Skip to main content

OPA1 Antibody (1E8-1D9) - BSA Free

Novus Biologicals, part of Bio-Techne | Catalog # NBP1-71656

Novus Biologicals, part of Bio-Techne
Catalog #
Availability
Size / Price
Qty
Loading...
NBP1-71656
NBP1-71656SS
Conjugate
Catalog #

Key Product Details

Species Reactivity

Validated:

Human, Mouse, Rat, Bovine, Chinese Hamster

Cited:

Human, Mouse

Applications

Validated:

Immunohistochemistry, Immunohistochemistry-Paraffin, Western Blot, Immunocytochemistry/ Immunofluorescence, Simple Western

Cited:

Western Blot, Simple Western, IF/IHC

Label

Unconjugated

Antibody Source

Monoclonal Mouse IgG1 kappa Clone # 1E8-1D9

Format

BSA Free

Concentration

1.0 mg/ml

Product Specifications

Immunogen

Human OPA1 [Swiss-Prot# O60313].

Localization

Mitochondrion inner membrane; Single-pass membrane protein. Mitochondrion intermembrane space

Clonality

Monoclonal

Host

Mouse

Isotype

IgG1 kappa

Scientific Data Images for OPA1 Antibody (1E8-1D9) - BSA Free

Western Blot: OPA1 Antibody (1E8-1D9)BSA Free [NBP1-71656]

Western Blot: OPA1 Antibody (1E8-1D9)BSA Free [NBP1-71656]

Western Blot: OPA1 Antibody (1E8-1D9) [NBP1-71656] - Analysis of OPA1 expression in 1) HeLa 2) MEF 3) HepG2 4) A431 5) CHO 6)PC12 and 7) Ntera2 whole cell lysates using NBP1-71656.
Immunocytochemistry/ Immunofluorescence: OPA1 Antibody (1E8-1D9) - BSA Free [NBP1-71656]

Immunocytochemistry/ Immunofluorescence: OPA1 Antibody (1E8-1D9) - BSA Free [NBP1-71656]

Immunocytochemistry/Immunofluorescence: OPA1 Antibody (1E8-1D9) [NBP1-71656] - OPA1 antibody was tested in ARPE-19 cells with FITC (green). Nuclei and actin were counterstained with DAPI (blue) and Phalloidin (red).
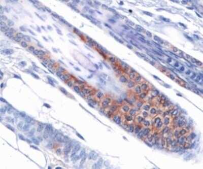
Immunohistochemistry: OPA1 Antibody (1E8-1D9) - BSA Free [NBP1-71656]

Immunohistochemistry: OPA1 Antibody (1E8-1D9) - BSA Free [NBP1-71656]

Immunohistochemistry: OPA1 Antibody (1E8-1D9) [NBP1-71656] - Analysis of OPA1 on mouse skin using NBP1-71656.

Applications for OPA1 Antibody (1E8-1D9) - BSA Free

Application
Recommended Usage

Immunocytochemistry/ Immunofluorescence

1:50

Immunohistochemistry

1:100

Immunohistochemistry-Paraffin

1:100

Simple Western

1:25

Western Blot

1:1000
Application Notes
In Western blot, multiple protein isoforms can be seen at ~90, 80 and 65 kDa.

In Simple Western only 10 - 15 uL of the recommended dilution is used per data point.
See Simple Western Antibody Database for Simple Western validation: Tested in HeLa lysate 1.0 mg/mL, separated by Size, antibody dilution of 1:25, apparent MW was 93 kDa. Separated by Size-Wes, Sally Sue/Peggy Sue.

Reviewed Applications

Read 2 reviews rated 5 using NBP1-71656 in the following applications:

Formulation, Preparation, and Storage

Purification

Protein G purified

Formulation

PBS

Format

BSA Free

Preservative

0.02% Sodium Azide

Concentration

1.0 mg/ml

Shipping

The product is shipped with polar packs. Upon receipt, store it immediately at the temperature recommended below.

Stability & Storage

Store at 4C short term. Aliquot and store at -20C long term. Avoid freeze-thaw cycles.

Background: OPA1

OPA1 (optic atrophy protein 1) is a dynamin-related GTPase which forms a diffusion barrier for proteins stored in mitochondrial cristae and is critical to mitochondrial fusion as well as regulation of apoptosis. Intrinsic apoptotic signals mediated proteolytic processing leads OPA1 oligomers disassembly and caspase activator cytochrome C (CYCS) release into mitochondrial intermembrane spaces. Under conditions of stress, dynamin-like 120 kD protein, form S1 (which is the inactive form produced via cleavage at S1 position by OMA1) triggers the loss of mitochondrial membrane potential that results in negative regulation of the process of mitochondrial fusion. OPA1 exists as oligomeric complex consisting of membrane-bound and soluble forms of OPA1, and the latter can interacts with CHCHD3, IMMT and PARL. PARL-dependent proteolytic processing releases an antiapoptotic soluble form which is not required for mitochondrial fusion. Defects in OPA1 are a cause of optic atrophy type 1 (OPA1) as well as dominant optic atrophy plus syndrome (DOA+)

Long Name

Optic Atrophy Protein 1

Alternate Names

BERHS, EC 3.6.5.5, LargeG, lilr3, MGM1, MTDPS14, NPG, NTG

Entrez Gene IDs

4976 (Human); 74143 (Mouse); 171116 (Rat)

Gene Symbol

OPA1

Additional OPA1 Products

Product Documents for OPA1 Antibody (1E8-1D9) - BSA Free

Certificate of Analysis

To download a Certificate of Analysis, please enter a lot number in the search box below.

Product Specific Notices for OPA1 Antibody (1E8-1D9) - BSA Free

This product is for research use only and is not approved for use in humans or in clinical diagnosis. Primary Antibodies are guaranteed for 1 year from date of receipt.

Loading...
Loading...
Loading...
Loading...