Skip to main content

OGFOD1 Antibody (OTI1D9)

Novus Biologicals, part of Bio-Techne | Catalog # NBP2-00528

Novus Biologicals, part of Bio-Techne
Catalog #
Availability
Size / Price
Qty
Loading...
NBP2-00528

Key Product Details

Species Reactivity

Human, Monkey

Applications

Flow Cytometry, Immunocytochemistry/ Immunofluorescence, Immunohistochemistry, Immunohistochemistry-Paraffin, Western Blot

Label

Unconjugated

Antibody Source

Monoclonal Mouse IgG1 Clone # OTI1D9

Concentration

0.41 mg/ml

Product Specifications

Immunogen

Full length human recombinant protein of human OGFOD1 (NP_060703) produced in HEK293T cell.

Clonality

Monoclonal

Host

Mouse

Isotype

IgG1

Theoretical MW

63.1 kDa.
Disclaimer note: The observed molecular weight of the protein may vary from the listed predicted molecular weight due to post translational modifications, post translation cleavages, relative charges, and other experimental factors.

Description

Novus Biologicals Mouse OGFOD1 Antibody (OTI1D9) (NBP2-00528) is a monoclonal antibody validated for use in IHC, WB, Flow and ICC/IF. All Novus Biologicals antibodies are covered by our 100% guarantee.

Scientific Data Images for OGFOD1 Antibody (OTI1D9)

Western Blot: OGFOD1 Antibody (OTI1D9) [NBP2-00528]

Western Blot: OGFOD1 Antibody (OTI1D9) [NBP2-00528]

Western Blot: OGFOD1 Antibody (1D9) [NBP2-00528] - HEK293T cells were transfected with the pCMV6-ENTRY control (Left lane) or pCMV6-ENTRY OGFOD1 (Right lane) cDNA for 48 hrs and lysed. Equivalent amounts of cell lysates (5 ug per lane) were separated by SDS-PAGE and immunoblotted with anti-OGFOD1.
Immunocytochemistry/ Immunofluorescence: OGFOD1 Antibody (OTI1D9) [NBP2-00528]

Immunocytochemistry/ Immunofluorescence: OGFOD1 Antibody (OTI1D9) [NBP2-00528]

Immunocytochemistry/Immunofluorescence: OGFOD1 Antibody (1D9) [NBP2-00528] - Staining of COS7 cells transiently transfected by pCMV6-ENTRY OGFOD1.
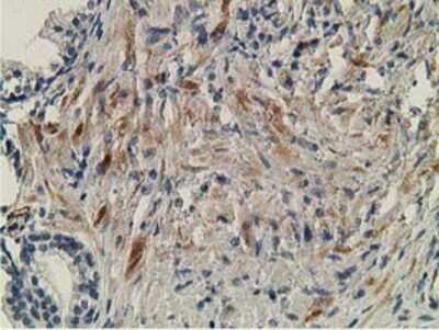
Immunohistochemistry-Paraffin: OGFOD1 Antibody (OTI1D9) [NBP2-00528]

Immunohistochemistry-Paraffin: OGFOD1 Antibody (OTI1D9) [NBP2-00528]

Immunohistochemistry-Paraffin: OGFOD1 Antibody (1D9) [NBP2-00528] - Staining of paraffin-embedded Human prostate tissue using anti-OGFOD1 mouse monoclonal antibody.

Applications for OGFOD1 Antibody (OTI1D9)

Application
Recommended Usage

Flow Cytometry

1:100

Immunocytochemistry/ Immunofluorescence

1:100

Immunohistochemistry

1:150

Immunohistochemistry-Paraffin

1:150

Western Blot

1:2000

Formulation, Preparation, and Storage

Purification

Immunogen affinity purified

Formulation

PBS (pH 7.3), 1.0% BSA and 50% Glycerol

Preservative

0.02% Sodium Azide

Concentration

0.41 mg/ml

Shipping

The product is shipped with polar packs. Upon receipt, store it immediately at the temperature recommended below.

Stability & Storage

Store at -20C. Avoid freeze-thaw cycles.

Background: OGFOD1

Alternate Names

2-oxoglutarate and iron-dependent oxygenase domain containing 1,2-oxoglutarate and iron-dependent oxygenase domain-containing protein 1, EC 1.14.11, FLJ10826, KIAA1612TPA1, termination and polyadenylation 1, homolog, Termination and polyadenylation 1 homolog, TPA1EC 1.14.11.-

Entrez Gene IDs

55239 (Human)

Gene Symbol

OGFOD1

Additional OGFOD1 Products

Product Documents for OGFOD1 Antibody (OTI1D9)

Certificate of Analysis

To download a Certificate of Analysis, please enter a lot number in the search box below.

Product Specific Notices for OGFOD1 Antibody (OTI1D9)

This product is for research use only and is not approved for use in humans or in clinical diagnosis. Primary Antibodies are guaranteed for 1 year from date of receipt.

Loading...
Loading...
Loading...
Loading...
Loading...