Skip to main content

NGFR/TNFRSF16/p75NTR Antibody (NTR/912) - Azide and BSA Free

Novus Biologicals, part of Bio-Techne | Catalog # NBP2-47966

Novus Biologicals, part of Bio-Techne
Catalog #
Availability
Size / Price
Qty
Loading...
NBP2-47966-0.1mg

Key Product Details

Species Reactivity

Human, Mouse (Negative), Primate, Rat (Negative)

Applications

Immunohistochemistry, Immunohistochemistry-Paraffin, Flow Cytometry, Immunofluorescence, Immunocytochemistry/ Immunofluorescence, CyTOF-ready

Label

Unconjugated

Antibody Source

Monoclonal Mouse IgG1 kappa Clone # NTR/912

Format

Azide and BSA Free

Concentration

1.0 mg/ml

Product Specifications

Immunogen

Recombinant human NGFR/TNFRSF16/p75NTR protein (Uniprot: P08138)

Reactivity Notes

Non-Human primates. Does not react with Mouse or Rat.

Localization

Cell surface and cytoplasmic

Specificity

It recognizes a glycoprotein of 75kDa, identified as low affinity Nerve Growth Factor (NGF) Receptor (p75NGFR) or Neurotrophin Receptor (p75NTR). NGFR is expressed in various neural crest cells and their tumors such as melanocytes, melanomas, neuroblastomas, pheochromocytomas and neurofibromas. Reportedly, anti-NGFR is a reliable marker for desmoplastic and neurotropic melanomas. NGFR is expressed in mature non-neural cells such as perivascular cells, dental pulp cells, lymphoidal follicular dendritic cells, basal epithelium of oral mucosa and hair follicles, prostate basal cells, and myoepithelial cells. Anti-NGFR stains the myoepithelial cells of breast ducts and intra-lobular fibroblasts of breast ducts.

Marker

Soft Tissue Tumor Marker

Clonality

Monoclonal

Host

Mouse

Isotype

IgG1 kappa

Theoretical MW

75 kDa.
Disclaimer note: The observed molecular weight of the protein may vary from the listed predicted molecular weight due to post translational modifications, post translation cleavages, relative charges, and other experimental factors.

Description

1.0 mg/ml of antibody purified from Bioreactor Concentrate by Protein A/G. Prepared in 10mM PBS WITHOUT BSA & azide. Also available at 200 ug/ml WITH BSA & azide (NBP2-44876).

Antibody with azide - store at 2 to 8C. Antibody without azide - store at -20 to -80C.

Scientific Data Images for NGFR/TNFRSF16/p75NTR Antibody (NTR/912) - Azide and BSA Free

Immunohistochemistry-Paraffin: NGFR/TNFRSF16/p75NTR Antibody (NTR/912) - Azide and BSA Free [NBP2-47966]

Immunohistochemistry-Paraffin: NGFR/TNFRSF16/p75NTR Antibody (NTR/912) - Azide and BSA Free [NBP2-47966]

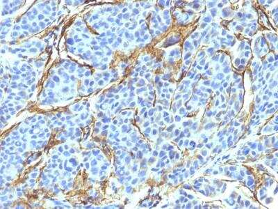
Immunohistochemistry-Paraffin: NGFR/TNFRSF16/p75NTR Antibody (NTR/912) - Azide and BSA Free [NBP2-47966] - Human Melanoma stained with NGFR Monoclonal Antibody (NTR/912).
Immunohistochemistry-Paraffin: NGFR/TNFRSF16/p75NTR Antibody (NTR/912) - Azide and BSA Free [NBP2-47966]

Immunohistochemistry-Paraffin: NGFR/TNFRSF16/p75NTR Antibody (NTR/912) - Azide and BSA Free [NBP2-47966]

Immunohistochemistry-Paraffin: NGFR/TNFRSF16/p75NTR Antibody (NTR/912) - Azide and BSA Free [NBP2-47966] - Human Melanoma stained with NGFR Monoclonal Antibody (NTR/912).

Applications for NGFR/TNFRSF16/p75NTR Antibody (NTR/912) - Azide and BSA Free

Application
Recommended Usage

Flow Cytometry

0.5 - 1 ug/million cells in 0.1 ml

Immunocytochemistry/ Immunofluorescence

1-2 ug/ml

Immunofluorescence

1 - 2 ug/ml

Immunohistochemistry-Paraffin

0.5 - 1.0 ug/ml
Application Notes
Immunohistochemistry (Formalin-fixed): 1-2ug/ml for 30 minutes at RT. Staining of formalin-fixed tissues requires heating tissue sections in 10mM Tris with 1mM EDTA, pH 9.0, for 45 min at 95C followed by cooling at RT for 20 minutes.
Optimal dilution for a specific application should be determined.

Formulation, Preparation, and Storage

Purification

Protein A or G purified

Formulation

10 mM PBS

Format

Azide and BSA Free

Preservative

No Preservative

Concentration

1.0 mg/ml

Shipping

The product is shipped with polar packs. Upon receipt, store it immediately at the temperature recommended below.

Stability & Storage

Store at -20 to -80C. Avoid freeze-thaw cycles.

Background: NGFR/TNFRSF16

p75NTR was originally discovered as a low affinity nerve growth factor receptor. Later it was found that it was the receptor for all neurotrophins. It mediates signals of neurotrophins for neuronal survival, apoptosis, neurite outgrowth and synaptic plasticity. Recently, it has been revealed that p75NTR is not only acts as the receptor for neurotrophins but also the receptor for many other pathological ligands such as prions, rabies virus and amyloid beta. p75NTR also acts as a co-receptor for NOGO which mediates inhibitory signals of myelin associated protein. p75NTR is highly expressed in a number of non-neuronal and neuronal cells including motor neurons during development and also in damaged neurons. FUNCTION: Low affinity receptor which can bind to NGF, BDNF, NT-3, and NT-4. Can mediate cell survival as well as cell death of neural cells. SUBUNIT: Homodimer; disulfide-linked. Interacts with p75NTR-associated cell death executor. Interacts with NGFRAP1/BEX3. Interacts with TRAF2, TRAF4, TRAF6, PTPN13 and RANBP9. Interacts through TRAF6 with SQSTM1 which bridges NGFR to NTRK1. Interacts with BEX1. SUBCELLULAR LOCATION: Membrane; single-pass type I membrane protein. DOMAIN: Death domain is responsible for interaction with RANBP9. PTM: N- and O-glycosylated. PTM: Phosphorylated on serine residues. SIMILARITY: Contains 1 death domain. SIMILARITY: Contains 4 TNFR-Cys repeats.

Long Name

Nerve Growth Factor Receptor

Alternate Names

CD271, NGF R, p75 NTR, TNFRSF16

Gene Symbol

NGFR

Additional NGFR/TNFRSF16 Products

Product Documents for NGFR/TNFRSF16/p75NTR Antibody (NTR/912) - Azide and BSA Free

Certificate of Analysis

To download a Certificate of Analysis, please enter a lot number in the search box below.

Product Specific Notices for NGFR/TNFRSF16/p75NTR Antibody (NTR/912) - Azide and BSA Free

This product is for research use only and is not approved for use in humans or in clinical diagnosis. Primary Antibodies are guaranteed for 1 year from date of receipt.

Loading...
Loading...
Loading...
Loading...
Loading...