Skip to main content

Nucleoplasmin-2 Antibody (5E9) - Azide and BSA Free

Novus Biologicals, part of Bio-Techne | Catalog # H00010361-M03

Novus Biologicals, part of Bio-Techne
Catalog #
Availability
Size / Price
Qty
Loading...
H00010361-M03

Key Product Details

Species Reactivity

Human

Applications

Western Blot, ELISA, Immunocytochemistry/ Immunofluorescence

Label

Unconjugated

Antibody Source

Monoclonal Mouse IgG1 kappa Clone # 5E9

Format

Azide and BSA Free

Concentration

Concentrations vary lot to lot. See vial label for concentration. If unlisted please contact technical services.

Product Specifications

Immunogen

NPM2 (NP_877724.1, 1 a.a. ~ 214 a.a) full-length recombinant protein with GST tag. MW of the GST tag alone is 26 KDa. MNLSSASSTEEKAVTTVLWGCELSQERRTWTFRPQLEGKQSCRLLLHTICLGEKAKEEMHRVEILPPANQEDKKMQPVTIASLQASVLPMVSMVGVQLSPPVTFQLRAGSGPVFLSGQERYEASDLTWEEEEEEEGEEEEEEEEDDEDEDADISLEEQSPVKQVKRLVPQKQASVAKKKKLEKEEEEIRASVRDKSPVKKAKATARAKKPGFKK

Specificity

This product is specific for Human NPM2 monoclonal antibody (M03), clone 5E9 [Gene ID: 10361].

Clonality

Monoclonal

Host

Mouse

Isotype

IgG1 kappa

Scientific Data Images for Nucleoplasmin-2 Antibody (5E9) - Azide and BSA Free

Western Blot: Nucleoplasmin-2 Antibody (5E9) [H00010361-M03]

Western Blot: Nucleoplasmin-2 Antibody (5E9) [H00010361-M03]

Western Blot: Nucleoplasmin-2 Antibody (5E9) [H00010361-M03] - Analysis of NPM2 expression in transfected 293T cell line by NPM2 monoclonal antibody (M03), clone 5E9. Lane 1: NPM2 transfected lysate (Predicted MW: 24.2 KDa). Lane 2: Non-transfected lysate.
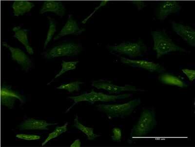
Immunocytochemistry/ Immunofluorescence: Nucleoplasmin-2 Antibody (5E9) [H00010361-M03]

Immunocytochemistry/ Immunofluorescence: Nucleoplasmin-2 Antibody (5E9) [H00010361-M03]

Immunocytochemistry/Immunofluorescence: Nucleoplasmin-2 Antibody (5E9) [H00010361-M03] - Analysis of monoclonal antibody to NPM2 on HeLa cell. Antibody concentration 10 ug/ml
ELISA: Nucleoplasmin-2 Antibody (5E9) [H00010361-M03]

ELISA: Nucleoplasmin-2 Antibody (5E9) [H00010361-M03]

ELISA: Nucleoplasmin-2 Antibody (5E9) [H00010361-M03] - Detection limit for recombinant GST tagged NPM2 is 3 ng/ml as a capture antibody.

Applications for Nucleoplasmin-2 Antibody (5E9) - Azide and BSA Free

Application
Recommended Usage

ELISA

Optimal dilutions of this antibody should be experimentally determined.

Immunocytochemistry/ Immunofluorescence

Optimal dilutions of this antibody should be experimentally determined.

Western Blot

Optimal dilutions of this antibody should be experimentally determined.
Application Notes
Mouse monoclonal antibody raised against a full-length recombinant NPM2.

Formulation, Preparation, and Storage

Purification

IgG purified

Formulation

In 1x PBS, pH 7.4

Format

Azide and BSA Free

Preservative

No Preservative

Concentration

Concentrations vary lot to lot. See vial label for concentration. If unlisted please contact technical services.

Shipping

The product is shipped with polar packs. Upon receipt, store it immediately at the temperature recommended below.

Stability & Storage

Aliquot and store at -20C or -80C. Avoid freeze-thaw cycles.

Background: Nucleoplasmin-2

Probably involved in sperm DNA decondensation during fertilization

Alternate Names

MGC78655, nucleophosmin/nucleoplasmin 2, nucleoplasmin-2

Gene Symbol

NPM2

Additional Nucleoplasmin-2 Products

Product Documents for Nucleoplasmin-2 Antibody (5E9) - Azide and BSA Free

Certificate of Analysis

To download a Certificate of Analysis, please enter a lot number in the search box below.

Product Specific Notices for Nucleoplasmin-2 Antibody (5E9) - Azide and BSA Free

This product is produced by and distributed for Abnova, a company based in Taiwan.

This product is for research use only and is not approved for use in humans or in clinical diagnosis. Primary Antibodies are guaranteed for 1 year from date of receipt.

Loading...
Loading...
Loading...
Loading...