Skip to main content

Nestin Antibody - BSA Free

Novus Biologicals, part of Bio-Techne | Catalog # NBP2-48504

Novus Biologicals, part of Bio-Techne
Catalog #
Availability
Size / Price
Qty
Loading...
NBP2-48504-25ul
NBP2-48504

Key Product Details

Validated by

Knockout/Knockdown, Orthogonal Validation, Independent Antibodies

Species Reactivity

Human

Applications

Immunohistochemistry, Immunohistochemistry-Paraffin, Western Blot, Knockdown Validated

Label

Unconjugated

Antibody Source

Polyclonal Rabbit IgG

Format

BSA Free

Concentration

Concentrations vary lot to lot. See vial label for concentration. If unlisted please contact technical services.

Product Specifications

Immunogen

This antibody was developed against a recombinant protein corresponding to amino acids: DPEGQSQQVGAPGLQAPQGLPEAIEPLVEDDVAPGGDQASPEVMLGSEPAMGESAAGAEPGPGQGVGGLGDPGHLTREEVMEPPLEEESLEAKRVQGLEGPRKDLEEAGGLGTEFSELP

Clonality

Polyclonal

Host

Rabbit

Isotype

IgG

Description

Novus Biologicals Rabbit Nestin Antibody - BSA Free (NBP2-48504) is a polyclonal antibody validated for use in IHC and WB. All Novus Biologicals antibodies are covered by our 100% guarantee.

Scientific Data Images for Nestin Antibody - BSA Free

Western Blot: Nestin Antibody [NBP2-48504]

Western Blot: Nestin Antibody [NBP2-48504]

Western Blot: Nestin Antibody [NBP2-48504] - Analysis in U-251MG cells transfected with control siRNA, target specific siRNA probe #1 and #2, using Anti-NES antibody. Remaining relative intensity is presented. Loading control: Anti-GAPDH.
Immunohistochemistry-Paraffin: Nestin Antibody [NBP2-48504]

Immunohistochemistry-Paraffin: Nestin Antibody [NBP2-48504]

Immunohistochemistry-Paraffin: Nestin Antibody [NBP2-48504] - Staining of human liver using Anti-NES antibody NBP2-48504.
Immunohistochemistry-Paraffin: Nestin Antibody [NBP2-48504]

Immunohistochemistry-Paraffin: Nestin Antibody [NBP2-48504]

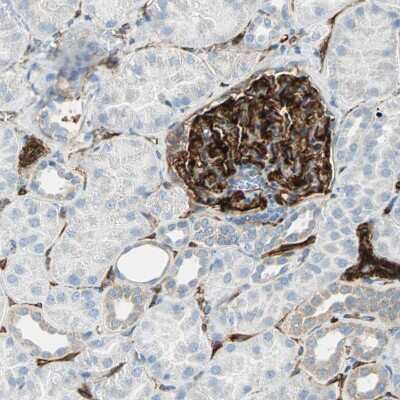
Immunohistochemistry-Paraffin: Nestin Antibody [NBP2-48504] - Staining of human kidney shows distinct positivity in cells in glomeruli.

Applications for Nestin Antibody - BSA Free

Application
Recommended Usage

Immunohistochemistry

1:500 - 1:1000

Immunohistochemistry-Paraffin

1:500 - 1:1000

Western Blot

0.04 - 0.4 ug/ml
Application Notes
For IHC-Paraffin, HIER pH 6 retrieval is recommended. Immunocytochemistry/Immunofluorescence Fixation Permeabilization: Use PFA/Triton X-100.

Formulation, Preparation, and Storage

Purification

Immunogen affinity purified

Formulation

PBS (pH 7.2) and 40% Glycerol

Format

BSA Free

Preservative

0.02% Sodium Azide

Concentration

Concentrations vary lot to lot. See vial label for concentration. If unlisted please contact technical services.

Shipping

The product is shipped with polar packs. Upon receipt, store it immediately at the temperature recommended below.

Stability & Storage

Store at 4C short term. Aliquot and store at -20C long term. Avoid freeze-thaw cycles.

Background: Nestin

Nestin is a Class VI intermediate filament expressed in the developing central nervous system in early embryonic neuroepithelial stem cells. This protein has been widely used as a predominant marker for stem / progenitor cells, glioma cells, and tumor endothelial cells. Furthermore, it is a superior angiogenic marker to evaluate neovascularity of endothelial cells in tumor. Because if it's roles in angiogenisis and tumorgenesis, Nestin antibodies are useful cancer markers.

Although it is often used as a marker for proliferating and migrating cells very little is known about Nestin's function or regulation.

Alternate Names

NES

Gene Symbol

NES

Additional Nestin Products

Product Documents for Nestin Antibody - BSA Free

Certificate of Analysis

To download a Certificate of Analysis, please enter a lot number in the search box below.

Product Specific Notices for Nestin Antibody - BSA Free

This product is for research use only and is not approved for use in humans or in clinical diagnosis. Primary Antibodies are guaranteed for 1 year from date of receipt.

Loading...
Loading...
Loading...
Loading...