with ubiquitin labeled proteins (1).

To induce selective autophagy, p62/SQSTM1 forms long oligomers or helical filaments which interact with LC3 and ubiquitin labeled proteins and lead to the initiation of the autophagosome formation (2). p62/SQSTM1 is not only a selective autophagy receptor but also an autophagy substrate, as its engulfed by the autophagosome and degraded by the autophagolysosome. Monitoring LC3 levels is the standard for assessing autophagic flux, however monitoring p62/SQSTM1 levels by Western blot in the presence and absence of autophagy inhibitors (e.g., Chloroquine) is also a common practice (4). Besides its activity as a selective autophagy receptor, p62/SQSTM1 also plays a role as an adaptor in signaling cascades leading to NFkB activation downstream of TNF-R, IL-1 beta R, TrkA and p75NTR. Briefly, for NFkB signaling downstream of the TNF-R activation, p62/SQSTM1 engages RIP1 kinase and PKC iota/lambda through the ZZ and PB1 domains, respectively (5).

References

1.Katsuragi, Y., Ichimura, Y., & Komatsu, M. (2015). P62/SQSTM1 functions as a signaling hub and an autophagy adaptor. FEBS Journal. https://doi.org/10.1111/febs.13540

2. Sanchez-Martin, P., & Komatsu, M. (2018). p62/SQSTM1 - Steering the cell through health and disease. Journal of Cell Science. https://doi.org/10.1242/jcs.222836

3. Yao, L., Zhu, Z., Wu, J., Zhang, Y., Zhang, H., Sun, X., ... Lu, G. (2019). MicroRNA-124 regulates the expression of p62/p38 and promotes autophagy in the inflammatory pathogenesis of Parkinson's disease. The FASEB Journal. https://doi.org/10.1096/fj.201900363r

4 Klionsky, D. J., Abdelmohsen, K., Abe, A., Abedin, M. J., Abeliovich, H., Arozena, A. A., ... Zughaier, S. M. (2016). Guidelines for the use and interpretation of assays for monitoring autophagy (3rd edition). Autophagy. https://doi.org/10.1080/15548627.2015.1100356

5. Bitto, A., Lerner, C. A., Nacarelli, T., Crowe, E., Torres, C., & Sell, C. (2014). p62/SQSTM1 at the interface of aging, autophagy, and disease. Age. https://doi.org/10.1007/s11357-014-9626-3

Long Name

Sequestosome 1

Alternate Names

A170, EBIAP, ORCA, OSIL, PDB3, Sequestosome 1, SQSTM1, ZIP3

Entrez Gene IDs

8878 (Human); 18412 (Mouse)

Gene Symbol

SQSTM1

UniProt

Additional p62/SQSTM1 Products

Product Documents for p62/SQSTM1 Antibody

Certificate of Analysis

To download a Certificate of Analysis, please enter a lot number in the search box below.

Product Specific Notices for p62/SQSTM1 Antibody

This product is for research use only and is not approved for use in humans or in clinical diagnosis. Primary Antibodies are guaranteed for 1 year from date of receipt.

Loading...
Loading...
Loading...
Loading...