Skip to main content

p38 alpha [p Thr180] Antibody (JE77-37)

Novus Biologicals, part of Bio-Techne | Catalog # NBP3-32781

Recombinant Monoclonal Antibody
Novus Biologicals, part of Bio-Techne
Catalog #
Availability
Size / Price
Qty
Loading...
NBP3-32781

Key Product Details

Species Reactivity

Human, Mouse, Rat

Applications

Immunohistochemistry, Immunohistochemistry-Paraffin, Western Blot, Immunocytochemistry/ Immunofluorescence

Label

Unconjugated

Antibody Source

Recombinant Monoclonal Rabbit IgG Clone # JE77-37 expressed in HEK293

Concentration

1 mg/ml

Product Specifications

Immunogen

Synthetic phosphopeptide corresponding to residues surrounding Thr180 of human p38 alpha. (Uniprot: Q16539)

Modification

p Thr 180

Localization

Cytoplasm, Nucleus.

Clonality

Monoclonal

Host

Rabbit

Isotype

IgG

Theoretical MW

41 kDa.
Disclaimer note: The observed molecular weight of the protein may vary from the listed predicted molecular weight due to post translational modifications, post translation cleavages, relative charges, and other experimental factors.

Description

Novus Biologicals Rabbit p38 alpha [p Thr180] Antibody (JE77-37) (NBP3-32781) is a recombinant monoclonal antibody validated for use in IHC, WB and ICC/IF. All Novus Biologicals antibodies are covered by our 100% guarantee.

Scientific Data Images for p38 alpha [p Thr180] Antibody (JE77-37)

p38 alpha [p Thr180] Antibody (JE77-37)

Western Blot: p38 alpha [p Thr180] Antibody (JE77-37) [NBP3-32781]

Western Blot: p38 alpha [p Thr180] Antibody (JE77-37) [NBP3-32781] - Western blot analysis of p38 alpha on different lysates with Rabbit anti-p38 alpha antibody (NBP3-32781) at 1/1,000 dilution.

Lane 1: HeLa cell lysate
Lane 2: HeLa treated with UV for 1 hour cell lysate
Lane 3: HeLa treated with UV for 1 hour cell lysate, then the membrane treated with pp for 1 hour
Lane 4: PC-12 cell lysate
Lane 5: PC-12 treated with UV for 1 hour cell lysate

Lysates/proteins at 20 ug/Lane.

Predicted band size: 41 kDa
Observed band size: 38 kDa

Exposure time: 2 minutes; ECL;

4-20% SDS-PAGE gel.

Proteins were transferred to a PVDF membrane and blocked with 5% NFDM/TBST for 1 hour at room temperature. The primary antibody (NBP3-32781) at 1/1,000 dilution was used in 5% NFDM/TBST at 4C overnight. Goat Anti-Rabbit IgG - HRP Secondary Antibody at 1/50,000 dilution was used for 1 hour at room temperature.
p38 alpha [p Thr180] Antibody (JE77-37)

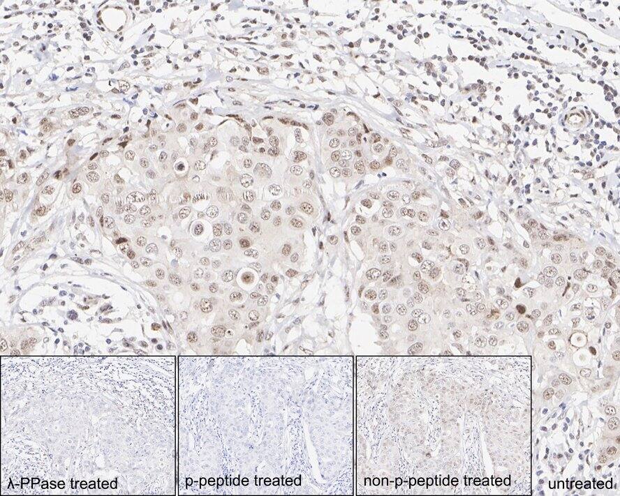
Immunohistochemistry: p38 alpha [p Thr180] Antibody (JE77-37) [NBP3-32781]

Immunohistochemistry: p38 alpha [p Thr180] Antibody (JE77-37) [NBP3-32781] - Immunohistochemical analysis of paraffin-embedded human breast cancer tissue untreated / treated with lambdapp / phospho-peptide / non-phospho-peptide with Rabbit anti-p38 alpha antibody (NBP3-32781) at 1/200 dilution.

The section was pre-treated using heat mediated antigen retrieval with sodium citrate buffer (pH 6.0) for 2 minutes. The tissues were blocked in 1% BSA for 20 minutes at room temperature, washed with ddH2O and PBS, and then probed with the primary antibody (NBP3-32781) at 1/200 dilution for 1 hour at room temperature. The detection was performed using an HRP conjugated compact polymer system. DAB was used as the chromogen. Tissues were counterstained with hematoxylin and mounted with DPX.
p38 alpha [p Thr180] Antibody (JE77-37)

Immunocytochemistry/ Immunofluorescence: p38 alpha [p Thr180] Antibody (JE77-37) [NBP3-32781]

Immunocytochemistry/ Immunofluorescence: p38 alpha [p Thr180] Antibody (JE77-37) [NBP3-32781] - Immunocytochemistry analysis of Jurkat cells treated with or without UV for 1 hour labeling p38 alpha with Rabbit anti-p38 alpha antibody (NBP3-32781) at 1/100 dilution.

Cells were fixed in 4% paraformaldehyde for 20 minutes at room temperature, permeabilized with 0.1% Triton X-100 in PBS for 5 minutes at room temperature, then blocked with 1% BSA in 10% negative goat serum for 1 hour at room temperature. Cells were then incubated with Rabbit anti-p38 alpha antibody (NBP3-32781) at 1/100 dilution in 1% BSA in PBST overnight at 4 ℃. Goat Anti-Rabbit IgG H&L (iFluor™ 488) was used as the secondary antibody at 1/1,000 dilution. PBS instead of the primary antibody was used as the secondary antibody only control. Nuclear DNA was labelled in blue with DAPI.

Beta tubulin (red) was stained at 1/100 dilution overnight at +4℃. Goat Anti-Mouse IgG H&L (iFluor™ 594) was used as the secondary antibody at 1/1,000 dilution.

Applications for p38 alpha [p Thr180] Antibody (JE77-37)

Application
Recommended Usage

Immunocytochemistry/ Immunofluorescence

1:100

Immunohistochemistry-Paraffin

1:200-1:1000

Western Blot

1:1000

Formulation, Preparation, and Storage

Purification

Protein A purified

Formulation

1*TBS (pH7.4), 0.05% BSA and 40% Glycerol

Preservative

0.05% Sodium Azide

Concentration

1 mg/ml

Shipping

The product is shipped with polar packs. Upon receipt, store it immediately at the temperature recommended below.

Stability & Storage

Store at 4C short term. Aliquot and store at -20C long term. Avoid freeze-thaw cycles.

Background: p38 alpha

The p38 Mitogen-activated Protein Kinases (MAPKs) are a family of four related Ser/Thr kinases activated by proinflammatory cytokines and environmental stresses. All four p38 family members, alpha, beta, gamma, and delta, are phosphorylated by MKK3 and/or MKK6 at dual Thr and Tyr positions within the phosphoacceptor sequence Thr-Gly-Tyr. Once activated, p38 phosphorylates a number of targets, including the nuclear transcription factors ATF2 and Max.

The most frequently analyzed family member, p38 alpha, also known as SAPK2a and MAPK14, was initially purified as a kinase critical to the signaling cascade linking IL-1 to MAPKAPK-2 and the small heat shock protein HSP27. Ubiquitously expressed, p38 alpha is dually phosphorylated by MKK3 and MKK6 at Thr180 and Tyr182. Once activated, p38 alpha phosphorylates a number of targets, including the cytoplasmic kinases MNK 4 and PRAK5 and the nuclear transcription factors ATF2 1 and STAT1. Several promising compounds that inhibit p38 alpha are being investigated as potential therapies for arthritic and inflammatory diseases.

Alternate Names

MAPK14, SAPK2a

Gene Symbol

MAPK14

Additional p38 alpha Products

Product Documents for p38 alpha [p Thr180] Antibody (JE77-37)

Certificate of Analysis

To download a Certificate of Analysis, please enter a lot number in the search box below.

Product Specific Notices for p38 alpha [p Thr180] Antibody (JE77-37)

This product is for research use only and is not approved for use in humans or in clinical diagnosis. Primary Antibodies are guaranteed for 1 year from date of receipt.

Loading...
Loading...
Loading...
Loading...