Skip to main content

NT-3 Antibody (OTI5A2) - Azide and BSA Free

Novus Biologicals, part of Bio-Techne | Catalog # NBP2-72972

Novus Biologicals, part of Bio-Techne

Key Product Details

Species Reactivity

Human, Mouse, Rat

Applications

Immunohistochemistry, Immunohistochemistry-Paraffin, Western Blot, Immunocytochemistry/ Immunofluorescence

Label

Unconjugated

Antibody Source

Monoclonal Mouse IgG1 Clone # OTI5A2

Format

Azide and BSA Free

Concentration

LYOPH mg/ml

Product Specifications

Immunogen

Recombinant protein expressed in E.coli corresponding to amino acids 139-257 of human NT3

Reactivity Notes

Please note that this antibody is reactive to Mouse and derived from the same host, Mouse. Mouse-On-Mouse blocking reagent may be needed for IHC and ICC experiments to reduce high background signal. You can find these reagents under catalog numbers PK-2200-NB and MP-2400-NB. Please contact Technical Support if you have any questions.

Clonality

Monoclonal

Host

Mouse

Isotype

IgG1

Theoretical MW

27.4 kDa.
Disclaimer note: The observed molecular weight of the protein may vary from the listed predicted molecular weight due to post translational modifications, post translation cleavages, relative charges, and other experimental factors.

Description

Novus Biologicals Mouse NT-3 Antibody (OTI5A2) - Azide and BSA Free (NBP1-47892) is a monoclonal antibody validated for use in IHC, WB and ICC/IF. All Novus Biologicals antibodies are covered by our 100% guarantee.

Scientific Data Images for NT-3 Antibody (OTI5A2) - Azide and BSA Free

Western Blot: NT-3 Antibody (OTI5A2)Azide and BSA Free [NBP2-72972]

Western Blot: NT-3 Antibody (OTI5A2)Azide and BSA Free [NBP2-72972]

Western Blot: NT-3 Antibody (OTI5A2) - Azide and BSA Free [NBP2-72972] - Neurotrophin 3 antibody (5A2) at 1:5000 + Mature Recombinant Human Neurotrophin 3 (14KDa).
Immunocytochemistry/ Immunofluorescence: NT-3 Antibody (OTI5A2) - Azide and BSA Free [NBP2-72972]

Immunocytochemistry/ Immunofluorescence: NT-3 Antibody (OTI5A2) - Azide and BSA Free [NBP2-72972]

Immunocytochemistry/Immunofluorescence: NT-3 Antibody (OTI5A2) - Azide and BSA Free [NBP2-72972] - Staining of HeLa cells transiently transfected by pCMV6-ENTRY NTF3.
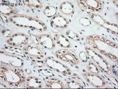
Immunohistochemistry: NT-3 Antibody (OTI5A2) - Azide and BSA Free [NBP2-72972]

Immunohistochemistry: NT-3 Antibody (OTI5A2) - Azide and BSA Free [NBP2-72972]

Immunohistochemistry: NT-3 Antibody (OTI5A2) - Azide and BSA Free [NBP2-72972] - Staining of paraffin-embedded kidney using anti-NTF3 mouse monoclonal antibody.

Applications for NT-3 Antibody (OTI5A2) - Azide and BSA Free

Application
Recommended Usage

Immunocytochemistry/ Immunofluorescence

1:100

Immunohistochemistry

1:50

Western Blot

1:5000

Formulation, Preparation, and Storage

Purification

Immunogen affinity purified

Reconstitution

we recommend adding 100uL distilled water to a final antibody concentration of about 1 mg/mL. To use this carrier-free antibody for conjugation experiment, we strongly recommend performing another round of desalting process.

Formulation

Lyophilized from PBS (pH 7.3) with 8% Trehalose

Format

Azide and BSA Free

Preservative

No Preservative

Concentration

LYOPH mg/ml

Shipping

The product is shipped with polar packs. Upon receipt, store it immediately at the temperature recommended below.

Stability & Storage

Store at -20C. Avoid freeze-thaw cycles.

Background: NT-3

NT3 is a member of the neurotrophin family, that controls survival and differentiation of visceral and proprioceptive sensory neurons. NT3 is closely related to both NGF and BDNF. It may be involved in the maintenance of the adult nervous system, and may affect development of neurons in the embryo when it is expressed in human placenta. NT3-deficient mice generated by gene targeting display severe movement defects of the limbs. The mature peptide of this protein is identical in all mammals examined including human, pig, rat and mouse. Subcellular Location: Secreted protein. TISSUE SPECIFICITY: Brain and peripheral tissues. Similarity: Belongs to the NGF-beta family.

Long Name

Neurotrophin 3

Alternate Names

HDNF, NGF2, NT3, NTF3

Gene Symbol

NTF3

Additional NT-3 Products

Product Documents for NT-3 Antibody (OTI5A2) - Azide and BSA Free

Certificate of Analysis

To download a Certificate of Analysis, please enter a lot number in the search box below.

Product Specific Notices for NT-3 Antibody (OTI5A2) - Azide and BSA Free

This product is for research use only and is not approved for use in humans or in clinical diagnosis. Primary Antibodies are guaranteed for 1 year from date of receipt.

Loading...
Loading...
Loading...
Loading...
Loading...