Skip to main content

p27/Kip1 Antibody (9R5B4)

Novus Biologicals, part of Bio-Techne | Catalog # NBP3-15662

Recombinant Monoclonal Antibody
Novus Biologicals, part of Bio-Techne
Catalog #
Availability
Size / Price
Qty
Loading...
NBP3-15662-100ul
NBP3-15662-20ul

Key Product Details

Species Reactivity

Human, Mouse, Rat

Applications

Immunohistochemistry, Immunohistochemistry-Paraffin, Western Blot

Label

Unconjugated

Antibody Source

Recombinant Monoclonal Rabbit IgG Clone # 9R5B4 expressed in HEK293

Concentration

Please see the vial label for concentration. If unlisted please contact technical services.

Product Specifications

Immunogen

A synthetic peptide corresponding to a sequence within amino acids 99-198 of human p27/Kip1 (P46527). CKVPAQESQDVSGSRPAAPLIGAPANSEDTHLVDPKTDPSDSQTGLAEQCAGIRKRPATDDSSTQNKRANRTEENVSDGSPNAGSVEQTPKKPGLRRRQT

Clonality

Monoclonal

Host

Rabbit

Isotype

IgG

Description

Novus Biologicals Rabbit p27/Kip1 Antibody (9R5B4) (NBP3-15662) is a recombinant monoclonal antibody validated for use in IHC and WB. All Novus Biologicals antibodies are covered by our 100% guarantee.

Scientific Data Images for p27/Kip1 Antibody (9R5B4)

Western Blot: p27/Kip1 Antibody (9R5B4) [NBP3-15662]

Western Blot: p27/Kip1 Antibody (9R5B4) [NBP3-15662]

Western Blot: p27/Kip1 Antibody (9R5B4) [NBP3-15662] - Analysis of extracts of various cell lines, using p27/Kip1 antibody (NBP3-15662) at 1:1000 dilution. Secondary antibody: HRP Goat Anti-Rabbit IgG (H+L) at 1:10000 dilution. Lysates/proteins: 25ug per lane. Blocking buffer: 3% nonfat dry milk in TBST. Detection: ECL Enhanced Kit. Exposure time: 3min.
Immunohistochemistry-Paraffin: p27/Kip1 Antibody (9R5B4) [NBP3-15662]

Immunohistochemistry-Paraffin: p27/Kip1 Antibody (9R5B4) [NBP3-15662]

Immunohistochemistry-Paraffin: p27/Kip1 Antibody (9R5B4) [NBP3-15662] - Rat ovary using p27/Kip1 Rabbit mAb (NBP3-15662) at dilution of 1:100 (40x lens).Perform microwave antigen retrieval with 10 mM PBS buffer pH 7.2 before commencing with IHC staining protocol.
p27/Kip1 Antibody (9R5B4)

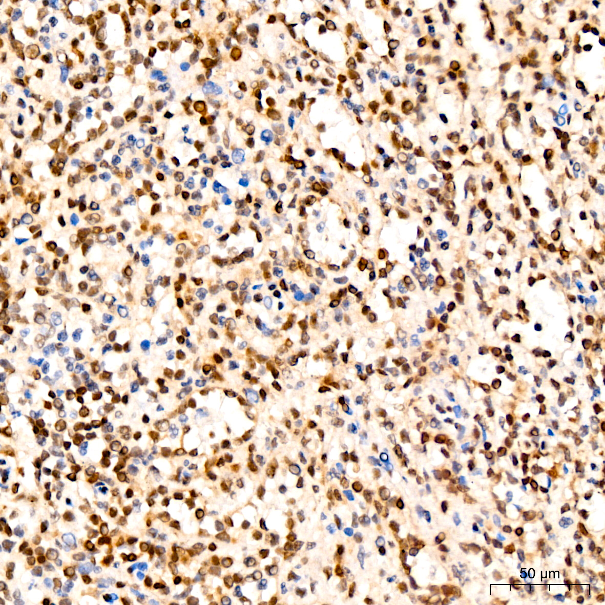
Immunohistochemistry: p27/Kip1 Antibody (9R5B4) [p27/Kip1] -

Immunohistochemistry: p27/Kip1 Antibody (9R5B4) [p27/Kip1] - Immunohistochemistry analysis of paraffin-embedded Human brain tissue using p27/Kip1 Rabbit mAb at a dilution of 1:200 (40x lens). High pressure antigen retrieval performed with 0.01M Citrate Buffer (pH 6.0) prior to IHC staining.

Applications for p27/Kip1 Antibody (9R5B4)

Application
Recommended Usage

Immunohistochemistry

1:50 - 1:200

Western Blot

1:500 - 1:1000

Formulation, Preparation, and Storage

Purification

Affinity purified

Formulation

PBS (pH 7.3), 50% glycerol, 0.05% BSA

Preservative

0.02% Sodium Azide

Concentration

Please see the vial label for concentration. If unlisted please contact technical services.

Shipping

The product is shipped with polar packs. Upon receipt, store it immediately at the temperature recommended below.

Stability & Storage

Store at -20C. Avoid freeze-thaw cycles.

Background: p27/Kip1

p27(Kip1) is a cyclin-dependent kinase inhibitor involved in G1 arrest. p27(Kip1) binds to and inhibits cyclinE-Cdk2 complex, cyclinA-CDK2 and cyclinD1-CDK4 (1). p27(Kip1) is regulated by phosphorylation on serine 10 (S10) and threonine 187 (T187). Phosphorylation by CDK2 on T187 results in ubiquitylation and degradation of p27(Kip1) (2); while phosphorylation by hKIS on S10 signals the nuclear export to the cytoplasm (3).

Long Name

p27 Cyclin Dependent Kinase 4 Inhibitor 1B

Alternate Names

CDKN1B, Kip1

Gene Symbol

CDKN1B

Additional p27/Kip1 Products

Product Documents for p27/Kip1 Antibody (9R5B4)

Certificate of Analysis

To download a Certificate of Analysis, please enter a lot number in the search box below.

Product Specific Notices for p27/Kip1 Antibody (9R5B4)

This product is for research use only and is not approved for use in humans or in clinical diagnosis. Primary Antibodies are guaranteed for 1 year from date of receipt.

Loading...
Loading...
Loading...
Loading...