Skip to main content

OCT4 Antibody (OCT4/3508)

Novus Biologicals, part of Bio-Techne | Catalog # NBP3-13744

Novus Biologicals, part of Bio-Techne
Catalog #
Availability
Size / Price
Qty
Loading...
NBP3-13744-100ug
NBP3-13744-20ug
Conjugate
Catalog #

Key Product Details

Species Reactivity

Human

Applications

Immunohistochemistry-Paraffin

Label

Unconjugated

Antibody Source

Monoclonal Mouse IgG2b Kappa Clone # OCT4/3508

Concentration

0.2 mg/ml

Product Specifications

Immunogen

Recombinant fragment of human OCT4 protein (around aa 1-134) (exact sequence is proprietary) (Uniprot: Q01860)

Localization

Nucleus

Specificity

OCT4 is a member of the POU family of transcription factors, involved in the regulation of pluripotency during normal development and is detectable in embryonic stem and germ cells.OCT4 is a key regulator of self-renewal in embryonic stem cells; its expression is potentially correlated with tumorigenesis and can affect tumor recurrence or resistance to therapies. OCT4 is expressed in undifferentiated pluripotent cells, germ cells in ovary and testes. OCT4 Ab is useful in the identification of primary as well as metastatic germ cell tumors.

Marker

Germ Cell Tumor Marker

Clonality

Monoclonal

Host

Mouse

Isotype

IgG2b Kappa

Theoretical MW

38.6 kDa.
Disclaimer note: The observed molecular weight of the protein may vary from the listed predicted molecular weight due to post translational modifications, post translation cleavages, relative charges, and other experimental factors.

Description

200ug/ml of antibody purified from Bioreactor Concentrate by Protein A or G. Prepared in 10 mM PBS with 0.05% BSA & 0.05% azide. Also available WITHOUT BSA & azide at 1.0 mg/ml.(NBP3-14147)

Antibody with azide - store at 2 to 8C. Antibody without azide - store at -20 to -80 C.

Scientific Data Images for OCT4 Antibody (OCT4/3508)

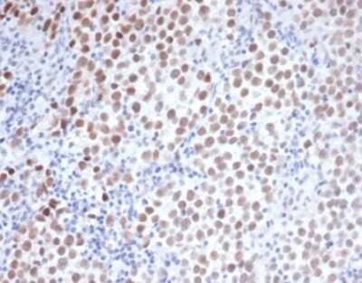
Immunohistochemistry-Paraffin: OCT4 Antibody (OCT4/3508) [NBP3-13744]

Immunohistochemistry-Paraffin: OCT4 Antibody (OCT4/3508) [NBP3-13744]

Immunohistochemistry-Paraffin: OCT4 Antibody (OCT4/3508) [NBP3-13744] - Formalin-fixed, paraffin-embedded human seminoma stained with OCT4 antibody (OCT4/3508) at 2ug/ml. HIER: Tris/EDTA, pH9.0, 45min. HRP-polymer, 30min. DAB, 5min.
Immunohistochemistry-Paraffin: OCT4 Antibody (OCT4/3508) [NBP3-13744]

Immunohistochemistry-Paraffin: OCT4 Antibody (OCT4/3508) [NBP3-13744]

Immunohistochemistry-Paraffin: OCT4 Antibody (OCT4/3508) [NBP3-13744] - Formalin-fixed, paraffin-embedded human seminoma stained with OCT4 antibody (OCT4/3508) at 2ug/ml. HIER: Tris/EDTA, pH9.0, 45min. HRP-polymer, 30min. DAB, 5min.

Applications for OCT4 Antibody (OCT4/3508)

Application
Recommended Usage

Immunohistochemistry-Paraffin

1-2 ug/ml
Application Notes
Immunohistochemistry (Formalin-fixed): 1-2ug/ml for 30 min at RT. Staining of formalin-fixed tissues requires boiling tissue sections in 10mM citrate buffer, pH 6.0, for 10-20 min followed by cooling at RT for 20 minutes

Formulation, Preparation, and Storage

Purification

Protein A or G purified

Formulation

10 mM PBS with 0.05% BSA

Preservative

0.05% Sodium Azide

Concentration

0.2 mg/ml

Shipping

The product is shipped with polar packs. Upon receipt, store it immediately at the temperature recommended below.

Stability & Storage

Store at 4C.

Background: OCT4

The transcription factor OCT4, expressed in ESCs and germ cells, is strongly implicated in the process of maintaining as well as regaining stem-cell pluripotency and functions as a key regulator of mammalian germline development.

Alternate Names

class 5, transcription factor 1, MGC22487, Oct-3, OCT3Oct4, Oct-4, Octamer-binding protein 3, otc-4, OTF3POU domain class 5, transcription factor 1, OTF4, POU class 5 homeobox 1, POU-type homeodomain-containing DNA-binding protein

Gene Symbol

POU5F1

UniProt

Additional OCT4 Products

Product Documents for OCT4 Antibody (OCT4/3508)

Certificate of Analysis

To download a Certificate of Analysis, please enter a lot number in the search box below.

Product Specific Notices for OCT4 Antibody (OCT4/3508)

This product is for research use only and is not approved for use in humans or in clinical diagnosis. Primary Antibodies are guaranteed for 1 year from date of receipt.

Loading...
Loading...
Loading...
Loading...