Skip to main content

p21/CIP1/CDKN1A Antibody (CIP1/4377R) - Azide and BSA Free

Novus Biologicals, part of Bio-Techne | Catalog # NBP3-08961

Recombinant Monoclonal Antibody
Catalog #
Availability
Size / Price
Qty
Loading...
NBP3-08961
Conjugate
Catalog #

Key Product Details

Species Reactivity

Human

Applications

Immunohistochemistry-Paraffin, Western Blot, Protein Array

Label

Unconjugated

Antibody Source

Recombinant Monoclonal Rabbit IgG Clone # CIP1/4377R

Format

Azide and BSA Free

Concentration

1 mg/ml

Product Specifications

Immunogen

Synthetic peptide corresponding to p21/CIP1/CDKN1A residues within aa1-100 of p21/CIP1/CDKN1A was used as an immunogen. (Uniprot: P38936 )

Localization

Nuclear

Specificity

This monoclonal antibody recognizes a 21kDa protein, identified as the p21WAF1 tumor suppressor protein. This monoclonal antibody is highly specific to p21 and shows no cross-reaction with other closely related mitotic inhibitors. p21WAF1 is a specific inhibitor of cdk s and a tumor suppressor involved in the pathogenesis of a variety of malignancies. The expression of this gene acts as an inhibitor of the cell cycle during G1 phase and is tightly controlled by the tumor suppressor protein p53. Its expression is induced by the wild type, but not mutant, p53 suppressor protein. Normal cells generally display a rather intense nuclear p21 expression. Loss of p21 expression has been reported in many carcinomas (gastric carcinoma, non-small cell lung carcinoma, thyroid carcinoma).

Clonality

Monoclonal

Host

Rabbit

Isotype

IgG

Theoretical MW

21 kDa.
Disclaimer note: The observed molecular weight of the protein may vary from the listed predicted molecular weight due to post translational modifications, post translation cleavages, relative charges, and other experimental factors.

Description

1.0 mg/ml of antibody purified from Bioreactor Concentrate by Protein A/G. Prepared in 10mM PBS WITHOUT BSA & azide. Also available at 200 ug/ml WITH BSA & azide (NBP3-07215).

Antibody with azide - store at 2 to 8C. Antibody without azide - store at -20 to -80 C.

Scientific Data Images for p21/CIP1/CDKN1A Antibody (CIP1/4377R) - Azide and BSA Free

Western Blot: p21/CIP1/CDKN1A Antibody (CIP1/4377R)Azide and BSA Free [NBP3-08961]

Western Blot: p21/CIP1/CDKN1A Antibody (CIP1/4377R)Azide and BSA Free [NBP3-08961]

Western Blot: p21/CIP1/CDKN1A Antibody (CIP1/4377R) - Azide and BSA Free [NBP3-08961] - Western Blot Analysis of HeLa cell lysate using p21/CIP1/CDKN1A antibody (CIP1/4377R).
Immunohistochemistry-Paraffin: p21/CIP1/CDKN1A Antibody (CIP1/4377R) - Azide and BSA Free [NBP3-08961]

Immunohistochemistry-Paraffin: p21/CIP1/CDKN1A Antibody (CIP1/4377R) - Azide and BSA Free [NBP3-08961]

Immunohistochemistry-Paraffin: p21/CIP1/CDKN1A Antibody (CIP1/4377R) - Azide and BSA Free [NBP3-08961] - Formalin fixed paraffin embedded human lung carcinoma stained with p21/CIP1/CDKN1A Rabbit Recombinant Monoclonal Antibody (CIP1/4377R).
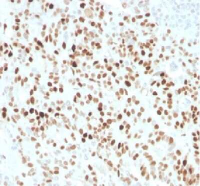
Immunohistochemistry-Paraffin: p21/CIP1/CDKN1A Antibody (CIP1/4377R) - Azide and BSA Free [NBP3-08961]

Immunohistochemistry-Paraffin: p21/CIP1/CDKN1A Antibody (CIP1/4377R) - Azide and BSA Free [NBP3-08961]

Immunohistochemistry-Paraffin: p21/CIP1/CDKN1A Antibody (CIP1/4377R) - Azide and BSA Free [NBP3-08961] - Formalin fixed paraffin embedded human colon carcinoma stained withp21/CIP1/CDKN1A Rabbit Recombinant Monoclonal Antibody (CIP1/4377R).

Applications for p21/CIP1/CDKN1A Antibody (CIP1/4377R) - Azide and BSA Free

Application
Recommended Usage

Immunohistochemistry-Paraffin

1-2 ug/ml
Application Notes
Immunohistochemistry Formalin-fixed: 1-2ug/ml for 30 minutes at RT. Staining of formalin-fixed tissues requires heating tissue sections in 10mM Tris with 1mM EDTA, pH 9.0, for 45 min at 95C followed by cooling at RT for 20 minutes. Optimal dilution for a specific application should be determined.

Formulation, Preparation, and Storage

Purification

Protein A or G purified

Formulation

10 mM PBS

Format

Azide and BSA Free

Preservative

No Preservative

Concentration

1 mg/ml

Shipping

The product is shipped with polar packs. Upon receipt, store it immediately at the temperature recommended below.

Stability & Storage

Store at -20 to -80C. Avoid freeze-thaw cycles.

Background: p21/CIP1/CDKN1A

Cell cycle progression is regulated by cyclins and their cognate Cdks. p21 (WAF1/CIP1) inhibits the activity of each member of the cyclin/Cdk family, and over expression of this protein inhibits the proliferation of mammalian cells. The expression of p21 is inducible by a wide range of stress stimuli. p21 is tightly regulated at the transcriptional level by p53, and probably serves as the effector of p53 cell cycle control.

Long Name

p21 Cyclin Dependent Kinase 4 Inhibitor 1A

Alternate Names

CDKN1A, CIP1

Gene Symbol

CDKN1A

Additional p21/CIP1/CDKN1A Products

Product Documents for p21/CIP1/CDKN1A Antibody (CIP1/4377R) - Azide and BSA Free

Certificate of Analysis

To download a Certificate of Analysis, please enter a lot number in the search box below.

Product Specific Notices for p21/CIP1/CDKN1A Antibody (CIP1/4377R) - Azide and BSA Free

This product is for research use only and is not approved for use in humans or in clinical diagnosis. Primary Antibodies are guaranteed for 1 year from date of receipt.

Loading...
Loading...
Loading...
Loading...