Skip to main content

p57 Kip2 Antibody (KIP2/8169R)

Novus Biologicals, part of Bio-Techne | Catalog # NBP3-20451

Recombinant Monoclonal Antibody
Novus Biologicals, part of Bio-Techne
Catalog #
Availability
Size / Price
Qty
Loading...
NBP3-20451-100ug
NBP3-20451-20ug

Key Product Details

Species Reactivity

Human

Applications

Immunohistochemistry-Paraffin

Label

Unconjugated

Antibody Source

Recombinant Monoclonal Rabbit IgG Kappa Clone # KIP2/8169R

Concentration

0.2 mg/ml

Product Specifications

Immunogen

Recombinant full-length human p57 Kip2 protein

Localization

Nucleus.

Specificity

Recognizes a protein of 57kDa, identified as p57 Kip2 It shows no cross-reaction with p27Kip1

Clonality

Monoclonal

Host

Rabbit

Isotype

IgG Kappa

Description

Positive Controls: Raji, HT29 or SK-BR3 cells. Human colon or prostate carcinomas.

Antibody with azide - store at 2 to 8C. Antibody without azide - store at -20 to -80C. Non-hazardous. No MSDS required.

Scientific Data Images for p57 Kip2 Antibody (KIP2/8169R)

p57 Kip2 Antibody (KIP2/8169R)

p57 Kip2 Antibody (KIP2/8169R)

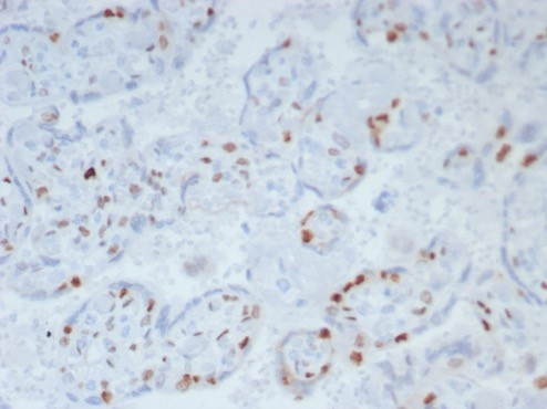
IHC analysis of formalin-fixed, paraffin-embedded human placenta. Strong nuclear staining using p57 Kip2 antibody (KIP2/8169R) at 2ug/ml in PBS for 30min RT. Inset: PBS instead of primary antibody; secondary only negative control.
p57 Kip2 Antibody (KIP2/8169R)

p57 Kip2 Antibody (KIP2/8169R)

IHC analysis of formalin-fixed, paraffin-embedded human placenta. Strong nuclear staining using p57 Kip2 antibody (KIP2/8169R) at 2ug/ml in PBS for 30min RT. HIER: Tris/EDTA, pH9.0, 45min. Secondary: HRP-polymer, 30min. DAB, 5min.

Applications for p57 Kip2 Antibody (KIP2/8169R)

Application
Recommended Usage

Immunohistochemistry-Paraffin

0.25-0.5 ug/ml
Application Notes
Immunohistochemistry (Formalin-fixed): 0.25-0.5ug/ml for 30 minutes. at RT. Staining of formalin-fixed tissues requires heating tissue sections in 10mM Tris with 1mM EDTA, pH 9.0, for 45 min at 95C followed by cooling at RT for 20 minutes.

Optimal dilution for a specific application should be determined.

Formulation, Preparation, and Storage

Purification

Protein A or G purified

Formulation

10mM PBS with 0.05% BSA

Preservative

0.05% Sodium Azide

Concentration

0.2 mg/ml

Shipping

The product is shipped with polar packs. Upon receipt, store it immediately at the temperature recommended below.

Stability & Storage

Store at 4C. Do not freeze.

Background: p57 Kip2

p57kip2 is a tight-binding, strong inhibitor of several G1 cyclin/Cdk complexes and a negative regulator of cell proliferation. Mutations in this gene are implicated in sporadic cancers and Beckwith-Wiedemann syndorome, suggesting that this gene is a tumor suppressor candidate.

Alternate Names

Beckwith-Wiedemann syndrome, BWS, cyclin-dependent kinase inhibitor 1C, cyclin-dependent kinase inhibitor 1C (p57, Kip2), Cyclin-dependent kinase inhibitor p57, KIP2BWCR, p57, p57Kip2, WBS

Gene Symbol

CDKN1C

Additional p57 Kip2 Products

Product Documents for p57 Kip2 Antibody (KIP2/8169R)

Certificate of Analysis

To download a Certificate of Analysis, please enter a lot number in the search box below.

Product Specific Notices for p57 Kip2 Antibody (KIP2/8169R)

This product is for research use only and is not approved for use in humans or in clinical diagnosis. Primary Antibodies are guaranteed for 1 year from date of receipt.

Loading...
Loading...
Loading...
Loading...