Immunocytochemistry/ Immunofluorescence: Nox4 Antibody - BSA Free [NB110-58849]
Immunocytochemistry/Immunofluorescence: Nox4 Antibody - BSA Free [NB110-58849] - Detection of NOX4 in mouse brain showing positive staining in neurons in the cortex. Image provided by Rachel Reith.
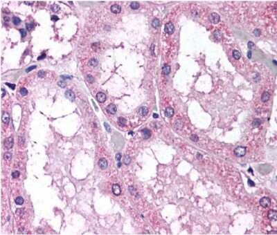
Immunohistochemistry: Nox4 Antibody - BSA Free [NB110-58849]
Immunohistochemistry: Nox4 Antibody - BSA Free [NB110-58849] - Detection of NOX4 in proximal convoluted tubules of the kidney using NB110-58849 at 5 ug/mL.
Immunohistochemistry: Nox4 Antibody - BSA Free [NB110-58849]
Nox4-Antibody---BSA-Free-Immunohistochemistry-NB110-58849-img0022.jpg
Western Blot: Nox4 Antibody - BSA Free [NB110-58849]
Nox4 Antibody - BSA Free-Knockdown Validated-NB110-58849-img0023.jpg
Western Blot: Nox4 Antibody - BSA Free [NB110-58849]
Western Blot: Nox4 Antibody - BSA Free [NB110-58849] - Nox4 Antibody [NB110-58849] - Silencing of NOX4 in H4-II-C3 rat hepatoma cell line. Image from verified customer review.
Immunohistochemistry: Nox4 Antibody - BSA Free [NB110-58849] -
Presence of NOX4 in human ovarian tissue. Immunohistochemistry using human ovarian sections and an anti-NOX4 antibody from ProSci showed positive staining for NOX4 in granulosa (GC) and theca cells (TC) of a secondary follicle (A), of a small antral follicle (B), of a large antral follicle (C) as well as in luteinized GCs (LGC) and luteinized TCs (LTC) of the corpus luteum (E). Serum controls lacked first antibody (D and F). Scale bars: A–E = 30 µm, F = 50 µm.
Immunohistochemistry: Nox4 Antibody - BSA Free [NB110-58849] -
AT1-KO mice are resistant to alcohol-induced oxidative stress. Oxidative stress was examined by immunohistochemical staining of 3-NT (A) and 4-HNE (B). NOX2 (C) and NOX4 (D) expression was examined by immunohistochemical staining. Data are presented as means ± SD (the animal number for each group is indicated in Figure 1). *, P < 0.05 vs corresponding control; #, P < 0.05 vs WT alcohol group. Bar = 50 μM.
Western Blot: Nox4 Antibody - BSA Free [NB110-58849] -
Western Blot: Nox4 Antibody - BSA Free [NB110-58849] - Effect of metformin on bleomycin-induced lung fibrosis development in mice. f WB using anti-NOX4, & anti-beta -actin of cell lysates from normal LF (lane 1, 2, 3) & IPF LF (lane 4, 5, 6). Lower panel is average (±SEM) taken from 3patients shown as relative expression. Open bar is normal LF & filled bar is IPF LF. *p < 0.05 Image collected & cropped by CiteAb from following publication (http://respiratory-research.biomedcentral.com/articles/10.1186/s12931-016-0420-x), licensed under a CC-BY license. Not internally tested by Novus Biologicals.
Western Blot: Nox4 Antibody - BSA Free [NB110-58849] -
Western Blot: Nox4 Antibody - BSA Free [NB110-58849] - Fasting protects against oxidative stress resulting after two weeks of unilateral ischemia-reperfusion (IR) injury. (A) Representative kidney sections (10×) immunostained for 8-hydroxy-2′-deoxyguanosine (8-OHdG) in sham, IR, & IR + Fasting experimental groups at day 14 post-IR or sham surgery. (B) Immunoblots (left) & quantification (right) of catalase (CAT), glutamate-cysteine ligase modifier subunit (GCLM), & nicotinamide adenine dinucleotide phosphate oxidase 4 (NOX4) in the kidney cortex of rats from sham, IR, & IR + Fasting experimental groups. GAPDH, glyceraldehyde-3-phosphate dehydrogenase. Data are expressed as mean ± SEM. n = 3 animals per group. * p < 0.05. Image collected & cropped by CiteAb from the following publication (https://pubmed.ncbi.nlm.nih.gov/31443530), licensed under a CC-BY license. Not internally tested by Novus Biologicals.
Western Blot: Nox4 Antibody - BSA Free [NB110-58849] -
Western Blot: Nox4 Antibody - BSA Free [NB110-58849] - SPA0355 decreased renal oxidative stress & regulated levels of pro-oxidant & antioxidant enzymes in LPS-treated mice. (A) Representative images of IHC of 4-hydroxynonenal (4-HNE) in kidneys. Bar = 20 μm. (B) Percentage of 4-HNE-positive area per field. (C) Renal levels of malondialdehyde (MDA). (D) Representative images of Western blotting of nicotinamide adenine dinucleotide phosphate oxidase 4 (NOX4) & GAPDH. (E) The mRNA levels of manganese superoxide dismutase (MnSOD) & catalase. Results are from 8 mice per group (biological replicates) & 2 or 3 technical replicates per mouse. *** p < 0.001 vs. vehicle-treated mice (Veh). ###p <0.001 vs. LPS-injected mice (LPS). Image collected & cropped by CiteAb from the following publication (https://pubmed.ncbi.nlm.nih.gov/32635491), licensed under a CC-BY license. Not internally tested by Novus Biologicals.
Immunohistochemistry: Nox4 Antibody - BSA Free [NB110-58849] -
Immunohistochemistry: Nox4 Antibody - BSA Free [NB110-58849] - Presence of NOX4 in human ovarian tissue. Immunohistochemistry using human ovarian sections & an anti-NOX4 antibody from ProSci showed positive staining for NOX4 in granulosa (GC) & theca cells (TC) of a secondary follicle (A), of a small antral follicle (B), of a large antral follicle (C) as well as in luteinized GCs (LGC) & luteinized TCs (LTC) of the corpus luteum (E). Serum controls lacked first antibody (D & F). Scale bars: A–E = 30 µm, F = 50 µm. Image collected & cropped by CiteAb from the following publication (https://pubmed.ncbi.nlm.nih.gov/30837663), licensed under a CC-BY license. Not internally tested by Novus Biologicals.
Western Blot: Nox4 Antibody - BSA Free [NB110-58849] -
Western Blot: Nox4 Antibody - BSA Free [NB110-58849] - Role of NADPH oxidases in IH-induced HIF-2 alpha degradation. A. Effect of NADPH oxidase (Nox) inhibitors Apocynin (Apo, 1 mM) & AEBSF (15 µM) on HIF-2 alpha protein following exposure to IH. B. HIF-2 alpha expression in PC12 cells transfected with Nox2 & Nox4 siRNA & exposed to normoxia (N) or IH. Tubulin expression was monitored as control for protein loading. Bottom panels of A & B represent average data of densitometric analysis of the immunoblots presented as mean ± S.E.M from three independent experiments. *p<0.05; n.s. not significant, p>0.05. Image collected & cropped by CiteAb from the following publication (https://pubmed.ncbi.nlm.nih.gov/24124516), licensed under a CC-BY license. Not internally tested by Novus Biologicals.
Western Blot: Nox4 Antibody - BSA Free [NB110-58849] -
Western Blot: Nox4 Antibody - BSA Free [NB110-58849] - The representative images of immunohistochemical staining (A–D; sections were counterstained with hematoxylin; original magnification, × 20), & western blot assays (E,F) showed that FLL treatment decreased Nox4 expression in tibias & uteri of OVX rats (n = 9). In addition, FLL treatment also decreased cytochrome C (Cyto-C; G) & increased Bcl-2 expression (H) in the tibias of OVX rats (n = 9). Data are presented as mean ± SD. IOD denotes integrated optical density of interested areas. #p < 0.05 with Sham group, *p < 0.05 compared with OVX group. Image collected & cropped by CiteAb from the following publication (https://pubmed.ncbi.nlm.nih.gov/28588482), licensed under a CC-BY license. Not internally tested by Novus Biologicals.
Western Blot: Nox4 Antibody - BSA Free [NB110-58849] -
Western Blot: Nox4 Antibody - BSA Free [NB110-58849] - Blockade of LTCC suppressed CaMKII-NF-kB pathway in DOX-treated hearts. (a) Representative immunoblots & quantitative analysis of CaMKII, phosphorylated CaMKII, & GAPDH in DOX (3 doses of DOX at 6 mg/kg body weight every third day for 1 week) or control vehicle (phosphate-buffered saline: PBS) treated-C57B/6 J mouse hearts subjected to either nifedipine (Nif, 10 mg/day/day) or saline for 9 days (n = 5). (b) Representative immunoblots & quantitative analysis of NF-kappa B, phosphorylated NF-kappa B, cleaved caspase 3, & GAPDH in each group (n = 5). The experiment was conducted 3 times. (c–g) Representative immunoblotsa & quantitative analysis of ERK, phosphorylated ERK, JNK, phosphorylated JNK, Nox4, p53, & GAPDH in each group (n = 5). Image collected & cropped by CiteAb from the following publication (https://pubmed.ncbi.nlm.nih.gov/31285514), licensed under a CC-BY license. Not internally tested by Novus Biologicals.
Western Blot: Nox4 Antibody - BSA Free [NB110-58849] -
Western Blot: Nox4 Antibody - BSA Free [NB110-58849] - Diabetic atrophied muscles exhibited a state of heightened oxidative stress (HSOS). (a & b) Superoxide generation was measured in frozen muscle sections of control & diabetic using dihydroethidium-based confocal microscopic staining technique. (c & d) NADPH oxidase in a membrane fraction was assessed according to procedure involving the substrate NADPH & lucigenin chemiluminescence or the Amplex Red/horseradish peroxidase fluorescence-based assays. (e & f) Muscle NADPH oxidase-related isoforms including NOX2 & NOX4 were determined at the mRNA (e) & protein levels (f) using RT-PCR & Western blotting-based techniques. (g) Mitochondrial H2O2 generation at the steady state level & in the presence of added glutamate/malate substrates was measured using the Amplex Red/horseradish peroxidase fluorescence-based assay (g). Activities of complexes I (h) & III (i) of the electron transport chain were measured using spectrophotometric-based assay. Abbreviation: C: control; D: diabetic. Values are means ± SEM for at least 6 animals/group. ∗Significantly different from corresponding control values at P ≤ 0.05. Image collected & cropped by CiteAb from the following publication (https://pubmed.ncbi.nlm.nih.gov/30510624), licensed under a CC-BY license. Not internally tested by Novus Biologicals.
Western Blot: Nox4 Antibody - BSA Free [NB110-58849] -
Western Blot: Nox4 Antibody - BSA Free [NB110-58849] - Characterization of NOX4 & PKM2 in human RCC tumors & adjacent tissue. a Mitochondrial fractions were prepared from human tumors (T) or uninvolved adjacent tissue (N). NOX4 expression was examined by western blot analysis. Prohibitin was probed as a mitochondrial marker & loading control. b Quantitation of NOX4 distribution in the mitochondrial fraction from a. The results are expressed as the means using one-way ANOVA with Tukey’s post hoc test where ± S.E.M. *p < 0.05 compared to normal (N). c Mitochondria fractions were prepared from RCC tumors & NADPH-dependent superoxide generation was examined in the presence (+) or absence (−) of ATP. The results are from eight tumors & are expressed as the means using one-way ANOVA with Tukey’s post hoc test where ±S.E.M. **p < 0.01 is compared to without (−) ATP. d PKM2 & PKM1 expression was examined by western blot analysis in lysates prepared from human tumors (T) or uninvolved adjacent tissue (N) from the same patient. Actin as loading control Image collected & cropped by CiteAb from the following publication (https://pubmed.ncbi.nlm.nih.gov/29051480), licensed under a CC-BY license. Not internally tested by Novus Biologicals.
Western Blot: Nox4 Antibody - BSA Free [NB110-58849] -
Western Blot: Nox4 Antibody - BSA Free [NB110-58849] - Fbs stimulated by BMM differentiate into myofibroblasts via the Cyr61/Nox4 pathway. (A) Western blotting for Fb differentiation, involving analysis of specific factors such as FSP-1, NOX2, NOX4, collagen-1, & Cyr61. The expression of these factors was normalized to that of GAPDH; (B) Cells were treated with BMM for 3 or 6 h or DPI (5 μM; NOX inhibitor) for 1 h or were co-treated with DPI & BMM. ROS production was measured using the DCF-DA assay & calculated as a percentage of the mean fluorescence intensity compared with that of the control. * p < 0.05 as compared to the control; # p < 0.05 as compared to the BMM (6 h)-treated group; (C) Cells were treated with BMM for 3 h or DPI (5 μM, NOX inhibitor) for 1 h or were co-treated with DPI & BMM. Cyr61 expression was normalized to that of GAPDH after western blotting. The values indicate intensities of protein expression with respect to that of the loading control; (D) Secretion of MMPs from BMM-treated-Fbs by using conditioned medium, followed by western blotting analysis. The expression levels were normalized to PonceauS, used as a loading control. *** p < 0.001 as compared to the control. Image collected & cropped by CiteAb from the following publication (http://www.mdpi.com/1422-0067/19/4/1164), licensed under a CC-BY license. Not internally tested by Novus Biologicals.
Western Blot: Nox4 Antibody - BSA Free [NB110-58849] -
Western Blot: Nox4 Antibody - BSA Free [NB110-58849] - DSC restores redox balance in colonic tissues. A, Colitis was induced as described in Materials & Methods & treated with or without DSC (50 mg/kg). Representative bands & densitometry analysis of Nrf2 nuclear translocation & HO‐1 expression in colonic tissues. Histone H3 & beta‐actin were used as loading control, respectively. B, Colitis was induced as described in Materials & Methods & treated with lentiviral Nox4 shRNA or lentiviral scrambled shRNA. Representative bands & densitometry analysis of Nrf2 nuclear translocation & HO‐1 expression in colonic tissues. Histone H3 & beta‐actin were used as loading control, respectively. BMDM was stimulated with or without DSC (50 μmol/L) as described in Materials & Methods. C, Representative bands & densitometry analysis of Nox4. beta‐actin was used as loading control. D, Representative bands & densitometry analysis of Nrf2 nuclear translocation & cytoplasmic HO‐1 expression in BMDM. beta‐actin or histone H3 was used as loading control. Data shown are means ± SEM of n = 8 in each group. *P < 0.05 vs Control cell or mice (CTL), #P < 0.05 vs DSS‐treated mice or LPS‐stimulated cells Image collected & cropped by CiteAb from the following publication (https://pubmed.ncbi.nlm.nih.gov/32945118), licensed under a CC-BY license. Not internally tested by Novus Biologicals.
Western Blot: Nox4 Antibody - BSA Free [NB110-58849] -
Western Blot: Nox4 Antibody - BSA Free [NB110-58849] - DSC ameliorates Nox4 expression & ROS production. A, Colitis was induced as described in Materials & Methods, & the colonic tissues were collected as indicated periods. Representative bands & quantitative analysis of Nox4 in colonic tissues were shown. B‐F, Colitis was induced as described in Materials & Methods & treated with or without DSC (50 mg/kg). B, Representative bands & quantitative analysis of Nox4 in colonic tissues. C, Representative images & quantitative analysis of ROS production by DHE staining in colonic tissues, scale bar = 100 μm. D, Quantitative analysis of GSH/GSSG ratio. E, Quantitative analysis of tissue H2O2 production. Colitis was induced as described in Materials & Methods & treated with or lentiviral Nox4 shRNA. F, Representative bands & quantitative analysis of Nox4 in colonic tissues. G, Representative images & quantitative analysis of colon length. H, Representative images of H&E staining & histological score. I, Representative bands & quantitative analysis of ZO‐2 & claudin‐1 expression in colonic tissues. beta‐actin was used as loading control. Data shown are means ± SEM of n = 8 in each group. *P < 0.05 vs Control (CTL), #P < 0.05 vs DSS‐treated mice Image collected & cropped by CiteAb from the following publication (https://pubmed.ncbi.nlm.nih.gov/32945118), licensed under a CC-BY license. Not internally tested by Novus Biologicals.